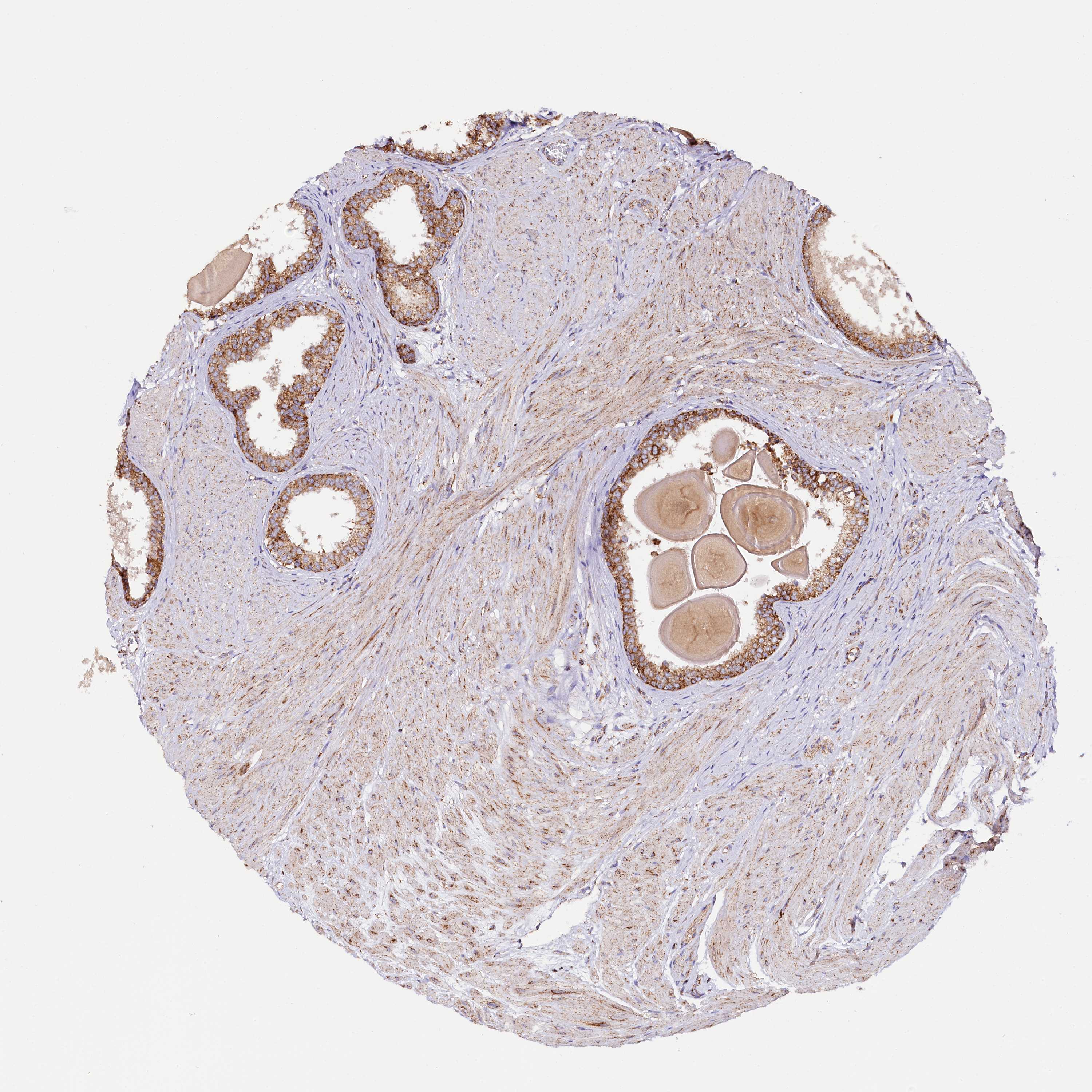
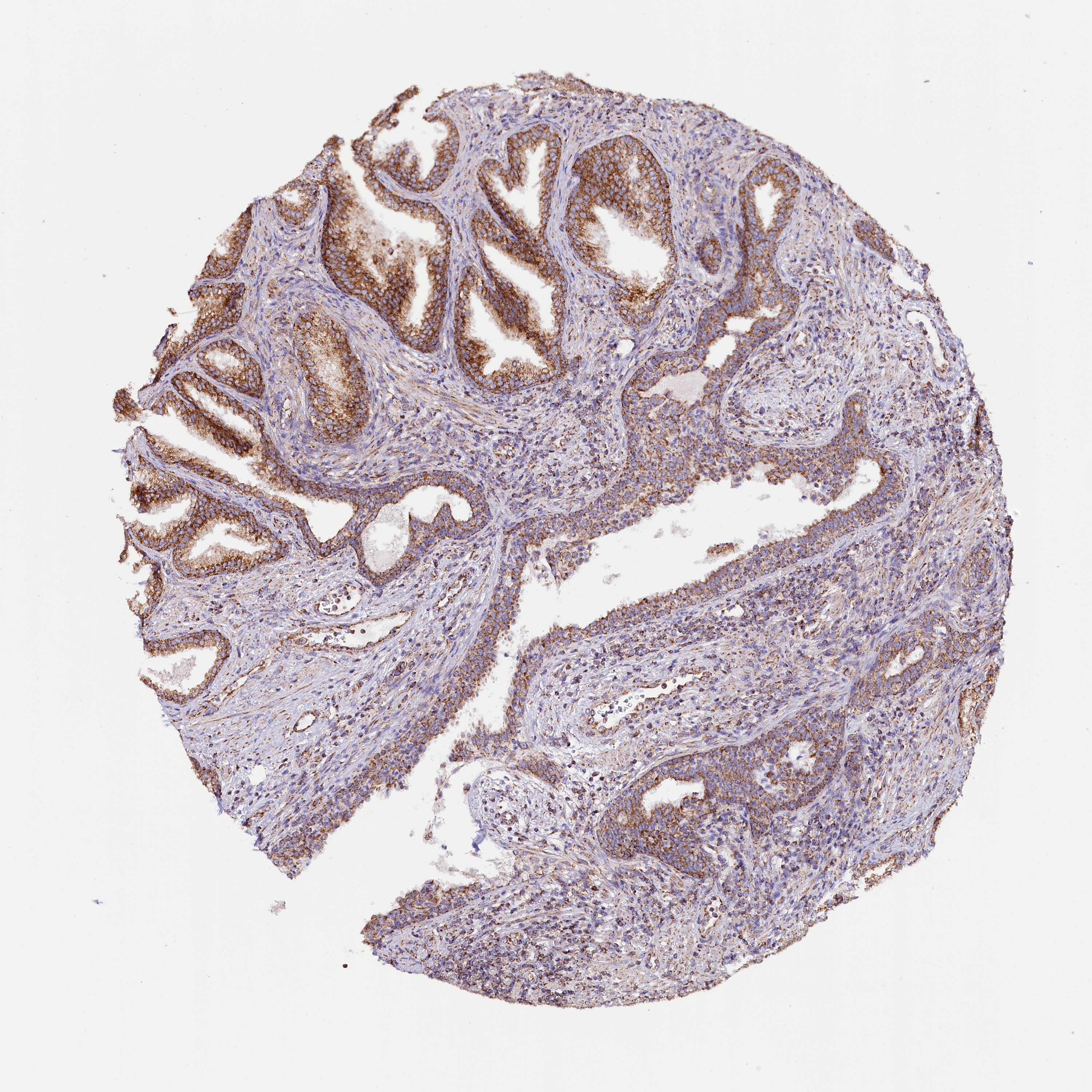
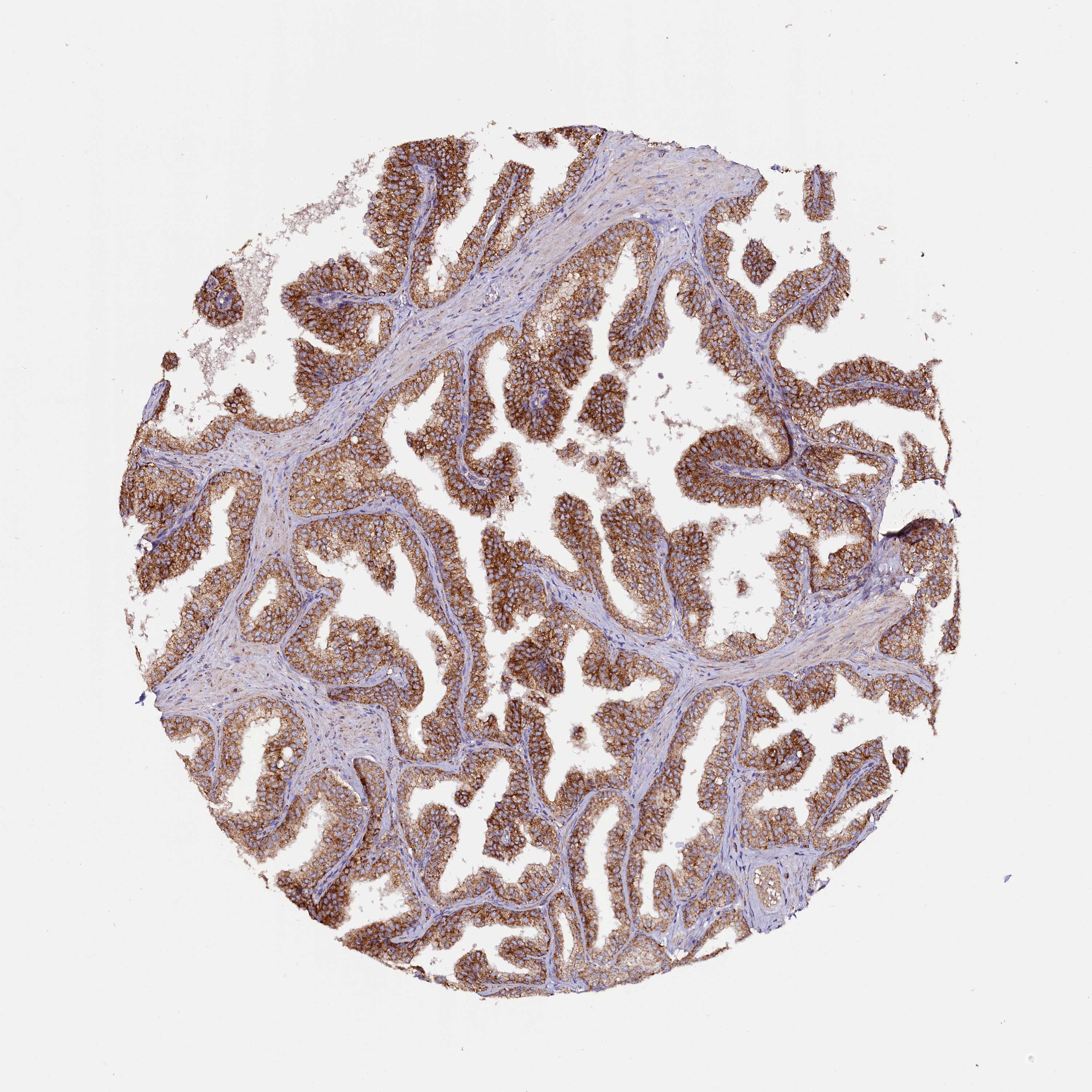
APLP2