We use cookies to enhance the usability of our website. If you continue, we'll assume that you are happy to receive all cookies. More information. Don't show this again.
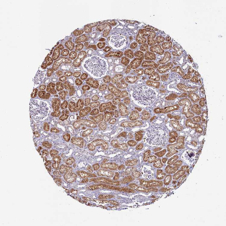
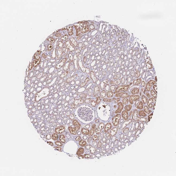
On the top, protein expression in current human tissue, based on all annotated cell types, is reported with the units not detected (n), low (l), medium (m) and high (h). Underneath, protein expression in each annotated cell type are reported using the same units.
Protein expression data is based on knowledge-based annotation. For genes where more than one antibody has been used, a collective score is set.
If knowledge-based annotation could not be performed for a gene, no data is displayed here. View antibody staining data further down this page.
A summary of mRNA expression data available for current tissue based on several datasets. The mRNA expression levels in human tissues are based on RNA-seq data generated by the Human Protein Atlas (HPA), Genotype-Tissue Expression (GTEx) portal and CAGE data generated by the FANTOM5 consortium. Consensus normalized expression levels for human tissues was created by combining the data from HPA and GTEx datasets.
The mRNA expression levels in pig are based on RNA-seq data generated by the Human Protein Atlas (HPA), and for mouse, HPA data and in situ hybridization generated by the Allen brain atlas are reported.
Scroll down to view mRNA expression data in more detail.
Antibody staining in the annotated cell types in the current human tissue is reported as not detected, low, medium, or high. This score is based on the staining intensity and fraction of stained cells.
The RNA-seq details section shows detailed information about the individual samples used for the transcript profiling and results of the RNA-seq analysis.
Information about each individual sample is listed below, including gender, age, a tissue section image and estimated fractions of cell types. nTPM (normalized transcripts per million) values give a quantification of the gene abundance which is comparable between different genes and samples.
RNA-Seq data generated by the Genotype-Tissue Expression (GTEx) project from human tissues is reported as mean nTPM. More information can be found on the GTEx portal.
Distribution across the dataset is visualized with box plots, shown as median and 25th and 75th percentiles. Points are displayed as outliers if they are above or below 1.5 times the interquartile range. nTPM values of the individual samples are presented next to the box plot.
Max nTPM: 15.4
Min nTPM: 4.5
Std nTPM: 2.1
Median nTPM: 8.2
GTEX-RN64-1626-SM-48FD7
50-59 years, male
15.4
GTEX-QLQW-1626-SM-CMKFE
30-39 years, male
14.0
GTEX-ZE9C-1426-SM-4WKGM
60-69 years, male
13.8
GTEX-1N2EF-1426-SM-EXUSH
60-69 years, male
13.2
GTEX-12696-0926-SM-5FQTV
60-69 years, male
12.9
GTEX-ZVZP-0926-SM-5GIDB
50-59 years, male
12.2
GTEX-12WSG-0826-SM-5EQ5A
50-59 years, female
12.1
GTEX-1AX8Z-2326-SM-731CR
60-69 years, male
12.1
GTEX-1OJC4-2326-SM-DTXA5
50-59 years, female
11.3
GTEX-1I1GP-1926-SM-CNNQU
50-59 years, male
11.1
GTEX-13O1R-2526-SM-5N9FW
60-69 years, male
11.0
GTEX-11TTK-1926-SM-5PNW8
60-69 years, female
10.9
GTEX-145MN-0326-SM-5QGQI
30-39 years, male
10.8
GTEX-1497J-0826-SM-5NQAJ
60-69 years, male
10.7
GTEX-13OVI-1126-SM-5KLZF
60-69 years, female
10.6
GTEX-1BAJH-1826-SM-731DA
70-79 years, male
10.6
GTEX-ZYFG-1626-SM-5GZYY
60-69 years, female
10.6
GTEX-XPVG-0526-SM-4B65N
50-59 years, male
10.5
GTEX-1399S-0526-SM-5IJG8
30-39 years, female
10.3
GTEX-1JMLX-1526-SM-AHZ3N
50-59 years, male
10.3
GTEX-1IKK5-0926-SM-A9G2U
60-69 years, male
10.2
GTEX-147F4-2626-SM-5Q5CS
50-59 years, male
10.1
GTEX-1K9T9-1826-SM-CXZK2
50-59 years, female
10.0
GTEX-1H3VY-1926-SM-9JGHJ
50-59 years, male
9.9
GTEX-T5JC-1526-SM-4DM68
20-29 years, male
9.7
GTEX-13112-2126-SM-5GCO4
50-59 years, male
9.6
GTEX-1IL2V-1826-SM-ARU7R
70-79 years, male
9.6
GTEX-16MT8-1926-SM-7EPGL
60-69 years, female
9.1
GTEX-1H3NZ-2126-SM-9WPQ6
60-69 years, male
9.0
GTEX-1JMQK-1926-SM-CJI3B
60-69 years, male
9.0
GTEX-1N2DW-1826-SM-EAZ54
50-59 years, male
9.0
GTEX-P4QS-1126-SM-3NMD5
60-69 years, male
8.8
GTEX-1GMR3-2426-SM-7MXV2
40-49 years, male
8.8
GTEX-1GF9W-1326-SM-7P8PX
60-69 years, male
8.7
GTEX-13OVL-1826-SM-5KLZR
50-59 years, male
8.6
GTEX-15DYW-2026-SM-6AJBD
60-69 years, female
8.6
GTEX-Y5V6-2026-SM-5IFHO
60-69 years, male
8.5
GTEX-ZDXO-0226-SM-4WKH7
60-69 years, male
8.5
GTEX-14C39-2126-SM-664OH
40-49 years, male
8.4
GTEX-1GF9V-1926-SM-9JGHE
60-69 years, male
8.4
GTEX-1PWST-2226-SM-EVR3G
70-79 years, male
8.3
GTEX-1R9PO-1626-SM-E6CPT
60-69 years, female
8.3
GTEX-11GS4-2326-SM-5A5KS
60-69 years, male
8.2
GTEX-1J1OQ-1426-SM-AHZ3P
40-49 years, female
8.2
GTEX-ZYT6-2226-SM-5GIC9
30-39 years, male
8.1
GTEX-1F48J-2226-SM-7MXTN
50-59 years, female
8.1
GTEX-1HBPI-2026-SM-CE6RZ
50-59 years, male
8.1
GTEX-17F97-1926-SM-7IGM4
50-59 years, male
8.0
GTEX-1A3MW-2226-SM-73KUX
60-69 years, female
7.9
GTEX-1HB9E-1826-SM-D4P33
50-59 years, male
7.9
GTEX-1JMQJ-1726-SM-E9U4V
50-59 years, male
7.9
GTEX-1MUQO-2526-SM-E9TJN
60-69 years, male
7.9
GTEX-T6MN-1826-SM-EXOHN
50-59 years, male
7.9
GTEX-ZC5H-1726-SM-5HL7X
40-49 years, female
7.8
GTEX-1KWVE-0826-SM-CXZKO
30-39 years, male
7.8
GTEX-Y5V5-1226-SM-EYYVP
60-69 years, female
7.7
GTEX-O5YV-1226-SM-EV795
60-69 years, female
7.6
GTEX-REY6-1826-SM-EAZAT
60-69 years, male
7.6
GTEX-13NYB-1726-SM-5N9G2
40-49 years, male
7.5
GTEX-1JJ6O-2526-SM-AHZ3J
60-69 years, male
7.5
GTEX-1LG7Y-2726-SM-D5OVW
50-59 years, male
7.5
GTEX-QDT8-1726-SM-EYYV6
30-39 years, female
7.3
GTEX-S33H-1426-SM-EZ6L7
30-39 years, male
7.0
GTEX-1A8FM-2026-SM-7P8RN
50-59 years, female
6.9
GTEX-1GTWX-1826-SM-9QEHG
60-69 years, male
6.8
GTEX-1HCU7-1826-SM-A9G2A
50-59 years, male
6.8
GTEX-13RTJ-2226-SM-5S2Q1
60-69 years, male
6.7
GTEX-ZLFU-0926-SM-5P9F8
40-49 years, male
6.7
GTEX-17HHY-2326-SM-7KFSR
50-59 years, male
6.6
GTEX-1EKGG-2226-SM-7IGOA
60-69 years, male
6.5
GTEX-17F96-1926-SM-7MGWY
70-79 years, male
6.5
GTEX-1CB4J-1926-SM-7MGX8
60-69 years, male
6.5
GTEX-QDVN-1626-SM-48TZC
50-59 years, male
6.4
GTEX-1GN1U-2126-SM-AHZ4J
50-59 years, female
6.4
GTEX-14E6D-2526-SM-5YYA9
50-59 years, male
6.3
GTEX-1C6VQ-2326-SM-7IGN1
50-59 years, male
6.3
GTEX-1E2YA-1626-SM-7MGXS
50-59 years, male
6.2
GTEX-1JMPZ-1226-SM-ARU8Y
30-39 years, male
6.2
GTEX-15CHQ-2126-SM-6871M
60-69 years, male
6.1
GTEX-1NV8Z-2226-SM-EXOJ2
60-69 years, male
6.1
GTEX-13OW6-1826-SM-5N9F9
50-59 years, male
5.8
GTEX-NPJ8-2226-SM-3TW8D
40-49 years, male
5.8
GTEX-14C5O-2026-SM-5YYB1
60-69 years, male
5.3
GTEX-11OF3-1326-SM-5N9FJ
60-69 years, male
4.8
GTEX-1QP6S-1526-SM-EXUSG
40-49 years, male
4.5
Show allShow less
Kidney - Medulla Average nTPM: 8.0
Samples: 4
Max nTPM: 11.8
Min nTPM: 3.1
Std nTPM: 3.3
Median nTPM: 8.5
GTEX-R55E-2026-SM-EZ6L1
20-29 years, male
11.8
GTEX-T5JC-1626-SM-EZ6KW
20-29 years, male
10.2
GTEX-TKQ2-0626-SM-EZ6LB
50-59 years, male
6.8
GTEX-RU72-1926-SM-EAZ3F
50-59 years, female
3.1
KIDNEY - FANTOM5 CAGEi
RNA expression in human tissues obtained through Cap Analysis of Gene Expression (CAGE) generated by the FANTOM5 project are reported as Scaled Tags Per Million.