We use cookies to enhance the usability of our website. If you continue, we'll assume that you are happy to receive all cookies. More information. Don't show this again.
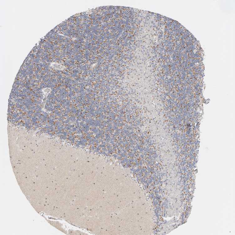
On the top, protein expression in current human tissue, based on all annotated cell types, is reported with the units not detected (n), low (l), medium (m) and high (h). Underneath, protein expression in each annotated cell type are reported using the same units.
Protein expression data is based on knowledge-based annotation. For genes where more than one antibody has been used, a collective score is set.
If knowledge-based annotation could not be performed for a gene, no data is displayed here. View antibody staining data further down this page.
A summary of mRNA expression data available for current tissue based on several datasets. The mRNA expression levels in human tissues are based on RNA-seq data generated by the Human Protein Atlas (HPA), Genotype-Tissue Expression (GTEx) portal and CAGE data generated by the FANTOM5 consortium. Consensus normalized expression levels for human tissues was created by combining the data from HPA and GTEx datasets.
The mRNA expression levels in pig are based on RNA-seq data generated by the Human Protein Atlas (HPA), and for mouse, HPA data and in situ hybridization generated by the Allen brain atlas are reported.
Scroll down to view mRNA expression data in more detail.
Antibody staining in the annotated cell types in the current human tissue is reported as not detected, low, medium, or high. This score is based on the staining intensity and fraction of stained cells.
RNA-Seq data generated by the Genotype-Tissue Expression (GTEx) project from human tissues is reported as mean nTPM. More information can be found on the GTEx portal.
Distribution across the dataset is visualized with box plots, shown as median and 25th and 75th percentiles. Points are displayed as outliers if they are above or below 1.5 times the interquartile range. nTPM values of the individual samples are presented next to the box plot.
Max nTPM: 11.2
Min nTPM: 1.9
Std nTPM: 1.3
Median nTPM: 5.9
GTEX-NL3H-0011-R11A-SM-2I3E6
60-69 years, male
11.2
GTEX-XMD1-0011-R11A-SM-4AT5J
60-69 years, male
10.3
GTEX-UTHO-0011-R11A-SM-3GIJE
60-69 years, male
9.7
GTEX-183WM-0011-R11a-SM-718A5
70-79 years, female
9.4
GTEX-TSE9-0011-R11A-SM-3DB7N
60-69 years, female
9.0
GTEX-11DZ1-0011-R11b-SM-DO11W
50-59 years, male
9.0
GTEX-X585-0011-R11B-SM-46MUZ
50-59 years, male
8.7
GTEX-QDT8-0011-R11A-SM-32PKD
30-39 years, female
8.6
GTEX-X4XX-0011-R11A-SM-46MWQ
60-69 years, male
8.5
GTEX-11GSP-0011-R11b-SM-5NQ7V
60-69 years, female
8.3
GTEX-1H1ZS-0011-R11a-SM-C1YQM
70-79 years, male
8.3
GTEX-T5JC-0011-R11A-SM-32PMB
20-29 years, male
8.1
GTEX-1R9PO-0011-R11b-SM-EZ6NB
60-69 years, female
8.1
GTEX-13S7M-0011-R11b-SM-5P9HU
60-69 years, female
8.0
GTEX-OHPN-0011-R11A-SM-2I5FM
60-69 years, female
8.0
GTEX-1HB9E-0011-R11b-SM-ARU79
50-59 years, male
8.0
GTEX-1JMQJ-0011-R11a-SM-EXOJY
50-59 years, male
8.0
GTEX-RU72-0011-R11A-SM-CM2U1
50-59 years, female
7.9
GTEX-1I1HK-0011-R11a-SM-B2LVN
60-69 years, male
7.8
GTEX-1ICLZ-0011-R11a-SM-CJI3N
60-69 years, male
7.8
GTEX-P44H-0011-R11A-SM-2XCER
40-49 years, male
7.5
GTEX-13OW7-0011-R11a-SM-5O9DY
50-59 years, male
7.4
GTEX-NL4W-0011-R11A-SM-2I3DW
50-59 years, male
7.4
GTEX-1GZHY-0011-R11a-SM-C1YRQ
50-59 years, female
7.4
GTEX-1IKK5-0011-R11a-SM-C1YRX
60-69 years, male
7.4
GTEX-1N2DW-0011-R11b-SM-EXOIL
50-59 years, male
7.4
GTEX-R55E-0011-R11A-SM-2TC6I
20-29 years, male
7.3
GTEX-1F52S-0011-R11a-SM-CJI23
60-69 years, female
7.3
GTEX-11ZUS-0011-R11b-SM-5BC7B
30-39 years, male
7.2
GTEX-12WSF-0011-R11a-SM-5LZVT
70-79 years, male
7.2
GTEX-1399T-0011-R11a-SM-5J2O1
60-69 years, male
7.2
GTEX-17F97-0011-R11b-SM-7KFRQ
50-59 years, male
7.2
GTEX-17HG3-0011-R11b-SM-7KFT4
30-39 years, female
7.2
GTEX-P44G-0011-R11A-SM-2I3FD
30-39 years, male
7.2
GTEX-1H3NZ-0011-R11b-SM-CE6SF
60-69 years, male
7.1
GTEX-1I19N-0011-R11b-SM-ARU6Y
70-79 years, male
7.0
GTEX-1I1GR-0011-R11a-SM-CM2T5
60-69 years, male
7.0
GTEX-1I1GS-0011-R11a-SM-C1YRU
60-69 years, male
7.0
GTEX-Z93S-0011-R11a-SM-4RGNN
50-59 years, male
6.9
GTEX-ZDXO-0011-R11a-SM-4WWD9
60-69 years, male
6.9
GTEX-1IKOH-0011-R11a-SM-AHZ38
60-69 years, female
6.9
GTEX-1JMOU-0011-R11b-SM-EXUTA
60-69 years, female
6.9
GTEX-13FTY-0011-R11a-SM-5IJEA
40-49 years, female
6.8
GTEX-1B8L1-0011-R11b-SM-793DJ
60-69 years, male
6.8
GTEX-ZAB4-0011-R11a-SM-4SOKI
40-49 years, male
6.8
GTEX-1LVAO-0011-R11b-SM-EXOI8
60-69 years, male
6.8
GTEX-1BAJH-0011-R11b-SM-7IGLM
70-79 years, male
6.7
GTEX-QMR6-0011-R11A-SM-32PKK
50-59 years, male
6.7
GTEX-S7SE-0011-R11A-SM-2XCDD
50-59 years, male
6.7
GTEX-WZTO-0011-R11A-SM-4E3K9
40-49 years, male
6.7
GTEX-1F75A-0011-R11a-SM-AHZ35
50-59 years, male
6.7
GTEX-1H3VE-0011-R11b-SM-C1YRP
40-49 years, male
6.7
GTEX-11OF3-0011-R11a-SM-57WCR
60-69 years, male
6.6
GTEX-13OVJ-0011-R11a-SM-5P9H8
50-59 years, female
6.6
GTEX-13X6I-0011-R11a-SM-5P9HN
60-69 years, male
6.6
GTEX-14ABY-0011-R11a-SM-5SI7C
50-59 years, male
6.6
GTEX-YFC4-0011-R11a-SM-4SOK6
40-49 years, female
6.6
GTEX-11DXY-0011-R11a-SM-DNZZN
60-69 years, male
6.6
GTEX-11TTK-0011-R11b-SM-DO112
60-69 years, female
6.6
GTEX-16NPV-0011-R11a-SM-7IGMK
50-59 years, female
6.6
GTEX-1F48J-0011-R11b-SM-9OSWV
50-59 years, female
6.6
GTEX-1GTWX-0011-R11b-SM-C1YQJ
60-69 years, male
6.6
GTEX-1IL2V-0011-R11a-SM-ARU6T
70-79 years, male
6.6
GTEX-1LSVX-0011-R11b-SM-EXOIA
60-69 years, male
6.6
GTEX-1E1VI-0011-R11a-SM-9OSWI
50-59 years, male
6.5
GTEX-1EMGI-0011-R11b-SM-9OSWX
60-69 years, male
6.5
GTEX-1GMRU-0011-R11b-SM-C1YQ4
50-59 years, male
6.5
GTEX-13NZA-0011-R11b-SM-5KM4W
60-69 years, male
6.4
GTEX-13OW8-0011-R11a-SM-5L3GT
60-69 years, male
6.4
GTEX-13QIC-0011-R11b-SM-5O9BU
60-69 years, female
6.4
GTEX-15CHQ-0011-R11b-SM-686ZZ
60-69 years, male
6.4
GTEX-15G19-0011-R11b-SM-6LPIH
60-69 years, male
6.4
GTEX-16GPK-0011-R11b-SM-7MKFF
60-69 years, male
6.4
GTEX-ZVZQ-0011-R11a-SM-51MS6
60-69 years, female
6.4
GTEX-12ZZZ-0011-R11a-SM-5EGLC
60-69 years, male
6.3
GTEX-131YS-0011-R11b-SM-5EGLM
60-69 years, female
6.3
GTEX-13O3O-0011-R11b-SM-5KM4G
60-69 years, female
6.3
GTEX-N7MS-0011-R11A-SM-2HMJS
60-69 years, male
6.3
GTEX-ZE9C-0011-R11a-SM-4WKGG
60-69 years, male
6.3
GTEX-1EKGG-0011-R11a-SM-9QEHZ
60-69 years, male
6.3
GTEX-1I1GQ-0011-R11b-SM-CKZPA
50-59 years, male
6.3
GTEX-13NYS-0011-R11b-SM-5MR4P
60-69 years, male
6.2
GTEX-18464-0011-R11a-SM-72D76
50-59 years, male
6.2
GTEX-WVLH-0011-R11A-SM-3MJFO
50-59 years, male
6.2
GTEX-15DCD-0011-R11a-SM-D4P1R
70-79 years, female
6.2
GTEX-1313W-0011-R11a-SM-5DUXN
50-59 years, female
6.1
GTEX-13RTJ-0011-R11a-SM-5O9CK
60-69 years, male
6.1
GTEX-13SLX-0011-R11b-SM-5O9C8
50-59 years, female
6.1
GTEX-14BIM-0011-R11b-SM-5S2RN
60-69 years, female
6.1
GTEX-YJ89-0011-R11a-SM-4SOKA
60-69 years, male
6.1
GTEX-1H3O1-0011-R11a-SM-A96RV
60-69 years, male
6.1
GTEX-12ZZX-0011-R11a-SM-5DUVJ
40-49 years, female
6.0
GTEX-13OVH-0011-R11b-SM-5KM4X
70-79 years, male
6.0
GTEX-13VXU-0011-R11b-SM-5O9DJ
50-59 years, male
6.0
GTEX-144GL-0011-R11b-SM-5P9F6
50-59 years, male
6.0
GTEX-15ER7-0011-R11a-SM-6LPIL
20-29 years, female
6.0
GTEX-16YQH-0011-R11b-SM-7LT98
30-39 years, male
6.0
GTEX-NPJ7-0011-R11A-SM-2I3E8
60-69 years, female
6.0
GTEX-RVPV-0011-R11A-SM-2TF6F
60-69 years, male
6.0
GTEX-X4EP-0011-R11B-SM-4QASK
60-69 years, female
6.0
GTEX-11ZTS-0011-R11a-SM-DO113
60-69 years, female
6.0
GTEX-12WSM-0011-R11a-SM-5DUX8
60-69 years, male
5.9
GTEX-13CZV-0011-R11b-SM-5N9FN
60-69 years, male
5.9
GTEX-13G51-0011-R11b-SM-5J2NE
60-69 years, male
5.9
GTEX-145MI-0011-R11a-SM-5P9JZ
60-69 years, female
5.9
GTEX-T2IS-0011-R11A-SM-32QPC
20-29 years, female
5.9
GTEX-WWYW-0011-R11A-SM-3NB38
50-59 years, female
5.9
GTEX-1H4P4-0011-R11b-SM-CE6S8
50-59 years, male
5.9
GTEX-1HCU6-0011-R11b-SM-AHZ2F
60-69 years, female
5.9
GTEX-1M4P7-0011-R11b-SM-EXOIK
60-69 years, male
5.9
GTEX-11H98-0011-R11b-SM-5NQ6U
50-59 years, male
5.8
GTEX-12WSH-0011-R11a-SM-5LZVM
50-59 years, male
5.8
GTEX-139TT-0011-R11b-SM-5LZV1
60-69 years, male
5.8
GTEX-13FHP-0011-R11b-SM-5LZXP
50-59 years, male
5.8
GTEX-14BIN-0011-R11a-SM-5SI79
50-59 years, female
5.8
GTEX-1B8SF-0011-R11a-SM-79OOP
60-69 years, male
5.8
GTEX-Y8DK-0011-R11A-SM-4SOK2
60-69 years, male
5.8
GTEX-1F75W-0011-R11b-SM-AHZ34
60-69 years, male
5.8
GTEX-1J1OQ-0011-R11a-SM-A96S3
40-49 years, female
5.8
GTEX-13PLJ-0011-R11b-SM-5O9BS
60-69 years, female
5.7
GTEX-18465-0011-R11a-SM-72D78
50-59 years, male
5.7
GTEX-NPJ8-0011-R11A-SM-2YUMS
40-49 years, male
5.7
GTEX-1CB4G-0011-R11a-SM-9OSWG
60-69 years, male
5.7
GTEX-1HSKV-0011-R11b-SM-AHZ2E
60-69 years, male
5.7
GTEX-1IL2U-0011-R11a-SM-CE6SO
60-69 years, male
5.7
GTEX-12WSI-0011-R11b-SM-5P9EZ
50-59 years, male
5.6
GTEX-132Q8-0011-R11b-SM-5DUW9
60-69 years, male
5.6
GTEX-13CF2-0011-R11b-SM-5LZXO
60-69 years, male
5.6
GTEX-13SLW-0011-R11a-SM-5SI8Q
70-79 years, male
5.6
GTEX-14C5O-0011-R11b-SM-6872H
60-69 years, male
5.6
GTEX-14E6D-0011-R11b-SM-664NP
50-59 years, male
5.6
GTEX-17JCI-0011-R11a-SM-7189Y
60-69 years, female
5.6
GTEX-1H1CY-0011-R11a-SM-C1YQR
60-69 years, female
5.6
GTEX-12WSE-0011-R11b-SM-5P9JW
20-29 years, male
5.5
GTEX-18A6Q-0011-R11a-SM-72D6H
60-69 years, male
5.5
GTEX-X261-0011-R11A-SM-4E3JY
50-59 years, male
5.5
GTEX-ZF28-0011-R11a-SM-4WWEI
60-69 years, male
5.5
GTEX-ZUA1-0011-R11b-SM-51MTI
40-49 years, male
5.5
GTEX-11DYG-0011-R11a-SM-DNZZP
60-69 years, male
5.5
GTEX-1F7RK-0011-R11b-SM-9QEI2
20-29 years, female
5.5
GTEX-1IGQW-0011-R11a-SM-C1YRV
60-69 years, male
5.5
GTEX-1IY9M-0011-R11b-SM-A96TI
60-69 years, male
5.5
GTEX-1JJEA-0011-R11a-SM-EXUTE
60-69 years, male
5.5
GTEX-13O3Q-0011-R11b-SM-5KM2W
50-59 years, male
5.4
GTEX-13X6J-0011-R11a-SM-5P9HE
50-59 years, male
5.4
GTEX-15EO6-0011-R11b-SM-6M47M
50-59 years, male
5.4
GTEX-Q2AG-0011-R11A-SM-2HMKZ
40-49 years, female
5.4
GTEX-1IDJH-0011-R11b-SM-C1YRT
70-79 years, male
5.4
GTEX-1J8EW-0011-R11a-SM-AHZ37
60-69 years, female
5.4
GTEX-1J8Q2-0011-R11a-SM-A9SKI
60-69 years, male
5.4
GTEX-1JJ6O-0011-R11b-SM-EXUS2
60-69 years, male
5.4
GTEX-1C64N-0011-R11b-SM-7P8Q6
50-59 years, male
5.3
GTEX-12WSC-0011-R11a-SM-5GU5J
50-59 years, male
5.2
GTEX-145MH-0011-R11a-SM-5P9HQ
50-59 years, male
5.2
GTEX-16Z82-0011-R11a-SM-79OKJ
60-69 years, male
5.2
GTEX-17EVQ-0011-R11a-SM-7LT9C
70-79 years, male
5.2
GTEX-T6MN-0011-R11A-SM-32QOX
50-59 years, male
5.2
GTEX-WL46-0011-R11A-SM-3MJFT
50-59 years, male
5.2
GTEX-11EI6-0011-R11a-SM-DO11V
60-69 years, male
5.2
GTEX-1B933-0011-R11a-SM-7P8PM
50-59 years, female
5.2
GTEX-1GF9W-0011-R11b-SM-9OSXG
60-69 years, male
5.2
GTEX-1HBPI-0011-R11b-SM-CE6SH
50-59 years, male
5.2
GTEX-1I1GV-0011-R11a-SM-CJI3Z
60-69 years, male
5.2
GTEX-13N2G-0011-R11a-SM-5MR3F
60-69 years, male
5.1
GTEX-13OVL-0011-R11b-SM-5L3G7
50-59 years, male
5.1
GTEX-13OW5-0011-R11b-SM-5L3GG
60-69 years, male
5.1
GTEX-14ASI-0011-R11b-SM-6AJBJ
60-69 years, male
5.1
GTEX-14E7W-0011-R11a-SM-5ZZVA
70-79 years, male
5.1
GTEX-14PN4-0011-R11a-SM-686ZW
50-59 years, male
5.1
GTEX-17HII-0011-R11b-SM-7KFSX
50-59 years, male
5.1
GTEX-1GZ4I-0011-R11b-SM-9OSWR
50-59 years, male
5.1
GTEX-1HUB1-0011-R11b-SM-CE6SC
60-69 years, male
5.1
GTEX-13PVQ-0011-R11a-SM-5O9DU
50-59 years, male
5.0
GTEX-ZVT3-0011-R11b-SM-57WBI
60-69 years, female
5.0
GTEX-1F6I4-0011-R11b-SM-9OSWS
60-69 years, male
5.0
GTEX-1GMR8-0011-R11b-SM-9OSX2
50-59 years, female
5.0
GTEX-1AX9I-0011-R11b-SM-7DHN4
60-69 years, male
4.9
GTEX-1HFI6-0011-R11b-SM-A96RU
40-49 years, male
4.9
GTEX-1N2EE-0011-R11b-SM-EXOIJ
60-69 years, male
4.9
GTEX-11PRG-0011-R11b-SM-DNZZY
50-59 years, male
4.8
GTEX-1KD4Q-0011-R11b-SM-EXOIE
40-49 years, male
4.8
GTEX-1LG7Y-0011-R11a-SM-EXOIH
50-59 years, male
4.8
GTEX-13JVG-0011-R11a-SM-5KM53
60-69 years, male
4.7
GTEX-13X6K-0011-R11a-SM-5P9F5
60-69 years, female
4.7
GTEX-17EVP-0011-R11a-SM-7EWDL
40-49 years, male
4.7
GTEX-14DAQ-0011-R11a-SM-664NO
60-69 years, female
4.6
GTEX-1A3MX-0011-R11b-SM-7DUGP
60-69 years, male
4.6
GTEX-1HGF4-0011-R11a-SM-C1YRR
60-69 years, male
4.6
GTEX-11WQC-0011-R11b-SM-57WD6
60-69 years, male
4.5
GTEX-145LU-0011-R11b-SM-5P9JX
50-59 years, male
4.5
GTEX-ZE7O-0011-R11a-SM-57WBC
50-59 years, female
4.5
GTEX-1H1DG-0011-R11a-SM-C1YQK
70-79 years, male
4.5
GTEX-1IOXB-0011-R11a-SM-A9G1X
50-59 years, male
4.4
GTEX-1R9K4-0011-R11a-SM-EZ6N9
60-69 years, male
4.4
GTEX-13FLV-0011-R11a-SM-5LZZ7
50-59 years, male
4.3
GTEX-12WSD-0011-R11a-SM-9OSVC
60-69 years, female
4.3
GTEX-1CAV2-0011-R11a-SM-ARU8D
40-49 years, female
4.3
GTEX-13FXS-0011-R11a-SM-5L3DM
50-59 years, male
4.2
GTEX-11EMC-0011-R11b-SM-DNZZK
60-69 years, female
4.2
GTEX-1LKK1-0011-R11a-SM-EXOIG
50-59 years, female
4.0
GTEX-13FHO-0011-R11b-SM-5LZYQ
60-69 years, male
3.9
GTEX-12126-0011-R11a-SM-5BC6X
20-29 years, male
3.8
GTEX-131XW-0011-R11a-SM-5DUV9
50-59 years, female
3.8
GTEX-13JUV-0011-R11a-SM-5LZYH
40-49 years, female
3.8
GTEX-WHSE-0011-R11A-SM-3P5YY
20-29 years, male
3.8
GTEX-1B8SG-0011-R11a-SM-7P8PF
50-59 years, male
3.8
GTEX-131XH-0011-R11a-SM-5EGLN
50-59 years, male
3.7
GTEX-1GN73-0011-R11b-SM-9OSX4
60-69 years, male
3.6
GTEX-13OW6-0011-R11a-SM-5L3H2
50-59 years, male
3.5
GTEX-13NYB-0011-R11a-SM-5KM3Q
40-49 years, male
3.2
GTEX-14C39-0011-R11b-SM-5YYAF
40-49 years, male
3.2
GTEX-15DYW-0011-R11a-SM-6LPIT
60-69 years, female
3.1
GTEX-139UW-0011-R11a-SM-5IJGN
60-69 years, male
3.0
GTEX-16XZZ-0011-R11a-SM-7EPI3
60-69 years, male
2.5
GTEX-N7MT-0011-R11A-SM-2I3DZ
60-69 years, female
1.9
Show allShow less
Brain - Cerebellum Average nTPM: 5.7
Samples: 241
Max nTPM: 12.2
Min nTPM: 1.8
Std nTPM: 1.3
Median nTPM: 5.5
GTEX-ZZPT-2926-SM-5EQ5S
50-59 years, male
12.2
GTEX-183WM-2726-SM-7KFRF
70-79 years, female
11.4
GTEX-QVJO-1325-SM-2S1QX
60-69 years, female
9.6
GTEX-T5JC-2326-SM-32PMR
20-29 years, male
9.5
GTEX-1P4AB-3026-SM-EXOJS
50-59 years, male
9.5
GTEX-QDT8-3026-SM-32PKB
30-39 years, female
8.7
GTEX-QVUS-2926-SM-3GIJB
60-69 years, female
8.7
GTEX-OHPN-2626-SM-2I5H1
60-69 years, female
8.6
GTEX-13X6J-2926-SM-7EPGP
50-59 years, male
8.5
GTEX-PVOW-2626-SM-32PL8
40-49 years, male
8.4
GTEX-1CB4H-3026-SM-79OLX
60-69 years, female
8.1
GTEX-1F52S-3026-SM-7P8PV
60-69 years, female
8.1
GTEX-X4XX-2926-SM-3NMB1
60-69 years, male
8.0
GTEX-11DZ1-2926-SM-5A5KI
50-59 years, male
7.8
GTEX-XMD1-2826-SM-4AT5F
60-69 years, male
7.8
GTEX-1H3NZ-2926-SM-9WPQ8
60-69 years, male
7.8
GTEX-1JN1M-3126-SM-AHZ4E
60-69 years, female
7.8
GTEX-QMR6-1326-SM-32PLB
50-59 years, male
7.7
GTEX-1JMOU-2826-SM-EV79R
60-69 years, female
7.7
GTEX-14C5O-2926-SM-5RQI1
60-69 years, male
7.6
GTEX-TSE9-2926-SM-3DB77
60-69 years, female
7.6
GTEX-13OW8-2926-SM-5L3FV
60-69 years, male
7.5
GTEX-14BIM-3126-SM-5Q5C7
60-69 years, female
7.4
GTEX-1JMQK-2926-SM-D4P2T
60-69 years, male
7.4
GTEX-13X6I-2926-SM-5Q5C3
60-69 years, male
7.3
GTEX-1IL2V-3026-SM-CYPSA
70-79 years, male
7.3
GTEX-1J1OQ-3126-SM-D4P2O
40-49 years, female
7.3
GTEX-1JMQJ-3126-SM-EV79G
50-59 years, male
7.3
GTEX-17HHY-2926-SM-79OJW
50-59 years, male
7.2
GTEX-1F75W-3126-SM-7P8SJ
60-69 years, male
7.2
GTEX-1HSMO-2926-SM-C1YR5
60-69 years, male
7.1
GTEX-1I1HK-2726-SM-AHZ2M
60-69 years, male
7.1
GTEX-1A8G6-3126-SM-731D8
60-69 years, male
7.0
GTEX-UTHO-2926-SM-3P5Z9
60-69 years, male
7.0
GTEX-13S7M-3026-SM-5S2QQ
60-69 years, female
6.9
GTEX-18A6Q-2826-SM-7LTAO
60-69 years, male
6.9
GTEX-P44H-2426-SM-2XCEJ
40-49 years, male
6.9
GTEX-1R9PO-2826-SM-E6CPV
60-69 years, female
6.9
GTEX-13OW7-2926-SM-5MR3Z
50-59 years, male
6.8
GTEX-1C6WA-3326-SM-7MKGN
60-69 years, male
6.8
GTEX-T2IS-2926-SM-32QPO
20-29 years, female
6.8
GTEX-Z93S-2826-SM-57WBL
50-59 years, male
6.8
GTEX-1R46S-3126-SM-DPRZ9
60-69 years, female
6.8
GTEX-11ZUS-2826-SM-5EQKW
30-39 years, male
6.7
GTEX-13VXU-3026-SM-5LU3K
50-59 years, male
6.7
GTEX-1HBPH-3026-SM-9WPNY
40-49 years, female
6.7
GTEX-1IY9M-3126-SM-AHZ3A
60-69 years, male
6.7
GTEX-14PJM-3026-SM-6LLHM
50-59 years, female
6.6
GTEX-15EO6-2926-SM-6M48D
50-59 years, male
6.6
GTEX-1JJEA-2926-SM-C1YSK
60-69 years, male
6.6
GTEX-1MJK2-3026-SM-EV7A5
50-59 years, male
6.6
GTEX-1POEN-2726-SM-E9U6B
30-39 years, female
6.6
GTEX-1RDX4-3226-SM-DPS14
50-59 years, female
6.6
GTEX-11GSP-3126-SM-5A5LL
60-69 years, female
6.5
GTEX-13QIC-3026-SM-5LU58
60-69 years, female
6.5
GTEX-14BIN-3326-SM-5Q5E6
50-59 years, female
6.5
GTEX-1C6VR-3026-SM-7IGLW
60-69 years, male
6.5
GTEX-Y8DK-0726-SM-4TT3S
60-69 years, male
6.5
GTEX-1HCVE-2926-SM-9WPPJ
50-59 years, male
6.5
GTEX-N7MT-1226-SM-DKPOK
60-69 years, female
6.5
GTEX-15G19-2826-SM-6M48K
60-69 years, male
6.4
GTEX-ZAK1-2926-SM-5HL9S
50-59 years, female
6.4
GTEX-1KWVE-2226-SM-CXZKN
30-39 years, male
6.4
GTEX-12ZZX-2826-SM-5BC6K
40-49 years, female
6.3
GTEX-1CB4G-2926-SM-7MKFQ
60-69 years, male
6.3
GTEX-1EX96-3126-SM-9JGGC
50-59 years, male
6.3
GTEX-12WSH-3126-SM-5LZW8
50-59 years, male
6.2
GTEX-13O3Q-3026-SM-5IJGD
50-59 years, male
6.2
GTEX-18465-2926-SM-7KFSE
50-59 years, male
6.2
GTEX-1B933-3026-SM-731DB
50-59 years, female
6.2
GTEX-1EU9M-2926-SM-793DF
60-69 years, male
6.2
GTEX-X261-3126-SM-4PQZC
50-59 years, male
6.2
GTEX-1B8L1-3226-SM-7P8OX
60-69 years, male
6.2
GTEX-1H3O1-1826-SM-A96TO
60-69 years, male
6.2
GTEX-1H4P4-2726-SM-9JGGB
50-59 years, male
6.2
GTEX-117XS-3126-SM-5GIDP
60-69 years, male
6.1
GTEX-139TT-2626-SM-5LZUB
60-69 years, male
6.1
GTEX-P44G-2526-SM-2I5EK
30-39 years, male
6.1
GTEX-1EMGI-3126-SM-7MXUR
60-69 years, male
6.1
GTEX-1GZ2Q-3026-SM-9JGG3
40-49 years, male
6.1
GTEX-1GZHY-3026-SM-7MXVA
50-59 years, female
6.1
GTEX-1JJ6O-3026-SM-C1YQH
60-69 years, male
6.1
GTEX-1QP6S-3026-SM-EAZ4N
40-49 years, male
6.1
GTEX-131YS-3026-SM-5EGHY
60-69 years, female
6.0
GTEX-NPJ7-2826-SM-2I3FU
60-69 years, female
6.0
GTEX-1I1GV-3026-SM-CNNR9
60-69 years, male
6.0
GTEX-11PRG-2826-SM-5BC54
50-59 years, male
5.9
GTEX-13JUV-3026-SM-5K7WX
40-49 years, female
5.9
GTEX-13O3O-3026-SM-5KM42
60-69 years, female
5.9
GTEX-16YQH-2926-SM-6LPJE
30-39 years, male
5.9
GTEX-17EVP-2926-SM-793BU
40-49 years, male
5.9
GTEX-PWO3-1026-SM-2I5F2
60-69 years, female
5.9
GTEX-12WSC-2926-SM-5BC5Z
50-59 years, male
5.8
GTEX-12ZZY-2926-SM-5DUXO
60-69 years, male
5.8
GTEX-1313W-3026-SM-5LZUZ
50-59 years, female
5.8
GTEX-1399T-3126-SM-5IJFS
60-69 years, male
5.8
GTEX-13SLX-3226-SM-5YYA6
50-59 years, female
5.8
GTEX-145MH-2926-SM-5Q5D2
50-59 years, male
5.8
GTEX-Q2AG-2826-SM-2HMJQ
40-49 years, female
5.8
GTEX-1BAJH-3126-SM-7MGXY
70-79 years, male
5.8
GTEX-1EKGG-3126-SM-9WPO5
60-69 years, male
5.8
GTEX-1IDJH-3126-SM-C1YQS
70-79 years, male
5.8
GTEX-1QEPI-3026-SM-EXOIW
60-69 years, female
5.8
GTEX-11DXY-3126-SM-5N9BT
60-69 years, male
5.7
GTEX-11TTK-2826-SM-5GU5K
60-69 years, female
5.7
GTEX-132Q8-2926-SM-5IFFP
60-69 years, male
5.7
GTEX-14PN4-3026-SM-664O4
50-59 years, male
5.7
GTEX-ZF28-2926-SM-4WKG1
60-69 years, male
5.7
GTEX-1F48J-2726-SM-7P8PW
50-59 years, female
5.7
GTEX-1F75A-2926-SM-7MXVN
50-59 years, male
5.7
GTEX-11NV4-2226-SM-5BC4T
60-69 years, male
5.6
GTEX-14JFF-2826-SM-6871Q
60-69 years, male
5.6
GTEX-15ER7-3026-SM-6M47W
20-29 years, female
5.6
GTEX-NPJ8-2626-SM-2D7W2
40-49 years, male
5.6
GTEX-RU72-2926-SM-2TF66
50-59 years, female
5.6
GTEX-ZUA1-2926-SM-59HL3
40-49 years, male
5.6
GTEX-1LSVX-2826-SM-EVR58
60-69 years, male
5.6
GTEX-1NV8Z-3026-SM-DTX8Z
60-69 years, male
5.6
GTEX-11DYG-2926-SM-5H132
60-69 years, male
5.5
GTEX-12ZZZ-3126-SM-5LZU6
60-69 years, male
5.5
GTEX-14JIY-2326-SM-6AJAJ
60-69 years, male
5.5
GTEX-1A8G7-3026-SM-73KTT
60-69 years, male
5.5
GTEX-1B8SG-1926-SM-73KUB
50-59 years, male
5.5
GTEX-WVLH-2926-SM-3MJG5
50-59 years, male
5.5
GTEX-WZTO-2826-SM-3NM8P
40-49 years, male
5.5
GTEX-ZAB4-2926-SM-57WCV
40-49 years, male
5.5
GTEX-ZAJG-3026-SM-5HL92
50-59 years, female
5.5
GTEX-1H1ZS-2926-SM-9WPP2
70-79 years, male
5.5
GTEX-1128S-2826-SM-5N9DI
60-69 years, female
5.4
GTEX-11ONC-3026-SM-5985W
60-69 years, male
5.4
GTEX-16Z82-2926-SM-6LPJJ
60-69 years, male
5.4
GTEX-Y111-2826-SM-4TT3O
50-59 years, male
5.4
GTEX-1HBPI-2726-SM-9WPPF
50-59 years, male
5.4
GTEX-1PIIG-2826-SM-DTX7O
30-39 years, male
5.4
GTEX-1192X-3226-SM-5987D
50-59 years, male
5.3
GTEX-11NUK-3026-SM-5986K
50-59 years, male
5.3
GTEX-139TS-3126-SM-5LZWX
60-69 years, male
5.3
GTEX-14E7W-2926-SM-5S2R8
70-79 years, male
5.3
GTEX-17EVQ-2726-SM-7EWDT
70-79 years, male
5.3
GTEX-1E1VI-2926-SM-7IGLT
50-59 years, male
5.3
GTEX-11O72-2826-SM-5HL6W
40-49 years, male
5.2
GTEX-12WSE-2926-SM-5RQJ9
20-29 years, male
5.2
GTEX-13G51-3126-SM-5IJG7
60-69 years, male
5.2
GTEX-13RTJ-3126-SM-5S2Q4
60-69 years, male
5.2
GTEX-14E6D-2926-SM-664OP
50-59 years, male
5.2
GTEX-17HG3-2826-SM-7EPGO
30-39 years, female
5.2
GTEX-N7MS-2526-SM-2D7W3
60-69 years, male
5.2
GTEX-YFC4-3026-SM-5IFJK
40-49 years, female
5.2
GTEX-1B996-2926-SM-7MXUH
60-69 years, male
5.2
GTEX-1GZ4I-2926-SM-9JGGO
50-59 years, male
5.2
GTEX-1H1CY-3026-SM-9OSW7
60-69 years, female
5.2
GTEX-1HSKV-2926-SM-B2LWJ
60-69 years, male
5.2
GTEX-13112-2926-SM-5DUWT
50-59 years, male
5.1
GTEX-13FHP-2926-SM-5IJG9
50-59 years, male
5.1
GTEX-13OVJ-2726-SM-5IJG6
50-59 years, female
5.1
GTEX-13X6K-2826-SM-5O9DS
60-69 years, female
5.1
GTEX-147F4-3026-SM-5Q5BJ
50-59 years, male
5.1
GTEX-147GR-3126-SM-5S2PM
60-69 years, male
5.1
GTEX-17F97-2926-SM-7DUEQ
50-59 years, male
5.1
GTEX-1EWIQ-3026-SM-7IGOJ
70-79 years, female
5.1
GTEX-1F6IF-3026-SM-7P8QN
60-69 years, male
5.1
GTEX-1LG7Y-3126-SM-EV7AS
50-59 years, male
5.1
GTEX-13CF2-3026-SM-5IFFX
60-69 years, male
5.0
GTEX-13JVG-3226-SM-5IJGJ
60-69 years, male
5.0
GTEX-14JG1-2926-SM-686ZK
40-49 years, male
5.0
GTEX-1A3MX-2926-SM-718B7
60-69 years, male
5.0
GTEX-1B8SF-3026-SM-731DX
60-69 years, male
5.0
GTEX-S7SE-2526-SM-2XCDL
50-59 years, male
5.0
GTEX-WL46-2826-SM-3LK81
50-59 years, male
5.0
GTEX-X4EP-3026-SM-3P5YP
60-69 years, female
5.0
GTEX-1E2YA-2926-SM-7MGWX
50-59 years, male
5.0
GTEX-1H1DG-2826-SM-9JGHB
70-79 years, male
5.0
GTEX-1IKOH-2826-SM-CNNRC
60-69 years, female
5.0
GTEX-11EMC-3326-SM-5P9JH
60-69 years, female
4.9
GTEX-11GSO-3026-SM-5Q5AL
60-69 years, male
4.9
GTEX-13OVH-2926-SM-5IJFH
70-79 years, male
4.9
GTEX-144GL-2926-SM-5O99F
50-59 years, male
4.9
GTEX-14ABY-3026-SM-664NE
50-59 years, male
4.9
GTEX-YJ89-2926-SM-5P9IT
60-69 years, male
4.9
GTEX-1F6I4-3026-SM-7P8SI
60-69 years, male
4.9
GTEX-1JMPZ-2826-SM-C1YRA
30-39 years, male
4.9
GTEX-13N2G-3126-SM-5IJGL
60-69 years, male
4.8
GTEX-13PVQ-2926-SM-5L3HJ
50-59 years, male
4.8
GTEX-145MF-2826-SM-7EPGU
50-59 years, male
4.8
GTEX-17JCI-3026-SM-7EWDR
60-69 years, female
4.8
GTEX-XLM4-2926-SM-4AT59
60-69 years, male
4.8
GTEX-ZDXO-2926-SM-4WKFM
60-69 years, male
4.8
GTEX-13NYB-3226-SM-5J2ND
40-49 years, male
4.7
GTEX-14ASI-2926-SM-5Q5DG
60-69 years, male
4.7
GTEX-R55E-2526-SM-2TC6H
20-29 years, male
4.7
GTEX-ZVT3-2926-SM-5GU6M
60-69 years, female
4.7
GTEX-1KANB-3226-SM-D4P3G
50-59 years, male
4.7
GTEX-145MG-3126-SM-5Q5D3
50-59 years, male
4.6
GTEX-14A5I-2826-SM-5SIBF
50-59 years, female
4.6
GTEX-14BMV-2926-SM-5TDEE
50-59 years, male
4.6
GTEX-1I1CD-2926-SM-A96SJ
60-69 years, female
4.6
GTEX-14PJO-2926-SM-686ZI
60-69 years, male
4.5
GTEX-17HII-2926-SM-79OMK
50-59 years, male
4.5
GTEX-T6MN-2526-SM-32PMN
50-59 years, male
4.5
GTEX-11ZVC-3026-SM-59HJM
50-59 years, female
4.4
GTEX-12WSD-3026-SM-5LZU7
60-69 years, female
4.4
GTEX-12WSM-2126-SM-5GCOC
60-69 years, male
4.4
GTEX-13OVL-3026-SM-5IJF1
50-59 years, male
4.4
GTEX-RNOR-2226-SM-2TF5O
50-59 years, female
4.4
GTEX-ZYY3-3026-SM-5GIEJ
60-69 years, female
4.4
GTEX-1JJE9-3026-SM-CNNPA
70-79 years, male
4.4
GTEX-1RNSC-3126-SM-EVR4V
60-69 years, male
4.4
GTEX-111FC-3326-SM-5GZYV
60-69 years, male
4.3
GTEX-1269C-3126-SM-5EGI6
60-69 years, female
4.3
GTEX-145LS-3026-SM-5O99S
60-69 years, female
4.3
GTEX-14DAQ-3026-SM-5S2QZ
60-69 years, female
4.3
GTEX-1JMLX-3026-SM-EV79Q
50-59 years, male
4.3
GTEX-1RQEC-3026-SM-DPRXM
60-69 years, male
4.3
GTEX-13FXS-3026-SM-5LZYO
50-59 years, male
4.2
GTEX-13OW6-2926-SM-5KM29
50-59 years, male
4.2
GTEX-15SHU-3026-SM-6LPIB
40-49 years, female
4.2
GTEX-WWYW-3026-SM-3NB36
50-59 years, female
4.2
GTEX-1GF9V-3026-SM-7P8R8
60-69 years, male
4.2
GTEX-1H3VE-2826-SM-9WPOL
40-49 years, male
4.2
GTEX-11ZTS-3226-SM-5EGID
60-69 years, female
4.1
GTEX-1GN73-3026-SM-7MXV8
60-69 years, male
4.1
GTEX-1GTWX-2926-SM-7MXV4
60-69 years, male
4.1
GTEX-1HB9E-3126-SM-AHZ4M
50-59 years, male
4.1
GTEX-11EI6-2926-SM-5985U
60-69 years, male
4.0
GTEX-1GF9W-2726-SM-9JGGW
60-69 years, male
4.0
GTEX-13FHO-2926-SM-5L3ES
60-69 years, male
3.9
GTEX-14C39-3026-SM-5S2QE
40-49 years, male
3.9
GTEX-11DXW-1026-SM-5H11K
40-49 years, male
3.8
GTEX-ZYFD-2926-SM-5GID9
50-59 years, male
3.8
GTEX-1KD4Q-3026-SM-EV7A7
40-49 years, male
3.8
GTEX-1C64N-3126-SM-79OO3
50-59 years, male
3.7
GTEX-11OC5-0626-SM-5HL6M
60-69 years, male
3.6
GTEX-131XH-2926-SM-5LZU4
50-59 years, male
3.6
GTEX-145LU-2626-SM-5LU9Z
50-59 years, male
3.5
GTEX-15DYW-3026-SM-7KFRM
60-69 years, female
3.5
GTEX-WHSE-2926-SM-3NMBG
20-29 years, male
3.5
GTEX-12126-0926-SM-5FQTW
20-29 years, male
3.4
GTEX-13OW5-3126-SM-5MR3Y
60-69 years, male
3.3
GTEX-1PWST-3026-SM-EAZ3H
70-79 years, male
3.3
GTEX-1EH9U-3126-SM-7MXU5
60-69 years, male
2.2
GTEX-16XZZ-2926-SM-6LPK4
60-69 years, male
1.8
Show allShow less
CEREBELLUM - FANTOM5 CAGEi
RNA expression in human tissues obtained through Cap Analysis of Gene Expression (CAGE) generated by the FANTOM5 project are reported as Scaled Tags Per Million.
Normal distribution across the dataset is visualized with box plots, shown as median and 25th and 75th percentiles. Points are displayed as outliers if they are above or below 1.5 times the interquartile range. nTPM values of the individual samples are presented next to the box plot.