We use cookies to enhance the usability of our website. If you continue, we'll assume that you are happy to receive all cookies. More information. Don't show this again.
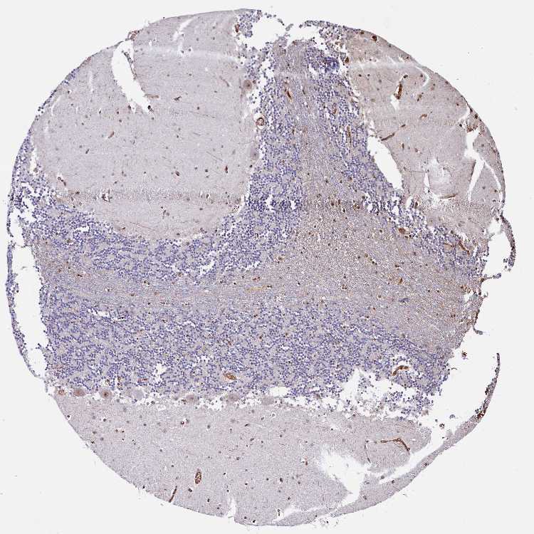
On the top, protein expression in current human tissue, based on all annotated cell types, is reported with the units not detected (n), low (l), medium (m) and high (h). Underneath, protein expression in each annotated cell type are reported using the same units.
Protein expression data is based on knowledge-based annotation. For genes where more than one antibody has been used, a collective score is set.
If knowledge-based annotation could not be performed for a gene, no data is displayed here. View antibody staining data further down this page.
A summary of mRNA expression data available for current tissue based on several datasets. The mRNA expression levels in human tissues are based on RNA-seq data generated by the Human Protein Atlas (HPA), Genotype-Tissue Expression (GTEx) portal and CAGE data generated by the FANTOM5 consortium. Consensus normalized expression levels for human tissues was created by combining the data from HPA and GTEx datasets.
The mRNA expression levels in pig are based on RNA-seq data generated by the Human Protein Atlas (HPA), and for mouse, HPA data and in situ hybridization generated by the Allen brain atlas are reported.
Scroll down to view mRNA expression data in more detail.
Antibody staining in the annotated cell types in the current human tissue is reported as not detected, low, medium, or high. This score is based on the staining intensity and fraction of stained cells.
RNA-Seq data generated by the Genotype-Tissue Expression (GTEx) project from human tissues is reported as mean nTPM. More information can be found on the GTEx portal.
Distribution across the dataset is visualized with box plots, shown as median and 25th and 75th percentiles. Points are displayed as outliers if they are above or below 1.5 times the interquartile range. nTPM values of the individual samples are presented next to the box plot.
Max nTPM: 130.5
Min nTPM: 21.5
Std nTPM: 12.4
Median nTPM: 35.3
GTEX-XMD1-0011-R11A-SM-4AT5J
60-69 years, male
130.5
GTEX-X585-0011-R11B-SM-46MUZ
50-59 years, male
104.9
GTEX-13NYS-0011-R11b-SM-5MR4P
60-69 years, male
85.5
GTEX-NL3H-0011-R11A-SM-2I3E6
60-69 years, male
81.8
GTEX-NPJ8-0011-R11A-SM-2YUMS
40-49 years, male
73.0
GTEX-11DZ1-0011-R11b-SM-DO11W
50-59 years, male
66.5
GTEX-X4XX-0011-R11A-SM-46MWQ
60-69 years, male
64.9
GTEX-ZF28-0011-R11a-SM-4WWEI
60-69 years, male
62.7
GTEX-13OW5-0011-R11b-SM-5L3GG
60-69 years, male
60.7
GTEX-14C5O-0011-R11b-SM-6872H
60-69 years, male
59.8
GTEX-X4EP-0011-R11B-SM-4QASK
60-69 years, female
59.4
GTEX-183WM-0011-R11a-SM-718A5
70-79 years, female
58.3
GTEX-12WSH-0011-R11a-SM-5LZVM
50-59 years, male
58.0
GTEX-1I19N-0011-R11b-SM-ARU6Y
70-79 years, male
57.8
GTEX-14BIM-0011-R11b-SM-5S2RN
60-69 years, female
57.2
GTEX-1ICLZ-0011-R11a-SM-CJI3N
60-69 years, male
55.6
GTEX-132Q8-0011-R11b-SM-5DUW9
60-69 years, male
53.8
GTEX-1F52S-0011-R11a-SM-CJI23
60-69 years, female
53.4
GTEX-UTHO-0011-R11A-SM-3GIJE
60-69 years, male
53.0
GTEX-1J1OQ-0011-R11a-SM-A96S3
40-49 years, female
52.3
GTEX-NPJ7-0011-R11A-SM-2I3E8
60-69 years, female
52.1
GTEX-15G19-0011-R11b-SM-6LPIH
60-69 years, male
51.8
GTEX-X261-0011-R11A-SM-4E3JY
50-59 years, male
50.8
GTEX-1LVAO-0011-R11b-SM-EXOI8
60-69 years, male
50.3
GTEX-16NPV-0011-R11a-SM-7IGMK
50-59 years, female
50.0
GTEX-1HB9E-0011-R11b-SM-ARU79
50-59 years, male
49.6
GTEX-WWYW-0011-R11A-SM-3NB38
50-59 years, female
48.8
GTEX-RVPV-0011-R11A-SM-2TF6F
60-69 years, male
47.5
GTEX-1IL2V-0011-R11a-SM-ARU6T
70-79 years, male
47.3
GTEX-12WSF-0011-R11a-SM-5LZVT
70-79 years, male
45.4
GTEX-11TTK-0011-R11b-SM-DO112
60-69 years, female
45.0
GTEX-13X6I-0011-R11a-SM-5P9HN
60-69 years, male
44.8
GTEX-R55E-0011-R11A-SM-2TC6I
20-29 years, male
44.7
GTEX-13OVH-0011-R11b-SM-5KM4X
70-79 years, male
43.4
GTEX-1H3VE-0011-R11b-SM-C1YRP
40-49 years, male
43.4
GTEX-1LKK1-0011-R11a-SM-EXOIG
50-59 years, female
43.3
GTEX-145MI-0011-R11a-SM-5P9JZ
60-69 years, female
43.1
GTEX-1A3MX-0011-R11b-SM-7DUGP
60-69 years, male
43.0
GTEX-NL4W-0011-R11A-SM-2I3DW
50-59 years, male
42.6
GTEX-ZE9C-0011-R11a-SM-4WKGG
60-69 years, male
42.6
GTEX-13NYB-0011-R11a-SM-5KM3Q
40-49 years, male
42.5
GTEX-13FTY-0011-R11a-SM-5IJEA
40-49 years, female
42.3
GTEX-15EO6-0011-R11b-SM-6M47M
50-59 years, male
42.2
GTEX-1HFI6-0011-R11b-SM-A96RU
40-49 years, male
42.2
GTEX-1F48J-0011-R11b-SM-9OSWV
50-59 years, female
42.1
GTEX-13QIC-0011-R11b-SM-5O9BU
60-69 years, female
42.0
GTEX-RU72-0011-R11A-SM-CM2U1
50-59 years, female
41.8
GTEX-1H3NZ-0011-R11b-SM-CE6SF
60-69 years, male
41.7
GTEX-11OF3-0011-R11a-SM-57WCR
60-69 years, male
41.5
GTEX-1HGF4-0011-R11a-SM-C1YRR
60-69 years, male
41.5
GTEX-13SLX-0011-R11b-SM-5O9C8
50-59 years, female
41.4
GTEX-131XH-0011-R11a-SM-5EGLN
50-59 years, male
41.2
GTEX-P44G-0011-R11A-SM-2I3FD
30-39 years, male
40.5
GTEX-18464-0011-R11a-SM-72D76
50-59 years, male
40.4
GTEX-TSE9-0011-R11A-SM-3DB7N
60-69 years, female
40.4
GTEX-13JVG-0011-R11a-SM-5KM53
60-69 years, male
40.3
GTEX-11EMC-0011-R11b-SM-DNZZK
60-69 years, female
40.3
GTEX-13JUV-0011-R11a-SM-5LZYH
40-49 years, female
40.1
GTEX-13S7M-0011-R11b-SM-5P9HU
60-69 years, female
40.1
GTEX-13VXU-0011-R11b-SM-5O9DJ
50-59 years, male
40.1
GTEX-YFC4-0011-R11a-SM-4SOK6
40-49 years, female
40.0
GTEX-12ZZX-0011-R11a-SM-5DUVJ
40-49 years, female
39.8
GTEX-13CZV-0011-R11b-SM-5N9FN
60-69 years, male
39.8
GTEX-QDT8-0011-R11A-SM-32PKD
30-39 years, female
39.7
GTEX-13N2G-0011-R11a-SM-5MR3F
60-69 years, male
39.6
GTEX-11GSP-0011-R11b-SM-5NQ7V
60-69 years, female
39.5
GTEX-13RTJ-0011-R11a-SM-5O9CK
60-69 years, male
39.5
GTEX-Z93S-0011-R11a-SM-4RGNN
50-59 years, male
39.5
GTEX-1M4P7-0011-R11b-SM-EXOIK
60-69 years, male
39.4
GTEX-13SLW-0011-R11a-SM-5SI8Q
70-79 years, male
39.2
GTEX-14BIN-0011-R11a-SM-5SI79
50-59 years, female
39.2
GTEX-13OW6-0011-R11a-SM-5L3H2
50-59 years, male
38.9
GTEX-ZAB4-0011-R11a-SM-4SOKI
40-49 years, male
38.9
GTEX-1E1VI-0011-R11a-SM-9OSWI
50-59 years, male
38.9
GTEX-17EVQ-0011-R11a-SM-7LT9C
70-79 years, male
38.7
GTEX-17F97-0011-R11b-SM-7KFRQ
50-59 years, male
38.6
GTEX-1I1GR-0011-R11a-SM-CM2T5
60-69 years, male
38.6
GTEX-13O3Q-0011-R11b-SM-5KM2W
50-59 years, male
38.3
GTEX-ZVT3-0011-R11b-SM-57WBI
60-69 years, female
38.1
GTEX-13FHO-0011-R11b-SM-5LZYQ
60-69 years, male
37.6
GTEX-1IKOH-0011-R11a-SM-AHZ38
60-69 years, female
37.6
GTEX-WVLH-0011-R11A-SM-3MJFO
50-59 years, male
37.5
GTEX-13OW8-0011-R11a-SM-5L3GT
60-69 years, male
37.3
GTEX-T6MN-0011-R11A-SM-32QOX
50-59 years, male
37.3
GTEX-1N2DW-0011-R11b-SM-EXOIL
50-59 years, male
37.2
GTEX-14DAQ-0011-R11a-SM-664NO
60-69 years, female
37.1
GTEX-1JMOU-0011-R11b-SM-EXUTA
60-69 years, female
37.1
GTEX-1GMR8-0011-R11b-SM-9OSX2
50-59 years, female
36.9
GTEX-1R9K4-0011-R11a-SM-EZ6N9
60-69 years, male
36.8
GTEX-13OVL-0011-R11b-SM-5L3G7
50-59 years, male
36.7
GTEX-1JMQJ-0011-R11a-SM-EXOJY
50-59 years, male
36.6
GTEX-15DYW-0011-R11a-SM-6LPIT
60-69 years, female
36.5
GTEX-13OVJ-0011-R11a-SM-5P9H8
50-59 years, female
36.4
GTEX-13FXS-0011-R11a-SM-5L3DM
50-59 years, male
36.3
GTEX-13NZA-0011-R11b-SM-5KM4W
60-69 years, male
36.3
GTEX-131YS-0011-R11b-SM-5EGLM
60-69 years, female
36.2
GTEX-16XZZ-0011-R11a-SM-7EPI3
60-69 years, male
36.1
GTEX-Q2AG-0011-R11A-SM-2HMKZ
40-49 years, female
36.1
GTEX-11DXY-0011-R11a-SM-DNZZN
60-69 years, male
36.1
GTEX-13PVQ-0011-R11a-SM-5O9DU
50-59 years, male
36.0
GTEX-15DCD-0011-R11a-SM-D4P1R
70-79 years, female
36.0
GTEX-1B8SF-0011-R11a-SM-79OOP
60-69 years, male
35.9
GTEX-T5JC-0011-R11A-SM-32PMB
20-29 years, male
35.7
GTEX-1C64N-0011-R11b-SM-7P8Q6
50-59 years, male
35.7
GTEX-13PLJ-0011-R11b-SM-5O9BS
60-69 years, female
35.6
GTEX-11EI6-0011-R11a-SM-DO11V
60-69 years, male
35.6
GTEX-145MH-0011-R11a-SM-5P9HQ
50-59 years, male
35.5
GTEX-13FHP-0011-R11b-SM-5LZXP
50-59 years, male
35.3
GTEX-145LU-0011-R11b-SM-5P9JX
50-59 years, male
35.3
GTEX-1N2EE-0011-R11b-SM-EXOIJ
60-69 years, male
35.0
GTEX-1I1HK-0011-R11a-SM-B2LVN
60-69 years, male
34.9
GTEX-1H4P4-0011-R11b-SM-CE6S8
50-59 years, male
34.8
GTEX-1IL2U-0011-R11a-SM-CE6SO
60-69 years, male
34.7
GTEX-1HUB1-0011-R11b-SM-CE6SC
60-69 years, male
34.6
GTEX-WL46-0011-R11A-SM-3MJFT
50-59 years, male
34.4
GTEX-1IKK5-0011-R11a-SM-C1YRX
60-69 years, male
34.1
GTEX-12WSI-0011-R11b-SM-5P9EZ
50-59 years, male
34.0
GTEX-14E6D-0011-R11b-SM-664NP
50-59 years, male
34.0
GTEX-1B8L1-0011-R11b-SM-793DJ
60-69 years, male
34.0
GTEX-N7MS-0011-R11A-SM-2HMJS
60-69 years, male
34.0
GTEX-1I1GV-0011-R11a-SM-CJI3Z
60-69 years, male
34.0
GTEX-11PRG-0011-R11b-SM-DNZZY
50-59 years, male
33.9
GTEX-139TT-0011-R11b-SM-5LZV1
60-69 years, male
33.8
GTEX-1BAJH-0011-R11b-SM-7IGLM
70-79 years, male
33.8
GTEX-WZTO-0011-R11A-SM-4E3K9
40-49 years, male
33.8
GTEX-11WQC-0011-R11b-SM-57WD6
60-69 years, male
33.7
GTEX-13CF2-0011-R11b-SM-5LZXO
60-69 years, male
33.7
GTEX-13OW7-0011-R11a-SM-5O9DY
50-59 years, male
33.7
GTEX-Y8DK-0011-R11A-SM-4SOK2
60-69 years, male
33.7
GTEX-1B933-0011-R11a-SM-7P8PM
50-59 years, female
33.7
GTEX-QMR6-0011-R11A-SM-32PKK
50-59 years, male
33.6
GTEX-1EMGI-0011-R11b-SM-9OSWX
60-69 years, male
33.5
GTEX-12WSE-0011-R11b-SM-5P9JW
20-29 years, male
33.4
GTEX-15ER7-0011-R11a-SM-6LPIL
20-29 years, female
33.4
GTEX-13X6K-0011-R11a-SM-5P9F5
60-69 years, female
33.2
GTEX-17JCI-0011-R11a-SM-7189Y
60-69 years, female
33.2
GTEX-1AX9I-0011-R11b-SM-7DHN4
60-69 years, male
33.0
GTEX-ZUA1-0011-R11b-SM-51MTI
40-49 years, male
33.0
GTEX-ZE7O-0011-R11a-SM-57WBC
50-59 years, female
32.9
GTEX-OHPN-0011-R11A-SM-2I5FM
60-69 years, female
32.6
GTEX-1J8EW-0011-R11a-SM-AHZ37
60-69 years, female
32.6
GTEX-12ZZZ-0011-R11a-SM-5EGLC
60-69 years, male
32.5
GTEX-17HII-0011-R11b-SM-7KFSX
50-59 years, male
32.5
GTEX-1J8Q2-0011-R11a-SM-A9SKI
60-69 years, male
32.5
GTEX-1KD4Q-0011-R11b-SM-EXOIE
40-49 years, male
32.5
GTEX-1H3O1-0011-R11a-SM-A96RV
60-69 years, male
32.4
GTEX-1I1GS-0011-R11a-SM-C1YRU
60-69 years, male
32.3
GTEX-1GZ4I-0011-R11b-SM-9OSWR
50-59 years, male
32.1
GTEX-1R9PO-0011-R11b-SM-EZ6NB
60-69 years, female
32.1
GTEX-1LG7Y-0011-R11a-SM-EXOIH
50-59 years, male
31.9
GTEX-12WSM-0011-R11a-SM-5DUX8
60-69 years, male
31.7
GTEX-1F75W-0011-R11b-SM-AHZ34
60-69 years, male
31.6
GTEX-11ZUS-0011-R11b-SM-5BC7B
30-39 years, male
31.5
GTEX-14ABY-0011-R11a-SM-5SI7C
50-59 years, male
31.5
GTEX-1F75A-0011-R11a-SM-AHZ35
50-59 years, male
31.4
GTEX-14PN4-0011-R11a-SM-686ZW
50-59 years, male
31.3
GTEX-11DYG-0011-R11a-SM-DNZZP
60-69 years, male
31.3
GTEX-1399T-0011-R11a-SM-5J2O1
60-69 years, male
31.2
GTEX-1H1CY-0011-R11a-SM-C1YQR
60-69 years, female
31.2
GTEX-T2IS-0011-R11A-SM-32QPC
20-29 years, female
31.1
GTEX-ZVZQ-0011-R11a-SM-51MS6
60-69 years, female
31.1
GTEX-1GMRU-0011-R11b-SM-C1YQ4
50-59 years, male
30.9
GTEX-1HSKV-0011-R11b-SM-AHZ2E
60-69 years, male
30.9
GTEX-1IGQW-0011-R11a-SM-C1YRV
60-69 years, male
30.9
GTEX-17EVP-0011-R11a-SM-7EWDL
40-49 years, male
30.8
GTEX-1GTWX-0011-R11b-SM-C1YQJ
60-69 years, male
30.8
GTEX-12126-0011-R11a-SM-5BC6X
20-29 years, male
30.6
GTEX-1F7RK-0011-R11b-SM-9QEI2
20-29 years, female
30.6
GTEX-1H1ZS-0011-R11a-SM-C1YQM
70-79 years, male
30.5
GTEX-15CHQ-0011-R11b-SM-686ZZ
60-69 years, male
30.4
GTEX-17HG3-0011-R11b-SM-7KFT4
30-39 years, female
30.4
GTEX-11H98-0011-R11b-SM-5NQ6U
50-59 years, male
30.3
GTEX-P44H-0011-R11A-SM-2XCER
40-49 years, male
30.3
GTEX-YJ89-0011-R11a-SM-4SOKA
60-69 years, male
30.3
GTEX-1H1DG-0011-R11a-SM-C1YQK
70-79 years, male
30.3
GTEX-13G51-0011-R11b-SM-5J2NE
60-69 years, male
30.2
GTEX-14ASI-0011-R11b-SM-6AJBJ
60-69 years, male
30.1
GTEX-1IDJH-0011-R11b-SM-C1YRT
70-79 years, male
30.1
GTEX-16YQH-0011-R11b-SM-7LT98
30-39 years, male
30.0
GTEX-1I1GQ-0011-R11b-SM-CKZPA
50-59 years, male
29.9
GTEX-16GPK-0011-R11b-SM-7MKFF
60-69 years, male
29.8
GTEX-11ZTS-0011-R11a-SM-DO113
60-69 years, female
29.7
GTEX-18465-0011-R11a-SM-72D78
50-59 years, male
29.6
GTEX-ZDXO-0011-R11a-SM-4WWD9
60-69 years, male
29.6
GTEX-1GZHY-0011-R11a-SM-C1YRQ
50-59 years, female
29.6
GTEX-13FLV-0011-R11a-SM-5LZZ7
50-59 years, male
29.4
GTEX-1GF9W-0011-R11b-SM-9OSXG
60-69 years, male
29.4
GTEX-1HBPI-0011-R11b-SM-CE6SH
50-59 years, male
29.1
GTEX-N7MT-0011-R11A-SM-2I3DZ
60-69 years, female
29.0
GTEX-1CAV2-0011-R11a-SM-ARU8D
40-49 years, female
29.0
GTEX-1LSVX-0011-R11b-SM-EXOIA
60-69 years, male
29.0
GTEX-S7SE-0011-R11A-SM-2XCDD
50-59 years, male
28.9
GTEX-1313W-0011-R11a-SM-5DUXN
50-59 years, female
28.8
GTEX-12WSD-0011-R11a-SM-9OSVC
60-69 years, female
28.8
GTEX-144GL-0011-R11b-SM-5P9F6
50-59 years, male
28.6
GTEX-1JJ6O-0011-R11b-SM-EXUS2
60-69 years, male
28.4
GTEX-14C39-0011-R11b-SM-5YYAF
40-49 years, male
28.3
GTEX-1IY9M-0011-R11b-SM-A96TI
60-69 years, male
28.1
GTEX-131XW-0011-R11a-SM-5DUV9
50-59 years, female
27.9
GTEX-1F6I4-0011-R11b-SM-9OSWS
60-69 years, male
27.9
GTEX-1IOXB-0011-R11a-SM-A9G1X
50-59 years, male
27.6
GTEX-13O3O-0011-R11b-SM-5KM4G
60-69 years, female
27.5
GTEX-13X6J-0011-R11a-SM-5P9HE
50-59 years, male
27.5
GTEX-1HCU6-0011-R11b-SM-AHZ2F
60-69 years, female
27.3
GTEX-1JJEA-0011-R11a-SM-EXUTE
60-69 years, male
27.3
GTEX-1B8SG-0011-R11a-SM-7P8PF
50-59 years, male
26.9
GTEX-18A6Q-0011-R11a-SM-72D6H
60-69 years, male
26.6
GTEX-1EKGG-0011-R11a-SM-9QEHZ
60-69 years, male
26.6
GTEX-WHSE-0011-R11A-SM-3P5YY
20-29 years, male
26.0
GTEX-14E7W-0011-R11a-SM-5ZZVA
70-79 years, male
25.0
GTEX-16Z82-0011-R11a-SM-79OKJ
60-69 years, male
23.9
GTEX-1CB4G-0011-R11a-SM-9OSWG
60-69 years, male
23.7
GTEX-139UW-0011-R11a-SM-5IJGN
60-69 years, male
23.2
GTEX-12WSC-0011-R11a-SM-5GU5J
50-59 years, male
22.7
GTEX-1GN73-0011-R11b-SM-9OSX4
60-69 years, male
21.5
Show allShow less
Brain - Cerebellum Average nTPM: 34.3
Samples: 241
Max nTPM: 89.5
Min nTPM: 20.2
Std nTPM: 8.5
Median nTPM: 32.2
GTEX-XMD1-2826-SM-4AT5F
60-69 years, male
89.5
GTEX-12WSH-3126-SM-5LZW8
50-59 years, male
60.3
GTEX-11DZ1-2926-SM-5A5KI
50-59 years, male
60.1
GTEX-NPJ8-2626-SM-2D7W2
40-49 years, male
59.5
GTEX-1HSMO-2926-SM-C1YR5
60-69 years, male
59.0
GTEX-1CB4H-3026-SM-79OLX
60-69 years, female
57.5
GTEX-QVJO-1325-SM-2S1QX
60-69 years, female
57.2
GTEX-X4XX-2926-SM-3NMB1
60-69 years, male
56.9
GTEX-1F52S-3026-SM-7P8PV
60-69 years, female
55.2
GTEX-ZF28-2926-SM-4WKG1
60-69 years, male
54.3
GTEX-X4EP-3026-SM-3P5YP
60-69 years, female
53.8
GTEX-183WM-2726-SM-7KFRF
70-79 years, female
52.7
GTEX-15G19-2826-SM-6M48K
60-69 years, male
52.2
GTEX-132Q8-2926-SM-5IFFP
60-69 years, male
51.3
GTEX-14BIM-3126-SM-5Q5C7
60-69 years, female
50.8
GTEX-11O72-2826-SM-5HL6W
40-49 years, male
50.1
GTEX-ZAJG-3026-SM-5HL92
50-59 years, female
50.1
GTEX-UTHO-2926-SM-3P5Z9
60-69 years, male
49.2
GTEX-14C5O-2926-SM-5RQI1
60-69 years, male
48.4
GTEX-131XH-2926-SM-5LZU4
50-59 years, male
47.5
GTEX-1JN1M-3126-SM-AHZ4E
60-69 years, female
47.2
GTEX-WWYW-3026-SM-3NB36
50-59 years, female
46.7
GTEX-1H3NZ-2926-SM-9WPQ8
60-69 years, male
45.7
GTEX-ZYFD-2926-SM-5GID9
50-59 years, male
45.5
GTEX-15EO6-2926-SM-6M48D
50-59 years, male
45.3
GTEX-1IL2V-3026-SM-CYPSA
70-79 years, male
45.2
GTEX-13X6I-2926-SM-5Q5C3
60-69 years, male
44.5
GTEX-X261-3126-SM-4PQZC
50-59 years, male
44.3
GTEX-1128S-2826-SM-5N9DI
60-69 years, female
44.0
GTEX-NPJ7-2826-SM-2I3FU
60-69 years, female
44.0
GTEX-1J1OQ-3126-SM-D4P2O
40-49 years, female
43.6
GTEX-PWO3-1026-SM-2I5F2
60-69 years, female
42.9
GTEX-13JUV-3026-SM-5K7WX
40-49 years, female
42.7
GTEX-17F97-2926-SM-7DUEQ
50-59 years, male
42.7
GTEX-1JMQK-2926-SM-D4P2T
60-69 years, male
42.7
GTEX-13OW5-3126-SM-5MR3Y
60-69 years, male
42.6
GTEX-1GZ2Q-3026-SM-9JGG3
40-49 years, male
42.0
GTEX-17EVQ-2726-SM-7EWDT
70-79 years, male
41.4
GTEX-145LS-3026-SM-5O99S
60-69 years, female
40.7
GTEX-RU72-2926-SM-2TF66
50-59 years, female
40.5
GTEX-13OVH-2926-SM-5IJFH
70-79 years, male
40.4
GTEX-1192X-3226-SM-5987D
50-59 years, male
40.3
GTEX-1P4AB-3026-SM-EXOJS
50-59 years, male
40.2
GTEX-1B933-3026-SM-731DB
50-59 years, female
39.3
GTEX-1JMOU-2826-SM-EV79R
60-69 years, female
39.1
GTEX-1A8G7-3026-SM-73KTT
60-69 years, male
39.0
GTEX-RNOR-2226-SM-2TF5O
50-59 years, female
38.5
GTEX-ZZPT-2926-SM-5EQ5S
50-59 years, male
38.2
GTEX-11NV4-2226-SM-5BC4T
60-69 years, male
37.9
GTEX-13PVQ-2926-SM-5L3HJ
50-59 years, male
37.9
GTEX-Q2AG-2826-SM-2HMJQ
40-49 years, female
37.8
GTEX-QDT8-3026-SM-32PKB
30-39 years, female
37.6
GTEX-ZYY3-3026-SM-5GIEJ
60-69 years, female
37.6
GTEX-R55E-2526-SM-2TC6H
20-29 years, male
37.5
GTEX-12ZZY-2926-SM-5DUXO
60-69 years, male
37.4
GTEX-1JJE9-3026-SM-CNNPA
70-79 years, male
37.4
GTEX-13SLX-3226-SM-5YYA6
50-59 years, female
37.2
GTEX-139TS-3126-SM-5LZWX
60-69 years, male
36.9
GTEX-1RNSC-3126-SM-EVR4V
60-69 years, male
36.9
GTEX-13N2G-3126-SM-5IJGL
60-69 years, male
36.8
GTEX-12ZZX-2826-SM-5BC6K
40-49 years, female
36.6
GTEX-13QIC-3026-SM-5LU58
60-69 years, female
36.6
GTEX-YFC4-3026-SM-5IFJK
40-49 years, female
36.6
GTEX-13JVG-3226-SM-5IJGJ
60-69 years, male
36.5
GTEX-14ASI-2926-SM-5Q5DG
60-69 years, male
36.1
GTEX-13NYB-3226-SM-5J2ND
40-49 years, male
36.0
GTEX-11TTK-2826-SM-5GU5K
60-69 years, female
35.9
GTEX-Z93S-2826-SM-57WBL
50-59 years, male
35.8
GTEX-1IKOH-2826-SM-CNNRC
60-69 years, female
35.8
GTEX-13S7M-3026-SM-5S2QQ
60-69 years, female
35.6
GTEX-145MF-2826-SM-7EPGU
50-59 years, male
35.5
GTEX-14BIN-3326-SM-5Q5E6
50-59 years, female
35.5
GTEX-117XS-3126-SM-5GIDP
60-69 years, male
35.4
GTEX-1C6VR-3026-SM-7IGLW
60-69 years, male
35.4
GTEX-N7MT-1226-SM-DKPOK
60-69 years, female
35.4
GTEX-13OW6-2926-SM-5KM29
50-59 years, male
35.1
GTEX-1A3MX-2926-SM-718B7
60-69 years, male
34.8
GTEX-T5JC-2326-SM-32PMR
20-29 years, male
34.8
GTEX-1F48J-2726-SM-7P8PW
50-59 years, female
34.7
GTEX-1R9PO-2826-SM-E6CPV
60-69 years, female
34.7
GTEX-13X6J-2926-SM-7EPGP
50-59 years, male
34.6
GTEX-1JMLX-3026-SM-EV79Q
50-59 years, male
34.6
GTEX-1EU9M-2926-SM-793DF
60-69 years, male
34.4
GTEX-11DXY-3126-SM-5N9BT
60-69 years, male
34.2
GTEX-13O3Q-3026-SM-5IJGD
50-59 years, male
34.2
GTEX-XLM4-2926-SM-4AT59
60-69 years, male
34.0
GTEX-12WSC-2926-SM-5BC5Z
50-59 years, male
33.9
GTEX-1LG7Y-3126-SM-EV7AS
50-59 years, male
33.9
GTEX-13FHO-2926-SM-5L3ES
60-69 years, male
33.8
GTEX-TSE9-2926-SM-3DB77
60-69 years, female
33.8
GTEX-13OW8-2926-SM-5L3FV
60-69 years, male
33.7
GTEX-ZVT3-2926-SM-5GU6M
60-69 years, female
33.7
GTEX-T6MN-2526-SM-32PMN
50-59 years, male
33.6
GTEX-13X6K-2826-SM-5O9DS
60-69 years, female
33.5
GTEX-11EMC-3326-SM-5P9JH
60-69 years, female
33.4
GTEX-11GSO-3026-SM-5Q5AL
60-69 years, male
33.4
GTEX-1A8G6-3126-SM-731D8
60-69 years, male
33.4
GTEX-QVUS-2926-SM-3GIJB
60-69 years, female
33.4
GTEX-12ZZZ-3126-SM-5LZU6
60-69 years, male
33.3
GTEX-147GR-3126-SM-5S2PM
60-69 years, male
33.2
GTEX-1EX96-3126-SM-9JGGC
50-59 years, male
33.2
GTEX-1HB9E-3126-SM-AHZ4M
50-59 years, male
33.1
GTEX-11EI6-2926-SM-5985U
60-69 years, male
33.0
GTEX-1MJK2-3026-SM-EV7A5
50-59 years, male
33.0
GTEX-1H4P4-2726-SM-9JGGB
50-59 years, male
32.9
GTEX-1I1CD-2926-SM-A96SJ
60-69 years, female
32.9
GTEX-13FXS-3026-SM-5LZYO
50-59 years, male
32.8
GTEX-14JIY-2326-SM-6AJAJ
60-69 years, male
32.8
GTEX-1JMQJ-3126-SM-EV79G
50-59 years, male
32.8
GTEX-1R46S-3126-SM-DPRZ9
60-69 years, female
32.8
GTEX-1B8SF-3026-SM-731DX
60-69 years, male
32.7
GTEX-131YS-3026-SM-5EGHY
60-69 years, female
32.6
GTEX-11ONC-3026-SM-5985W
60-69 years, male
32.5
GTEX-145LU-2626-SM-5LU9Z
50-59 years, male
32.4
GTEX-14PN4-3026-SM-664O4
50-59 years, male
32.4
GTEX-11PRG-2826-SM-5BC54
50-59 years, male
32.3
GTEX-1E1VI-2926-SM-7IGLT
50-59 years, male
32.3
GTEX-ZAB4-2926-SM-57WCV
40-49 years, male
32.3
GTEX-1H1DG-2826-SM-9JGHB
70-79 years, male
32.3
GTEX-14BMV-2926-SM-5TDEE
50-59 years, male
32.2
GTEX-PVOW-2626-SM-32PL8
40-49 years, male
32.2
GTEX-11ZVC-3026-SM-59HJM
50-59 years, female
32.1
GTEX-12126-0926-SM-5FQTW
20-29 years, male
32.0
GTEX-1C64N-3126-SM-79OO3
50-59 years, male
32.0
GTEX-13VXU-3026-SM-5LU3K
50-59 years, male
31.9
GTEX-P44G-2526-SM-2I5EK
30-39 years, male
31.9
GTEX-1F6IF-3026-SM-7P8QN
60-69 years, male
31.9
GTEX-11DXW-1026-SM-5H11K
40-49 years, male
31.8
GTEX-145MH-2926-SM-5Q5D2
50-59 years, male
31.8
GTEX-1B8L1-3226-SM-7P8OX
60-69 years, male
31.7
GTEX-1HBPH-3026-SM-9WPNY
40-49 years, female
31.7
GTEX-1QEPI-3026-SM-EXOIW
60-69 years, female
31.6
GTEX-1C6WA-3326-SM-7MKGN
60-69 years, male
31.5
GTEX-11GSP-3126-SM-5A5LL
60-69 years, female
31.4
GTEX-17HHY-2926-SM-79OJW
50-59 years, male
31.4
GTEX-11DYG-2926-SM-5H132
60-69 years, male
31.2
GTEX-11ZUS-2826-SM-5EQKW
30-39 years, male
31.2
GTEX-YJ89-2926-SM-5P9IT
60-69 years, male
31.2
GTEX-1EMGI-3126-SM-7MXUR
60-69 years, male
31.2
GTEX-1F75A-2926-SM-7MXVN
50-59 years, male
31.2
GTEX-14DAQ-3026-SM-5S2QZ
60-69 years, female
31.1
GTEX-17JCI-3026-SM-7EWDR
60-69 years, female
31.1
GTEX-1F75W-3126-SM-7P8SJ
60-69 years, male
31.0
GTEX-1GTWX-2926-SM-7MXV4
60-69 years, male
31.0
GTEX-13CF2-3026-SM-5IFFX
60-69 years, male
30.9
GTEX-14E6D-2926-SM-664OP
50-59 years, male
30.9
GTEX-WL46-2826-SM-3LK81
50-59 years, male
30.9
GTEX-145MG-3126-SM-5Q5D3
50-59 years, male
30.8
GTEX-1H3VE-2826-SM-9WPOL
40-49 years, male
30.8
GTEX-1JMPZ-2826-SM-C1YRA
30-39 years, male
30.8
GTEX-111FC-3326-SM-5GZYV
60-69 years, male
30.7
GTEX-1313W-3026-SM-5LZUZ
50-59 years, female
30.4
GTEX-13RTJ-3126-SM-5S2Q4
60-69 years, male
30.4
GTEX-13FHP-2926-SM-5IJG9
50-59 years, male
30.3
GTEX-1HCVE-2926-SM-9WPPJ
50-59 years, male
30.2
GTEX-1I1GV-3026-SM-CNNR9
60-69 years, male
30.2
GTEX-1JJEA-2926-SM-C1YSK
60-69 years, male
30.2
GTEX-14E7W-2926-SM-5S2R8
70-79 years, male
30.1
GTEX-14JFF-2826-SM-6871Q
60-69 years, male
30.1
GTEX-1GZ4I-2926-SM-9JGGO
50-59 years, male
30.1
GTEX-14ABY-3026-SM-664NE
50-59 years, male
30.0
GTEX-1399T-3126-SM-5IJFS
60-69 years, male
29.9
GTEX-N7MS-2526-SM-2D7W3
60-69 years, male
29.9
GTEX-ZUA1-2926-SM-59HL3
40-49 years, male
29.9
GTEX-1HSKV-2926-SM-B2LWJ
60-69 years, male
29.9
GTEX-1IY9M-3126-SM-AHZ3A
60-69 years, male
29.9
GTEX-16YQH-2926-SM-6LPJE
30-39 years, male
29.8
GTEX-13G51-3126-SM-5IJG7
60-69 years, male
29.7
GTEX-14A5I-2826-SM-5SIBF
50-59 years, female
29.7
GTEX-14C39-3026-SM-5S2QE
40-49 years, male
29.7
GTEX-12WSD-3026-SM-5LZU7
60-69 years, female
29.6
GTEX-WZTO-2826-SM-3NM8P
40-49 years, male
29.6
GTEX-Y8DK-0726-SM-4TT3S
60-69 years, male
29.6
GTEX-ZAK1-2926-SM-5HL9S
50-59 years, female
29.6
GTEX-1EH9U-3126-SM-7MXU5
60-69 years, male
29.6
GTEX-1JJ6O-3026-SM-C1YQH
60-69 years, male
29.6
GTEX-16Z82-2926-SM-6LPJJ
60-69 years, male
29.4
GTEX-17EVP-2926-SM-793BU
40-49 years, male
29.4
GTEX-Y111-2826-SM-4TT3O
50-59 years, male
29.4
GTEX-1I1HK-2726-SM-AHZ2M
60-69 years, male
29.2
GTEX-11OC5-0626-SM-5HL6M
60-69 years, male
29.1
GTEX-139TT-2626-SM-5LZUB
60-69 years, male
29.1
GTEX-18A6Q-2826-SM-7LTAO
60-69 years, male
29.1
GTEX-1KD4Q-3026-SM-EV7A7
40-49 years, male
29.1
GTEX-OHPN-2626-SM-2I5H1
60-69 years, female
29.0
GTEX-1PIIG-2826-SM-DTX7O
30-39 years, male
28.9
GTEX-T2IS-2926-SM-32QPO
20-29 years, female
28.8
GTEX-1B8SG-1926-SM-73KUB
50-59 years, male
28.7
GTEX-1QP6S-3026-SM-EAZ4N
40-49 years, male
28.7
GTEX-12WSM-2126-SM-5GCOC
60-69 years, male
28.6
GTEX-13OVJ-2726-SM-5IJG6
50-59 years, female
28.6
GTEX-11ZTS-3226-SM-5EGID
60-69 years, female
28.4
GTEX-1NV8Z-3026-SM-DTX8Z
60-69 years, male
28.3
GTEX-14PJO-2926-SM-686ZI
60-69 years, male
28.2
GTEX-WVLH-2926-SM-3MJG5
50-59 years, male
28.2
GTEX-1HBPI-2726-SM-9WPPF
50-59 years, male
28.2
GTEX-1IDJH-3126-SM-C1YQS
70-79 years, male
28.2
GTEX-147F4-3026-SM-5Q5BJ
50-59 years, male
28.1
GTEX-15ER7-3026-SM-6M47W
20-29 years, female
28.1
GTEX-QMR6-1326-SM-32PLB
50-59 years, male
28.1
GTEX-11NUK-3026-SM-5986K
50-59 years, male
28.0
GTEX-1H1CY-3026-SM-9OSW7
60-69 years, female
28.0
GTEX-1H3O1-1826-SM-A96TO
60-69 years, male
28.0
GTEX-144GL-2926-SM-5O99F
50-59 years, male
27.9
GTEX-ZDXO-2926-SM-4WKFM
60-69 years, male
27.9
GTEX-17HII-2926-SM-79OMK
50-59 years, male
27.8
GTEX-1GF9V-3026-SM-7P8R8
60-69 years, male
27.7
GTEX-13112-2926-SM-5DUWT
50-59 years, male
27.6
GTEX-15SHU-3026-SM-6LPIB
40-49 years, female
27.6
GTEX-1KANB-3226-SM-D4P3G
50-59 years, male
27.6
GTEX-13OVL-3026-SM-5IJF1
50-59 years, male
27.5
GTEX-13OW7-2926-SM-5MR3Z
50-59 years, male
27.5
GTEX-1BAJH-3126-SM-7MGXY
70-79 years, male
27.3
GTEX-1GZHY-3026-SM-7MXVA
50-59 years, female
27.3
GTEX-12WSE-2926-SM-5RQJ9
20-29 years, male
27.0
GTEX-17HG3-2826-SM-7EPGO
30-39 years, female
26.8
GTEX-1H1ZS-2926-SM-9WPP2
70-79 years, male
26.7
GTEX-14JG1-2926-SM-686ZK
40-49 years, male
26.6
GTEX-1EWIQ-3026-SM-7IGOJ
70-79 years, female
26.5
GTEX-1GF9W-2726-SM-9JGGW
60-69 years, male
26.5
GTEX-1POEN-2726-SM-E9U6B
30-39 years, female
26.5
GTEX-15DYW-3026-SM-7KFRM
60-69 years, female
26.1
GTEX-S7SE-2526-SM-2XCDL
50-59 years, male
25.9
GTEX-1F6I4-3026-SM-7P8SI
60-69 years, male
25.9
GTEX-1EKGG-3126-SM-9WPO5
60-69 years, male
25.8
GTEX-1KWVE-2226-SM-CXZKN
30-39 years, male
25.7
GTEX-1CB4G-2926-SM-7MKFQ
60-69 years, male
25.5
GTEX-1E2YA-2926-SM-7MGWX
50-59 years, male
25.4
GTEX-16XZZ-2926-SM-6LPK4
60-69 years, male
25.2
GTEX-1RQEC-3026-SM-DPRXM
60-69 years, male
25.0
GTEX-14PJM-3026-SM-6LLHM
50-59 years, female
24.9
GTEX-1LSVX-2826-SM-EVR58
60-69 years, male
24.8
GTEX-1PWST-3026-SM-EAZ3H
70-79 years, male
24.6
GTEX-1B996-2926-SM-7MXUH
60-69 years, male
24.2
GTEX-1269C-3126-SM-5EGI6
60-69 years, female
24.0
GTEX-18465-2926-SM-7KFSE
50-59 years, male
23.8
GTEX-1RDX4-3226-SM-DPS14
50-59 years, female
23.4
GTEX-13O3O-3026-SM-5KM42
60-69 years, female
23.3
GTEX-P44H-2426-SM-2XCEJ
40-49 years, male
23.2
GTEX-1GN73-3026-SM-7MXV8
60-69 years, male
21.3
GTEX-WHSE-2926-SM-3NMBG
20-29 years, male
20.2
Show allShow less
CEREBELLUM - FANTOM5 CAGEi
RNA expression in human tissues obtained through Cap Analysis of Gene Expression (CAGE) generated by the FANTOM5 project are reported as Scaled Tags Per Million.
Normal distribution across the dataset is visualized with box plots, shown as median and 25th and 75th percentiles. Points are displayed as outliers if they are above or below 1.5 times the interquartile range. nTPM values of the individual samples are presented next to the box plot.
Normal distribution across the dataset is visualized with box plots, shown as median and 25th and 75th percentiles. Points are displayed as outliers if they are above or below 1.5 times the interquartile range. nTPM values of the individual samples are presented next to the box plot.
In situ hybridization (ISH) data generated by the Allen brain atlas from mouse brain is reported as expression energy. For more details about a particular experiment, click on the corresponding Allen experiment ID.