We use cookies to enhance the usability of our website. If you continue, we'll assume that you are happy to receive all cookies. More information. Don't show this again.
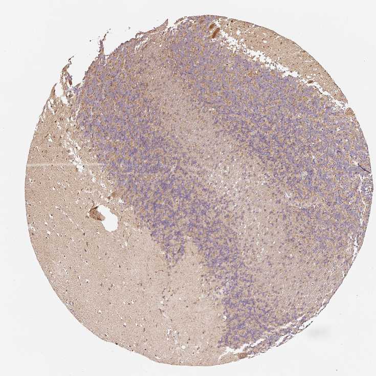
On the top, protein expression in current human tissue, based on all annotated cell types, is reported with the units not detected (n), low (l), medium (m) and high (h). Underneath, protein expression in each annotated cell type are reported using the same units.
Protein expression data is based on knowledge-based annotation. For genes where more than one antibody has been used, a collective score is set.
If knowledge-based annotation could not be performed for a gene, no data is displayed here. View antibody staining data further down this page.
A summary of mRNA expression data available for current tissue based on several datasets. The mRNA expression levels in human tissues are based on RNA-seq data generated by the Human Protein Atlas (HPA), Genotype-Tissue Expression (GTEx) portal and CAGE data generated by the FANTOM5 consortium. Consensus normalized expression levels for human tissues was created by combining the data from HPA and GTEx datasets.
The mRNA expression levels in pig are based on RNA-seq data generated by the Human Protein Atlas (HPA), and for mouse, HPA data and in situ hybridization generated by the Allen brain atlas are reported.
Scroll down to view mRNA expression data in more detail.
Antibody staining in the annotated cell types in the current human tissue is reported as not detected, low, medium, or high. This score is based on the staining intensity and fraction of stained cells.
RNA-Seq data generated by the Genotype-Tissue Expression (GTEx) project from human tissues is reported as mean nTPM. More information can be found on the GTEx portal.
Distribution across the dataset is visualized with box plots, shown as median and 25th and 75th percentiles. Points are displayed as outliers if they are above or below 1.5 times the interquartile range. nTPM values of the individual samples are presented next to the box plot.
Max nTPM: 265.9
Min nTPM: 79.5
Std nTPM: 22.6
Median nTPM: 123.5
GTEX-N7MT-0011-R11A-SM-2I3DZ
60-69 years, female
265.9
GTEX-132Q8-0011-R11b-SM-5DUW9
60-69 years, male
200.5
GTEX-12WSC-0011-R11a-SM-5GU5J
50-59 years, male
180.5
GTEX-13X6J-0011-R11a-SM-5P9HE
50-59 years, male
177.1
GTEX-1B933-0011-R11a-SM-7P8PM
50-59 years, female
177.0
GTEX-1F75A-0011-R11a-SM-AHZ35
50-59 years, male
174.5
GTEX-WL46-0011-R11A-SM-3MJFT
50-59 years, male
169.0
GTEX-1LKK1-0011-R11a-SM-EXOIG
50-59 years, female
165.2
GTEX-1B8SG-0011-R11a-SM-7P8PF
50-59 years, male
165.0
GTEX-14C5O-0011-R11b-SM-6872H
60-69 years, male
163.8
GTEX-12WSI-0011-R11b-SM-5P9EZ
50-59 years, male
162.0
GTEX-13G51-0011-R11b-SM-5J2NE
60-69 years, male
160.7
GTEX-1R9K4-0011-R11a-SM-EZ6N9
60-69 years, male
160.6
GTEX-145MH-0011-R11a-SM-5P9HQ
50-59 years, male
160.3
GTEX-1CB4G-0011-R11a-SM-9OSWG
60-69 years, male
158.5
GTEX-1313W-0011-R11a-SM-5DUXN
50-59 years, female
156.9
GTEX-14ASI-0011-R11b-SM-6AJBJ
60-69 years, male
156.9
GTEX-1HBPI-0011-R11b-SM-CE6SH
50-59 years, male
156.7
GTEX-15CHQ-0011-R11b-SM-686ZZ
60-69 years, male
156.4
GTEX-1GF9W-0011-R11b-SM-9OSXG
60-69 years, male
156.1
GTEX-17EVP-0011-R11a-SM-7EWDL
40-49 years, male
152.9
GTEX-1F7RK-0011-R11b-SM-9QEI2
20-29 years, female
151.4
GTEX-1GMR8-0011-R11b-SM-9OSX2
50-59 years, female
151.2
GTEX-1JJ6O-0011-R11b-SM-EXUS2
60-69 years, male
150.5
GTEX-1F6I4-0011-R11b-SM-9OSWS
60-69 years, male
149.9
GTEX-NL4W-0011-R11A-SM-2I3DW
50-59 years, male
149.4
GTEX-16XZZ-0011-R11a-SM-7EPI3
60-69 years, male
149.3
GTEX-WWYW-0011-R11A-SM-3NB38
50-59 years, female
149.3
GTEX-13NYS-0011-R11b-SM-5MR4P
60-69 years, male
148.7
GTEX-14E7W-0011-R11a-SM-5ZZVA
70-79 years, male
148.1
GTEX-13FLV-0011-R11a-SM-5LZZ7
50-59 years, male
146.8
GTEX-1GZ4I-0011-R11b-SM-9OSWR
50-59 years, male
146.7
GTEX-1H1DG-0011-R11a-SM-C1YQK
70-79 years, male
146.5
GTEX-N7MS-0011-R11A-SM-2HMJS
60-69 years, male
146.1
GTEX-17HII-0011-R11b-SM-7KFSX
50-59 years, male
145.9
GTEX-16GPK-0011-R11b-SM-7MKFF
60-69 years, male
145.6
GTEX-1C64N-0011-R11b-SM-7P8Q6
50-59 years, male
145.1
GTEX-16NPV-0011-R11a-SM-7IGMK
50-59 years, female
144.9
GTEX-1I1GS-0011-R11a-SM-C1YRU
60-69 years, male
144.6
GTEX-1IGQW-0011-R11a-SM-C1YRV
60-69 years, male
144.6
GTEX-1LG7Y-0011-R11a-SM-EXOIH
50-59 years, male
144.4
GTEX-11ZUS-0011-R11b-SM-5BC7B
30-39 years, male
144.0
GTEX-13JUV-0011-R11a-SM-5LZYH
40-49 years, female
143.6
GTEX-1M4P7-0011-R11b-SM-EXOIK
60-69 years, male
143.3
GTEX-1F75W-0011-R11b-SM-AHZ34
60-69 years, male
142.9
GTEX-ZF28-0011-R11a-SM-4WWEI
60-69 years, male
142.8
GTEX-X4EP-0011-R11B-SM-4QASK
60-69 years, female
142.5
GTEX-WZTO-0011-R11A-SM-4E3K9
40-49 years, male
141.9
GTEX-12ZZZ-0011-R11a-SM-5EGLC
60-69 years, male
141.8
GTEX-1JJEA-0011-R11a-SM-EXUTE
60-69 years, male
141.3
GTEX-1HGF4-0011-R11a-SM-C1YRR
60-69 years, male
141.2
GTEX-16YQH-0011-R11b-SM-7LT98
30-39 years, male
140.2
GTEX-1H3VE-0011-R11b-SM-C1YRP
40-49 years, male
139.9
GTEX-11TTK-0011-R11b-SM-DO112
60-69 years, female
139.6
GTEX-11DXY-0011-R11a-SM-DNZZN
60-69 years, male
139.5
GTEX-S7SE-0011-R11A-SM-2XCDD
50-59 years, male
139.3
GTEX-ZUA1-0011-R11b-SM-51MTI
40-49 years, male
138.6
GTEX-Z93S-0011-R11a-SM-4RGNN
50-59 years, male
138.0
GTEX-144GL-0011-R11b-SM-5P9F6
50-59 years, male
137.9
GTEX-17HG3-0011-R11b-SM-7KFT4
30-39 years, female
137.5
GTEX-1H3NZ-0011-R11b-SM-CE6SF
60-69 years, male
137.2
GTEX-T2IS-0011-R11A-SM-32QPC
20-29 years, female
136.6
GTEX-1JMQJ-0011-R11a-SM-EXOJY
50-59 years, male
136.4
GTEX-12WSH-0011-R11a-SM-5LZVM
50-59 years, male
136.2
GTEX-1H4P4-0011-R11b-SM-CE6S8
50-59 years, male
136.0
GTEX-139TT-0011-R11b-SM-5LZV1
60-69 years, male
133.9
GTEX-1IDJH-0011-R11b-SM-C1YRT
70-79 years, male
133.3
GTEX-17F97-0011-R11b-SM-7KFRQ
50-59 years, male
133.1
GTEX-1IY9M-0011-R11b-SM-A96TI
60-69 years, male
133.1
GTEX-1GN73-0011-R11b-SM-9OSX4
60-69 years, male
132.0
GTEX-14ABY-0011-R11a-SM-5SI7C
50-59 years, male
131.9
GTEX-1J8Q2-0011-R11a-SM-A9SKI
60-69 years, male
131.8
GTEX-1I1GQ-0011-R11b-SM-CKZPA
50-59 years, male
131.7
GTEX-1HUB1-0011-R11b-SM-CE6SC
60-69 years, male
131.4
GTEX-YJ89-0011-R11a-SM-4SOKA
60-69 years, male
131.1
GTEX-1N2EE-0011-R11b-SM-EXOIJ
60-69 years, male
130.8
GTEX-12WSF-0011-R11a-SM-5LZVT
70-79 years, male
130.7
GTEX-11EMC-0011-R11b-SM-DNZZK
60-69 years, female
130.7
GTEX-1I1GR-0011-R11a-SM-CM2T5
60-69 years, male
130.5
GTEX-11ZTS-0011-R11a-SM-DO113
60-69 years, female
130.1
GTEX-1LVAO-0011-R11b-SM-EXOI8
60-69 years, male
130.1
GTEX-13O3O-0011-R11b-SM-5KM4G
60-69 years, female
130.0
GTEX-NL3H-0011-R11A-SM-2I3E6
60-69 years, male
128.9
GTEX-1F52S-0011-R11a-SM-CJI23
60-69 years, female
128.9
GTEX-18A6Q-0011-R11a-SM-72D6H
60-69 years, male
128.6
GTEX-ZVZQ-0011-R11a-SM-51MS6
60-69 years, female
128.5
GTEX-13FXS-0011-R11a-SM-5L3DM
50-59 years, male
128.4
GTEX-11EI6-0011-R11a-SM-DO11V
60-69 years, male
128.3
GTEX-P44H-0011-R11A-SM-2XCER
40-49 years, male
127.8
GTEX-1HSKV-0011-R11b-SM-AHZ2E
60-69 years, male
127.7
GTEX-14E6D-0011-R11b-SM-664NP
50-59 years, male
127.4
GTEX-14PN4-0011-R11a-SM-686ZW
50-59 years, male
127.1
GTEX-Y8DK-0011-R11A-SM-4SOK2
60-69 years, male
126.9
GTEX-11DZ1-0011-R11b-SM-DO11W
50-59 years, male
126.9
GTEX-1JMOU-0011-R11b-SM-EXUTA
60-69 years, female
126.5
GTEX-T5JC-0011-R11A-SM-32PMB
20-29 years, male
126.3
GTEX-13X6I-0011-R11a-SM-5P9HN
60-69 years, male
126.1
GTEX-13X6K-0011-R11a-SM-5P9F5
60-69 years, female
125.6
GTEX-X261-0011-R11A-SM-4E3JY
50-59 years, male
125.6
GTEX-1E1VI-0011-R11a-SM-9OSWI
50-59 years, male
125.6
GTEX-16Z82-0011-R11a-SM-79OKJ
60-69 years, male
125.1
GTEX-13O3Q-0011-R11b-SM-5KM2W
50-59 years, male
124.9
GTEX-XMD1-0011-R11A-SM-4AT5J
60-69 years, male
124.7
GTEX-1399T-0011-R11a-SM-5J2O1
60-69 years, male
124.5
GTEX-1H1CY-0011-R11a-SM-C1YQR
60-69 years, female
124.2
GTEX-1F48J-0011-R11b-SM-9OSWV
50-59 years, female
124.1
GTEX-139UW-0011-R11a-SM-5IJGN
60-69 years, male
123.7
GTEX-183WM-0011-R11a-SM-718A5
70-79 years, female
123.5
GTEX-12WSD-0011-R11a-SM-9OSVC
60-69 years, female
123.5
GTEX-131XH-0011-R11a-SM-5EGLN
50-59 years, male
123.4
GTEX-1BAJH-0011-R11b-SM-7IGLM
70-79 years, male
123.2
GTEX-QMR6-0011-R11A-SM-32PKK
50-59 years, male
122.8
GTEX-1B8L1-0011-R11b-SM-793DJ
60-69 years, male
122.5
GTEX-1I19N-0011-R11b-SM-ARU6Y
70-79 years, male
122.5
GTEX-1GMRU-0011-R11b-SM-C1YQ4
50-59 years, male
122.4
GTEX-18465-0011-R11a-SM-72D78
50-59 years, male
122.1
GTEX-1R9PO-0011-R11b-SM-EZ6NB
60-69 years, female
121.8
GTEX-12ZZX-0011-R11a-SM-5DUVJ
40-49 years, female
121.7
GTEX-1EKGG-0011-R11a-SM-9QEHZ
60-69 years, male
121.7
GTEX-13CZV-0011-R11b-SM-5N9FN
60-69 years, male
121.5
GTEX-15DYW-0011-R11a-SM-6LPIT
60-69 years, female
121.5
GTEX-1CAV2-0011-R11a-SM-ARU8D
40-49 years, female
121.5
GTEX-12126-0011-R11a-SM-5BC6X
20-29 years, male
121.1
GTEX-13FHO-0011-R11b-SM-5LZYQ
60-69 years, male
120.9
GTEX-17JCI-0011-R11a-SM-7189Y
60-69 years, female
120.8
GTEX-1AX9I-0011-R11b-SM-7DHN4
60-69 years, male
120.8
GTEX-13SLW-0011-R11a-SM-5SI8Q
70-79 years, male
120.6
GTEX-1A3MX-0011-R11b-SM-7DUGP
60-69 years, male
120.6
GTEX-ZAB4-0011-R11a-SM-4SOKI
40-49 years, male
120.1
GTEX-1EMGI-0011-R11b-SM-9OSWX
60-69 years, male
120.1
GTEX-12WSM-0011-R11a-SM-5DUX8
60-69 years, male
119.6
GTEX-13VXU-0011-R11b-SM-5O9DJ
50-59 years, male
119.4
GTEX-1ICLZ-0011-R11a-SM-CJI3N
60-69 years, male
119.3
GTEX-1KD4Q-0011-R11b-SM-EXOIE
40-49 years, male
119.1
GTEX-ZDXO-0011-R11a-SM-4WWD9
60-69 years, male
119.0
GTEX-13OVH-0011-R11b-SM-5KM4X
70-79 years, male
118.8
GTEX-RU72-0011-R11A-SM-CM2U1
50-59 years, female
117.5
GTEX-13NYB-0011-R11a-SM-5KM3Q
40-49 years, male
117.4
GTEX-1IKOH-0011-R11a-SM-AHZ38
60-69 years, female
115.7
GTEX-UTHO-0011-R11A-SM-3GIJE
60-69 years, male
115.6
GTEX-15EO6-0011-R11b-SM-6M47M
50-59 years, male
115.4
GTEX-1HCU6-0011-R11b-SM-AHZ2F
60-69 years, female
115.1
GTEX-YFC4-0011-R11a-SM-4SOK6
40-49 years, female
114.9
GTEX-131XW-0011-R11a-SM-5DUV9
50-59 years, female
114.5
GTEX-X4XX-0011-R11A-SM-46MWQ
60-69 years, male
114.5
GTEX-13S7M-0011-R11b-SM-5P9HU
60-69 years, female
113.9
GTEX-1I1GV-0011-R11a-SM-CJI3Z
60-69 years, male
113.3
GTEX-15G19-0011-R11b-SM-6LPIH
60-69 years, male
113.2
GTEX-13RTJ-0011-R11a-SM-5O9CK
60-69 years, male
112.9
GTEX-WHSE-0011-R11A-SM-3P5YY
20-29 years, male
112.7
GTEX-13OW7-0011-R11a-SM-5O9DY
50-59 years, male
112.6
GTEX-14C39-0011-R11b-SM-5YYAF
40-49 years, male
112.4
GTEX-11H98-0011-R11b-SM-5NQ6U
50-59 years, male
112.3
GTEX-1N2DW-0011-R11b-SM-EXOIL
50-59 years, male
112.3
GTEX-11DYG-0011-R11a-SM-DNZZP
60-69 years, male
112.2
GTEX-T6MN-0011-R11A-SM-32QOX
50-59 years, male
111.9
GTEX-1LSVX-0011-R11b-SM-EXOIA
60-69 years, male
111.8
GTEX-14BIN-0011-R11a-SM-5SI79
50-59 years, female
111.6
GTEX-X585-0011-R11B-SM-46MUZ
50-59 years, male
111.3
GTEX-15DCD-0011-R11a-SM-D4P1R
70-79 years, female
111.3
GTEX-17EVQ-0011-R11a-SM-7LT9C
70-79 years, male
110.9
GTEX-1IL2U-0011-R11a-SM-CE6SO
60-69 years, male
110.8
GTEX-14BIM-0011-R11b-SM-5S2RN
60-69 years, female
110.2
GTEX-13CF2-0011-R11b-SM-5LZXO
60-69 years, male
110.1
GTEX-131YS-0011-R11b-SM-5EGLM
60-69 years, female
109.7
GTEX-1H3O1-0011-R11a-SM-A96RV
60-69 years, male
109.7
GTEX-13FTY-0011-R11a-SM-5IJEA
40-49 years, female
109.6
GTEX-13N2G-0011-R11a-SM-5MR3F
60-69 years, male
109.5
GTEX-13QIC-0011-R11b-SM-5O9BU
60-69 years, female
109.0
GTEX-1GTWX-0011-R11b-SM-C1YQJ
60-69 years, male
109.0
GTEX-1IOXB-0011-R11a-SM-A9G1X
50-59 years, male
109.0
GTEX-WVLH-0011-R11A-SM-3MJFO
50-59 years, male
108.9
GTEX-11WQC-0011-R11b-SM-57WD6
60-69 years, male
108.8
GTEX-ZE9C-0011-R11a-SM-4WKGG
60-69 years, male
108.7
GTEX-11OF3-0011-R11a-SM-57WCR
60-69 years, male
108.5
GTEX-1H1ZS-0011-R11a-SM-C1YQM
70-79 years, male
108.4
GTEX-1GZHY-0011-R11a-SM-C1YRQ
50-59 years, female
108.0
GTEX-13OW6-0011-R11a-SM-5L3H2
50-59 years, male
107.9
GTEX-13NZA-0011-R11b-SM-5KM4W
60-69 years, male
107.5
GTEX-13OW5-0011-R11b-SM-5L3GG
60-69 years, male
107.2
GTEX-NPJ8-0011-R11A-SM-2YUMS
40-49 years, male
106.8
GTEX-ZE7O-0011-R11a-SM-57WBC
50-59 years, female
106.8
GTEX-11PRG-0011-R11b-SM-DNZZY
50-59 years, male
106.3
GTEX-13PLJ-0011-R11b-SM-5O9BS
60-69 years, female
105.9
GTEX-1B8SF-0011-R11a-SM-79OOP
60-69 years, male
105.5
GTEX-ZVT3-0011-R11b-SM-57WBI
60-69 years, female
105.2
GTEX-QDT8-0011-R11A-SM-32PKD
30-39 years, female
105.1
GTEX-13OW8-0011-R11a-SM-5L3GT
60-69 years, male
104.8
GTEX-P44G-0011-R11A-SM-2I3FD
30-39 years, male
104.2
GTEX-13OVL-0011-R11b-SM-5L3G7
50-59 years, male
104.1
GTEX-14DAQ-0011-R11a-SM-664NO
60-69 years, female
104.0
GTEX-1HFI6-0011-R11b-SM-A96RU
40-49 years, male
104.0
GTEX-1J1OQ-0011-R11a-SM-A96S3
40-49 years, female
103.5
GTEX-15ER7-0011-R11a-SM-6LPIL
20-29 years, female
102.4
GTEX-12WSE-0011-R11b-SM-5P9JW
20-29 years, male
101.2
GTEX-1I1HK-0011-R11a-SM-B2LVN
60-69 years, male
101.1
GTEX-1J8EW-0011-R11a-SM-AHZ37
60-69 years, female
100.1
GTEX-1IL2V-0011-R11a-SM-ARU6T
70-79 years, male
95.8
GTEX-NPJ7-0011-R11A-SM-2I3E8
60-69 years, female
95.1
GTEX-13FHP-0011-R11b-SM-5LZXP
50-59 years, male
94.9
GTEX-1IKK5-0011-R11a-SM-C1YRX
60-69 years, male
94.3
GTEX-13JVG-0011-R11a-SM-5KM53
60-69 years, male
94.0
GTEX-Q2AG-0011-R11A-SM-2HMKZ
40-49 years, female
92.8
GTEX-R55E-0011-R11A-SM-2TC6I
20-29 years, male
92.1
GTEX-18464-0011-R11a-SM-72D76
50-59 years, male
91.5
GTEX-13SLX-0011-R11b-SM-5O9C8
50-59 years, female
91.4
GTEX-RVPV-0011-R11A-SM-2TF6F
60-69 years, male
90.1
GTEX-OHPN-0011-R11A-SM-2I5FM
60-69 years, female
89.0
GTEX-13OVJ-0011-R11a-SM-5P9H8
50-59 years, female
88.2
GTEX-1HB9E-0011-R11b-SM-ARU79
50-59 years, male
88.1
GTEX-145MI-0011-R11a-SM-5P9JZ
60-69 years, female
87.8
GTEX-11GSP-0011-R11b-SM-5NQ7V
60-69 years, female
87.7
GTEX-145LU-0011-R11b-SM-5P9JX
50-59 years, male
86.1
GTEX-TSE9-0011-R11A-SM-3DB7N
60-69 years, female
82.8
GTEX-13PVQ-0011-R11a-SM-5O9DU
50-59 years, male
79.5
Show allShow less
Brain - Cerebellum Average nTPM: 120.8
Samples: 241
Max nTPM: 165.5
Min nTPM: 87.1
Std nTPM: 12.8
Median nTPM: 118.8
GTEX-1H3VE-2826-SM-9WPOL
40-49 years, male
165.5
GTEX-1PWST-3026-SM-EAZ3H
70-79 years, male
160.3
GTEX-16XZZ-2926-SM-6LPK4
60-69 years, male
158.8
GTEX-18465-2926-SM-7KFSE
50-59 years, male
153.0
GTEX-Y111-2826-SM-4TT3O
50-59 years, male
152.8
GTEX-WHSE-2926-SM-3NMBG
20-29 years, male
152.2
GTEX-1GF9W-2726-SM-9JGGW
60-69 years, male
149.1
GTEX-14C5O-2926-SM-5RQI1
60-69 years, male
147.1
GTEX-11OC5-0626-SM-5HL6M
60-69 years, male
146.9
GTEX-15DYW-3026-SM-7KFRM
60-69 years, female
146.4
GTEX-14A5I-2826-SM-5SIBF
50-59 years, female
145.9
GTEX-1PIIG-2826-SM-DTX7O
30-39 years, male
144.4
GTEX-1F6I4-3026-SM-7P8SI
60-69 years, male
143.1
GTEX-1CB4G-2926-SM-7MKFQ
60-69 years, male
142.7
GTEX-13112-2926-SM-5DUWT
50-59 years, male
142.1
GTEX-145MH-2926-SM-5Q5D2
50-59 years, male
141.4
GTEX-1JMQJ-3126-SM-EV79G
50-59 years, male
141.2
GTEX-12ZZZ-3126-SM-5LZU6
60-69 years, male
140.7
GTEX-1192X-3226-SM-5987D
50-59 years, male
140.3
GTEX-1C6WA-3326-SM-7MKGN
60-69 years, male
140.0
GTEX-1MJK2-3026-SM-EV7A5
50-59 years, male
139.7
GTEX-11GSO-3026-SM-5Q5AL
60-69 years, male
139.6
GTEX-132Q8-2926-SM-5IFFP
60-69 years, male
139.5
GTEX-147GR-3126-SM-5S2PM
60-69 years, male
138.2
GTEX-1H3NZ-2926-SM-9WPQ8
60-69 years, male
137.1
GTEX-X4EP-3026-SM-3P5YP
60-69 years, female
137.0
GTEX-N7MT-1226-SM-DKPOK
60-69 years, female
136.5
GTEX-1F75W-3126-SM-7P8SJ
60-69 years, male
136.2
GTEX-1F75A-2926-SM-7MXVN
50-59 years, male
135.3
GTEX-1I1GV-3026-SM-CNNR9
60-69 years, male
134.8
GTEX-1B996-2926-SM-7MXUH
60-69 years, male
134.6
GTEX-ZF28-2926-SM-4WKG1
60-69 years, male
133.9
GTEX-1JMOU-2826-SM-EV79R
60-69 years, female
133.9
GTEX-1F48J-2726-SM-7P8PW
50-59 years, female
133.8
GTEX-WL46-2826-SM-3LK81
50-59 years, male
133.6
GTEX-183WM-2726-SM-7KFRF
70-79 years, female
133.5
GTEX-XMD1-2826-SM-4AT5F
60-69 years, male
133.2
GTEX-T2IS-2926-SM-32QPO
20-29 years, female
132.4
GTEX-13NYB-3226-SM-5J2ND
40-49 years, male
132.3
GTEX-1GZ4I-2926-SM-9JGGO
50-59 years, male
132.0
GTEX-XLM4-2926-SM-4AT59
60-69 years, male
131.0
GTEX-S7SE-2526-SM-2XCDL
50-59 years, male
130.9
GTEX-1HB9E-3126-SM-AHZ4M
50-59 years, male
130.6
GTEX-13X6I-2926-SM-5Q5C3
60-69 years, male
130.5
GTEX-14JIY-2326-SM-6AJAJ
60-69 years, male
130.4
GTEX-13FHO-2926-SM-5L3ES
60-69 years, male
130.0
GTEX-13G51-3126-SM-5IJG7
60-69 years, male
130.0
GTEX-1313W-3026-SM-5LZUZ
50-59 years, female
129.9
GTEX-Z93S-2826-SM-57WBL
50-59 years, male
129.9
GTEX-1JJ6O-3026-SM-C1YQH
60-69 years, male
129.3
GTEX-11TTK-2826-SM-5GU5K
60-69 years, female
129.0
GTEX-NPJ7-2826-SM-2I3FU
60-69 years, female
129.0
GTEX-11DXY-3126-SM-5N9BT
60-69 years, male
128.9
GTEX-1JMPZ-2826-SM-C1YRA
30-39 years, male
128.0
GTEX-1NV8Z-3026-SM-DTX8Z
60-69 years, male
127.9
GTEX-111FC-3326-SM-5GZYV
60-69 years, male
127.7
GTEX-145MF-2826-SM-7EPGU
50-59 years, male
127.6
GTEX-13O3O-3026-SM-5KM42
60-69 years, female
127.4
GTEX-ZZPT-2926-SM-5EQ5S
50-59 years, male
127.3
GTEX-ZAB4-2926-SM-57WCV
40-49 years, male
127.1
GTEX-1E1VI-2926-SM-7IGLT
50-59 years, male
126.7
GTEX-12WSE-2926-SM-5RQJ9
20-29 years, male
126.6
GTEX-1F6IF-3026-SM-7P8QN
60-69 years, male
126.6
GTEX-144GL-2926-SM-5O99F
50-59 years, male
126.5
GTEX-1HBPH-3026-SM-9WPNY
40-49 years, female
126.5
GTEX-13O3Q-3026-SM-5IJGD
50-59 years, male
126.4
GTEX-1H1ZS-2926-SM-9WPP2
70-79 years, male
126.1
GTEX-1RDX4-3226-SM-DPS14
50-59 years, female
125.9
GTEX-13S7M-3026-SM-5S2QQ
60-69 years, female
125.8
GTEX-145LS-3026-SM-5O99S
60-69 years, female
125.8
GTEX-1B8L1-3226-SM-7P8OX
60-69 years, male
125.7
GTEX-T6MN-2526-SM-32PMN
50-59 years, male
125.6
GTEX-ZYFD-2926-SM-5GID9
50-59 years, male
125.6
GTEX-RNOR-2226-SM-2TF5O
50-59 years, female
125.5
GTEX-ZYY3-3026-SM-5GIEJ
60-69 years, female
125.5
GTEX-14DAQ-3026-SM-5S2QZ
60-69 years, female
125.3
GTEX-1C6VR-3026-SM-7IGLW
60-69 years, male
125.2
GTEX-1B933-3026-SM-731DB
50-59 years, female
125.1
GTEX-PVOW-2626-SM-32PL8
40-49 years, male
125.1
GTEX-1JN1M-3126-SM-AHZ4E
60-69 years, female
125.0
GTEX-1R46S-3126-SM-DPRZ9
60-69 years, female
125.0
GTEX-WZTO-2826-SM-3NM8P
40-49 years, male
124.7
GTEX-Y8DK-0726-SM-4TT3S
60-69 years, male
124.7
GTEX-13OW5-3126-SM-5MR3Y
60-69 years, male
124.5
GTEX-1B8SG-1926-SM-73KUB
50-59 years, male
124.4
GTEX-QMR6-1326-SM-32PLB
50-59 years, male
124.3
GTEX-1IY9M-3126-SM-AHZ3A
60-69 years, male
124.3
GTEX-14PJO-2926-SM-686ZI
60-69 years, male
124.2
GTEX-13OVH-2926-SM-5IJFH
70-79 years, male
124.0
GTEX-13RTJ-3126-SM-5S2Q4
60-69 years, male
123.7
GTEX-14E7W-2926-SM-5S2R8
70-79 years, male
123.6
GTEX-1B8SF-3026-SM-731DX
60-69 years, male
123.5
GTEX-WWYW-3026-SM-3NB36
50-59 years, female
123.5
GTEX-14E6D-2926-SM-664OP
50-59 years, male
123.3
GTEX-14C39-3026-SM-5S2QE
40-49 years, male
123.2
GTEX-WVLH-2926-SM-3MJG5
50-59 years, male
123.2
GTEX-1GTWX-2926-SM-7MXV4
60-69 years, male
123.0
GTEX-11ZVC-3026-SM-59HJM
50-59 years, female
122.5
GTEX-1128S-2826-SM-5N9DI
60-69 years, female
122.4
GTEX-1H1DG-2826-SM-9JGHB
70-79 years, male
122.4
GTEX-12ZZY-2926-SM-5DUXO
60-69 years, male
121.9
GTEX-1KANB-3226-SM-D4P3G
50-59 years, male
121.6
GTEX-15G19-2826-SM-6M48K
60-69 years, male
121.5
GTEX-1RQEC-3026-SM-DPRXM
60-69 years, male
121.1
GTEX-1EH9U-3126-SM-7MXU5
60-69 years, male
120.9
GTEX-13VXU-3026-SM-5LU3K
50-59 years, male
120.7
GTEX-15EO6-2926-SM-6M48D
50-59 years, male
120.7
GTEX-1GN73-3026-SM-7MXV8
60-69 years, male
120.6
GTEX-QVJO-1325-SM-2S1QX
60-69 years, female
120.5
GTEX-1HCVE-2926-SM-9WPPJ
50-59 years, male
120.5
GTEX-12ZZX-2826-SM-5BC6K
40-49 years, female
120.2
GTEX-1HSMO-2926-SM-C1YR5
60-69 years, male
120.2
GTEX-1GF9V-3026-SM-7P8R8
60-69 years, male
120.1
GTEX-16Z82-2926-SM-6LPJJ
60-69 years, male
119.9
GTEX-14ABY-3026-SM-664NE
50-59 years, male
119.8
GTEX-1H3O1-1826-SM-A96TO
60-69 years, male
119.8
GTEX-131YS-3026-SM-5EGHY
60-69 years, female
119.7
GTEX-147F4-3026-SM-5Q5BJ
50-59 years, male
119.5
GTEX-1LG7Y-3126-SM-EV7AS
50-59 years, male
119.5
GTEX-1BAJH-3126-SM-7MGXY
70-79 years, male
119.1
GTEX-13FHP-2926-SM-5IJG9
50-59 years, male
118.8
GTEX-ZAJG-3026-SM-5HL92
50-59 years, female
118.8
GTEX-1E2YA-2926-SM-7MGWX
50-59 years, male
118.8
GTEX-1LSVX-2826-SM-EVR58
60-69 years, male
118.8
GTEX-139TT-2626-SM-5LZUB
60-69 years, male
118.6
GTEX-1JJEA-2926-SM-C1YSK
60-69 years, male
118.6
GTEX-1KD4Q-3026-SM-EV7A7
40-49 years, male
118.4
GTEX-11ONC-3026-SM-5985W
60-69 years, male
118.3
GTEX-1EWIQ-3026-SM-7IGOJ
70-79 years, female
118.3
GTEX-PWO3-1026-SM-2I5F2
60-69 years, female
118.3
GTEX-1R9PO-2826-SM-E6CPV
60-69 years, female
118.2
GTEX-1H1CY-3026-SM-9OSW7
60-69 years, female
118.1
GTEX-11EMC-3326-SM-5P9JH
60-69 years, female
118.0
GTEX-ZUA1-2926-SM-59HL3
40-49 years, male
118.0
GTEX-1F52S-3026-SM-7P8PV
60-69 years, female
118.0
GTEX-1IKOH-2826-SM-CNNRC
60-69 years, female
118.0
GTEX-13N2G-3126-SM-5IJGL
60-69 years, male
117.8
GTEX-1RNSC-3126-SM-EVR4V
60-69 years, male
117.6
GTEX-17HG3-2826-SM-7EPGO
30-39 years, female
117.5
GTEX-ZVT3-2926-SM-5GU6M
60-69 years, female
117.4
GTEX-11EI6-2926-SM-5985U
60-69 years, male
117.3
GTEX-17HII-2926-SM-79OMK
50-59 years, male
117.3
GTEX-18A6Q-2826-SM-7LTAO
60-69 years, male
117.3
GTEX-R55E-2526-SM-2TC6H
20-29 years, male
117.3
GTEX-1H4P4-2726-SM-9JGGB
50-59 years, male
117.3
GTEX-1QP6S-3026-SM-EAZ4N
40-49 years, male
117.3
GTEX-11ZTS-3226-SM-5EGID
60-69 years, female
117.2
GTEX-11NV4-2226-SM-5BC4T
60-69 years, male
117.1
GTEX-P44G-2526-SM-2I5EK
30-39 years, male
117.1
GTEX-T5JC-2326-SM-32PMR
20-29 years, male
117.1
GTEX-13FXS-3026-SM-5LZYO
50-59 years, male
117.0
GTEX-1A3MX-2926-SM-718B7
60-69 years, male
117.0
GTEX-1IDJH-3126-SM-C1YQS
70-79 years, male
116.9
GTEX-14PN4-3026-SM-664O4
50-59 years, male
116.7
GTEX-15ER7-3026-SM-6M47W
20-29 years, female
116.7
GTEX-145MG-3126-SM-5Q5D3
50-59 years, male
116.4
GTEX-11DXW-1026-SM-5H11K
40-49 years, male
116.3
GTEX-1CB4H-3026-SM-79OLX
60-69 years, female
116.3
GTEX-1QEPI-3026-SM-EXOIW
60-69 years, female
116.3
GTEX-1399T-3126-SM-5IJFS
60-69 years, male
116.2
GTEX-14ASI-2926-SM-5Q5DG
60-69 years, male
116.1
GTEX-1EU9M-2926-SM-793DF
60-69 years, male
116.1
GTEX-11ZUS-2826-SM-5EQKW
30-39 years, male
115.9
GTEX-131XH-2926-SM-5LZU4
50-59 years, male
115.7
GTEX-13CF2-3026-SM-5IFFX
60-69 years, male
115.6
GTEX-YJ89-2926-SM-5P9IT
60-69 years, male
115.5
GTEX-1EMGI-3126-SM-7MXUR
60-69 years, male
115.5
GTEX-13OVL-3026-SM-5IJF1
50-59 years, male
115.3
GTEX-145LU-2626-SM-5LU9Z
50-59 years, male
115.3
GTEX-12WSH-3126-SM-5LZW8
50-59 years, male
115.1
GTEX-13JUV-3026-SM-5K7WX
40-49 years, female
114.8
GTEX-11NUK-3026-SM-5986K
50-59 years, male
114.7
GTEX-1JJE9-3026-SM-CNNPA
70-79 years, male
114.7
GTEX-17F97-2926-SM-7DUEQ
50-59 years, male
114.6
GTEX-QVUS-2926-SM-3GIJB
60-69 years, female
114.4
GTEX-1KWVE-2226-SM-CXZKN
30-39 years, male
114.4
GTEX-1JMQK-2926-SM-D4P2T
60-69 years, male
114.2
GTEX-12WSC-2926-SM-5BC5Z
50-59 years, male
114.1
GTEX-X4XX-2926-SM-3NMB1
60-69 years, male
114.1
GTEX-14JFF-2826-SM-6871Q
60-69 years, male
114.0
GTEX-117XS-3126-SM-5GIDP
60-69 years, male
113.7
GTEX-UTHO-2926-SM-3P5Z9
60-69 years, male
113.6
GTEX-1JMLX-3026-SM-EV79Q
50-59 years, male
113.5
GTEX-15SHU-3026-SM-6LPIB
40-49 years, female
113.4
GTEX-ZAK1-2926-SM-5HL9S
50-59 years, female
113.0
GTEX-13X6J-2926-SM-7EPGP
50-59 years, male
112.7
GTEX-16YQH-2926-SM-6LPJE
30-39 years, male
112.5
GTEX-11DYG-2926-SM-5H132
60-69 years, male
112.4
GTEX-1EX96-3126-SM-9JGGC
50-59 years, male
112.3
GTEX-139TS-3126-SM-5LZWX
60-69 years, male
111.8
GTEX-14BIM-3126-SM-5Q5C7
60-69 years, female
111.7
GTEX-12126-0926-SM-5FQTW
20-29 years, male
111.6
GTEX-14JG1-2926-SM-686ZK
40-49 years, male
111.5
GTEX-QDT8-3026-SM-32PKB
30-39 years, female
111.2
GTEX-13OW8-2926-SM-5L3FV
60-69 years, male
111.1
GTEX-1GZ2Q-3026-SM-9JGG3
40-49 years, male
110.7
GTEX-1J1OQ-3126-SM-D4P2O
40-49 years, female
110.6
GTEX-1P4AB-3026-SM-EXOJS
50-59 years, male
110.6
GTEX-12WSM-2126-SM-5GCOC
60-69 years, male
110.4
GTEX-14BMV-2926-SM-5TDEE
50-59 years, male
110.4
GTEX-13X6K-2826-SM-5O9DS
60-69 years, female
110.3
GTEX-1GZHY-3026-SM-7MXVA
50-59 years, female
110.3
GTEX-12WSD-3026-SM-5LZU7
60-69 years, female
109.7
GTEX-RU72-2926-SM-2TF66
50-59 years, female
109.2
GTEX-17EVP-2926-SM-793BU
40-49 years, male
109.1
GTEX-1C64N-3126-SM-79OO3
50-59 years, male
108.9
GTEX-13OW7-2926-SM-5MR3Z
50-59 years, male
108.7
GTEX-N7MS-2526-SM-2D7W3
60-69 years, male
108.7
GTEX-YFC4-3026-SM-5IFJK
40-49 years, female
108.3
GTEX-13OW6-2926-SM-5KM29
50-59 years, male
108.1
GTEX-11O72-2826-SM-5HL6W
40-49 years, male
107.9
GTEX-14PJM-3026-SM-6LLHM
50-59 years, female
107.6
GTEX-14BIN-3326-SM-5Q5E6
50-59 years, female
107.2
GTEX-P44H-2426-SM-2XCEJ
40-49 years, male
107.1
GTEX-1A8G6-3126-SM-731D8
60-69 years, male
107.0
GTEX-1POEN-2726-SM-E9U6B
30-39 years, female
106.9
GTEX-X261-3126-SM-4PQZC
50-59 years, male
106.8
GTEX-17JCI-3026-SM-7EWDR
60-69 years, female
106.3
GTEX-1A8G7-3026-SM-73KTT
60-69 years, male
105.7
GTEX-1I1HK-2726-SM-AHZ2M
60-69 years, male
105.7
GTEX-13QIC-3026-SM-5LU58
60-69 years, female
105.5
GTEX-1HBPI-2726-SM-9WPPF
50-59 years, male
105.3
GTEX-17HHY-2926-SM-79OJW
50-59 years, male
104.5
GTEX-1269C-3126-SM-5EGI6
60-69 years, female
104.1
GTEX-ZDXO-2926-SM-4WKFM
60-69 years, male
104.1
GTEX-11DZ1-2926-SM-5A5KI
50-59 years, male
104.0
GTEX-1HSKV-2926-SM-B2LWJ
60-69 years, male
103.5
GTEX-NPJ8-2626-SM-2D7W2
40-49 years, male
101.0
GTEX-17EVQ-2726-SM-7EWDT
70-79 years, male
100.6
GTEX-1I1CD-2926-SM-A96SJ
60-69 years, female
99.7
GTEX-OHPN-2626-SM-2I5H1
60-69 years, female
99.0
GTEX-13OVJ-2726-SM-5IJG6
50-59 years, female
98.7
GTEX-1EKGG-3126-SM-9WPO5
60-69 years, male
98.1
GTEX-11GSP-3126-SM-5A5LL
60-69 years, female
95.6
GTEX-TSE9-2926-SM-3DB77
60-69 years, female
94.1
GTEX-1IL2V-3026-SM-CYPSA
70-79 years, male
92.1
GTEX-13SLX-3226-SM-5YYA6
50-59 years, female
91.8
GTEX-13PVQ-2926-SM-5L3HJ
50-59 years, male
91.0
GTEX-Q2AG-2826-SM-2HMJQ
40-49 years, female
90.1
GTEX-11PRG-2826-SM-5BC54
50-59 years, male
89.9
GTEX-13JVG-3226-SM-5IJGJ
60-69 years, male
87.1
Show allShow less
CEREBELLUM - FANTOM5 CAGEi
RNA expression in human tissues obtained through Cap Analysis of Gene Expression (CAGE) generated by the FANTOM5 project are reported as Scaled Tags Per Million.
Normal distribution across the dataset is visualized with box plots, shown as median and 25th and 75th percentiles. Points are displayed as outliers if they are above or below 1.5 times the interquartile range. nTPM values of the individual samples are presented next to the box plot.