We use cookies to enhance the usability of our website. If you continue, we'll assume that you are happy to receive all cookies. More information. Don't show this again.
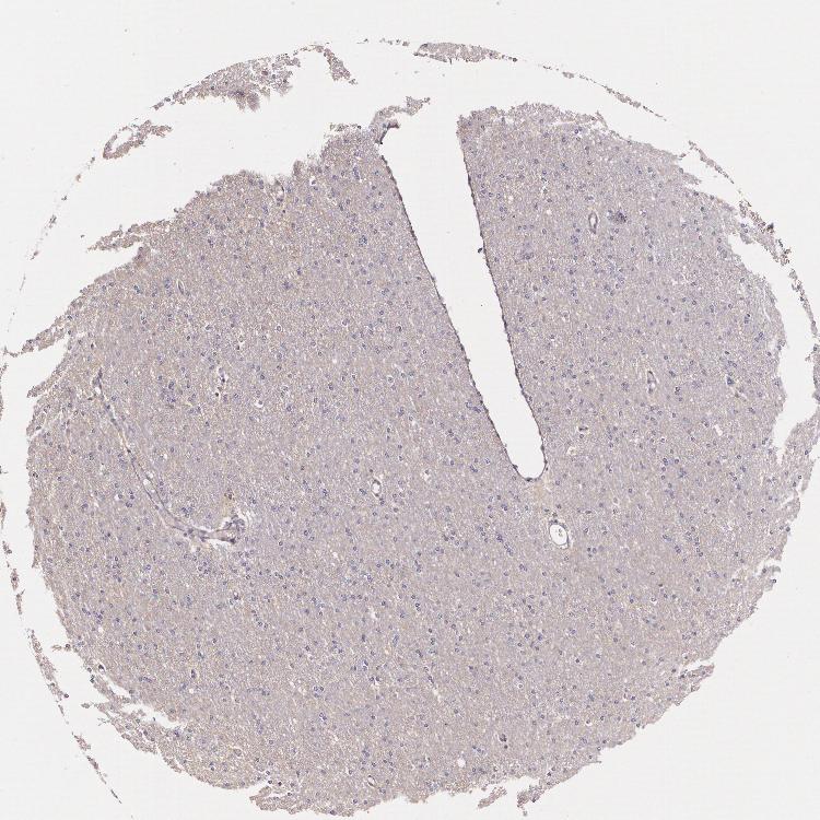
On the top, protein expression in current human tissue, based on all annotated cell types, is reported with the units not detected (n), low (l), medium (m) and high (h). Underneath, protein expression in each annotated cell type are reported using the same units.
Protein expression data is based on knowledge-based annotation. For genes where more than one antibody has been used, a collective score is set.
If knowledge-based annotation could not be performed for a gene, no data is displayed here. View antibody staining data further down this page.
A summary of mRNA expression data available for current tissue based on several datasets. The mRNA expression levels in human tissues are based on RNA-seq data generated by the Human Protein Atlas (HPA), Genotype-Tissue Expression (GTEx) portal and CAGE data generated by the FANTOM5 consortium. Consensus normalized expression levels for human tissues was created by combining the data from HPA and GTEx datasets.
The mRNA expression levels in pig are based on RNA-seq data generated by the Human Protein Atlas (HPA), and for mouse, HPA data and in situ hybridization generated by the Allen brain atlas are reported.
Scroll down to view mRNA expression data in more detail.
Antibody staining in the annotated cell types in the current human tissue is reported as not detected, low, medium, or high. This score is based on the staining intensity and fraction of stained cells.
RNA-Seq data generated by the Genotype-Tissue Expression (GTEx) project from human tissues is reported as mean nTPM. More information can be found on the GTEx portal.
Distribution across the dataset is visualized with box plots, shown as median and 25th and 75th percentiles. Points are displayed as outliers if they are above or below 1.5 times the interquartile range. nTPM values of the individual samples are presented next to the box plot.
Brain - Anterior cingulate cortex (BA24) Average nTPM: 2.5
Samples: 176
Max nTPM: 5.2
Min nTPM: 1.4
Std nTPM: 0.5
Median nTPM: 2.4
GTEX-NL3H-0011-R3a-SM-2I3GL
60-69 years, male
5.2
GTEX-ZF28-0011-R3a-SM-4WWDA
60-69 years, male
4.1
GTEX-1HR98-0011-R3b-SM-A9G1U
60-69 years, male
4.1
GTEX-139T8-0011-R3b-SM-5HL4R
60-69 years, male
3.9
GTEX-13IVO-0011-R3b-SM-5IJBJ
70-79 years, male
3.9
GTEX-N7MS-0011-R3a-SM-33HC6
60-69 years, male
3.8
GTEX-PVOW-0011-R3A-SM-32PKX
40-49 years, male
3.8
GTEX-11ZTS-0011-R3a-SM-5BC78
60-69 years, female
3.6
GTEX-13SLW-0011-R3b-SM-5SI6Y
70-79 years, male
3.6
GTEX-12ZZW-0011-R3a-SM-5DUWW
50-59 years, male
3.5
GTEX-ZE9C-0011-R3a-SM-4WKGT
60-69 years, male
3.5
GTEX-ZVT3-0011-R3b-SM-51MTJ
60-69 years, female
3.5
GTEX-1IKK5-0011-R3b-SM-C1YRY
60-69 years, male
3.5
GTEX-11ZVC-0011-R3a-SM-5BC6V
50-59 years, female
3.3
GTEX-12WSD-0011-R3b-SM-5LZWN
60-69 years, female
3.3
GTEX-15G19-0011-R3a-SM-6LPIG
60-69 years, male
3.3
GTEX-QDT8-0011-R3A-SM-32PKR
30-39 years, female
3.3
GTEX-1I1GV-0011-R3a-SM-CL557
60-69 years, male
3.3
GTEX-11UD1-0011-R3a-SM-5BC6S
40-49 years, female
3.1
GTEX-13X6K-0011-R3b-SM-5PNUD
60-69 years, female
3.1
GTEX-1477Z-0011-R3b-SM-5PNX9
60-69 years, male
3.1
GTEX-ZVZQ-0011-R3a-SM-57WC7
60-69 years, female
3.1
GTEX-1JMOU-0011-R3a-SM-EYYXN
60-69 years, female
3.1
GTEX-139TT-0011-R3b-SM-5K7VL
60-69 years, male
3.0
GTEX-NPJ8-0011-R3a-SM-2HMIW
40-49 years, male
3.0
GTEX-UTHO-0011-R3A-SM-3GIK8
60-69 years, male
3.0
GTEX-X585-0011-R3B-SM-46MVG
50-59 years, male
3.0
GTEX-ZAB4-0011-R3a-SM-4RGNQ
40-49 years, male
3.0
GTEX-14C39-0011-R3b-SM-5YYA3
40-49 years, male
2.9
GTEX-14PJM-0011-R3b-SM-5ZZV9
50-59 years, female
2.9
GTEX-N7MT-0011-R3a-SM-2I3GC
60-69 years, female
2.9
GTEX-PWO3-0011-R3A-SM-2I5EX
60-69 years, female
2.9
GTEX-Q2AG-0011-R3A-SM-2HMJ9
40-49 years, female
2.9
GTEX-WZTO-0011-R3B-SM-3NMC6
40-49 years, male
2.9
GTEX-X4XX-0011-R3B-SM-46MWK
60-69 years, male
2.9
GTEX-1CB4H-0011-R3b-SM-9OSVI
60-69 years, female
2.9
GTEX-13CF2-0011-R3b-SM-5LZZ6
60-69 years, male
2.8
GTEX-13OVL-0011-R3b-SM-5L3I8
50-59 years, male
2.8
GTEX-14BIM-0011-R3b-SM-5S2RL
60-69 years, female
2.8
GTEX-15CHQ-0011-R3b-SM-686ZY
60-69 years, male
2.8
GTEX-16XZZ-0011-R3a-SM-7IGLH
60-69 years, male
2.8
GTEX-T2IS-0011-R3A-SM-32QPB
20-29 years, female
2.8
GTEX-Z93S-0011-R3b-SM-4RGNH
50-59 years, male
2.8
GTEX-1EH9U-0011-R3b-SM-CL534
60-69 years, male
2.8
GTEX-1JMPZ-0011-R3a-SM-EYYWX
30-39 years, male
2.8
GTEX-12WSM-0011-R3b-SM-5LZWI
60-69 years, male
2.7
GTEX-13FHO-0011-R3b-SM-5K7YA
60-69 years, male
2.7
GTEX-13RTJ-0011-R3a-SM-5PNX7
60-69 years, male
2.7
GTEX-145LS-0011-R3a-SM-5S2VJ
60-69 years, female
2.7
GTEX-14JG1-0011-R3a-SM-62LEC
40-49 years, male
2.7
GTEX-15EO6-0011-R3b-SM-7KUDY
50-59 years, male
2.7
GTEX-1BAJH-0011-R3a-SM-7IGNU
70-79 years, male
2.7
GTEX-1HB9E-0011-R3a-SM-ARL7D
50-59 years, male
2.7
GTEX-12ZZX-0011-R3b-SM-5EGLH
40-49 years, female
2.6
GTEX-13OW5-0011-R3a-SM-5L3I5
60-69 years, male
2.6
GTEX-15ER7-0011-R3a-SM-6LPIK
20-29 years, female
2.6
GTEX-XMD1-0011-R3B-SM-4AT5R
60-69 years, male
2.6
GTEX-YFC4-0011-R3a-SM-4RGLP
40-49 years, female
2.6
GTEX-15DCD-0011-R3b-SM-D4P1P
70-79 years, female
2.6
GTEX-1IKJJ-0011-R3b-SM-C1YRW
60-69 years, male
2.6
GTEX-X4XY-0011-R3B-SM-EXOHI
60-69 years, male
2.6
GTEX-11GSO-0011-R3b-SM-57WB2
60-69 years, male
2.5
GTEX-1313W-0011-R3a-SM-5EGLI
50-59 years, female
2.5
GTEX-13OW8-0011-R3a-SM-5L3I4
60-69 years, male
2.5
GTEX-13PLJ-0011-R3a-SM-5O9DT
60-69 years, female
2.5
GTEX-13S7M-0011-R3a-SM-5PNX2
60-69 years, female
2.5
GTEX-148VJ-0011-R3b-SM-69LQJ
70-79 years, male
2.5
GTEX-14DAQ-0011-R3b-SM-5YYAJ
60-69 years, female
2.5
GTEX-14E7W-0011-R3b-SM-5YYB5
70-79 years, male
2.5
GTEX-14JIY-0011-R3a-SM-5YYAQ
60-69 years, male
2.5
GTEX-14LZ3-0011-R3a-SM-664NQ
60-69 years, female
2.5
GTEX-14PQA-0011-R3b-SM-69LQO
50-59 years, female
2.5
GTEX-Y8DK-0011-R3A-SM-4RTW5
60-69 years, male
2.5
GTEX-ZUA1-0011-R3a-SM-4YCEE
40-49 years, male
2.5
GTEX-1EN7A-0011-R3a-SM-9OSVT
40-49 years, male
2.5
GTEX-1H2FU-0011-R3b-SM-CKZP4
60-69 years, female
2.5
GTEX-1HBPH-0011-R3a-SM-A96RY
40-49 years, female
2.5
GTEX-1LVAO-0011-R3a-SM-EXOI7
60-69 years, male
2.5
GTEX-13112-0011-R3b-SM-5HL9L
50-59 years, male
2.4
GTEX-13CZV-0011-R3a-SM-5KM27
60-69 years, male
2.4
GTEX-13NYS-0011-R3b-SM-5MR41
60-69 years, male
2.4
GTEX-13RTL-0011-R3a-SM-5P9JP
40-49 years, male
2.4
GTEX-13VXU-0011-R3b-SM-5O9CU
50-59 years, male
2.4
GTEX-1445S-0011-R3a-SM-5P9HY
60-69 years, male
2.4
GTEX-144GL-0011-R3a-SM-5P9HP
50-59 years, male
2.4
GTEX-15DYW-0011-R3b-SM-6LPIM
60-69 years, female
2.4
GTEX-1B996-0011-R3b-SM-9QEGY
60-69 years, male
2.4
GTEX-1F48J-0011-R3b-SM-9OSVY
50-59 years, female
2.4
GTEX-1F52S-0011-R3a-SM-CKZNI
60-69 years, female
2.4
GTEX-1H3O1-0011-R3a-SM-ACKVD
60-69 years, male
2.4
GTEX-1H3VE-0011-R3a-SM-CE6SK
40-49 years, male
2.4
GTEX-1J8Q2-0011-R3b-SM-ACKVG
60-69 years, male
2.4
GTEX-131XH-0011-R3b-SM-5DUWM
50-59 years, male
2.3
GTEX-13PVQ-0011-R3b-SM-5O9D6
50-59 years, male
2.3
GTEX-145MH-0011-R3b-SM-5P9JQ
50-59 years, male
2.3
GTEX-14BIN-0011-R3b-SM-6AJBL
50-59 years, female
2.3
GTEX-17EVP-0011-R3a-SM-7EPI9
40-49 years, male
2.3
GTEX-RNOR-0011-R3A-SM-5SI8E
50-59 years, female
2.3
GTEX-RVPV-0011-R3A-SM-2TF63
60-69 years, male
2.3
GTEX-YJ89-0011-R3b-SM-4V6EF
60-69 years, male
2.3
GTEX-11DZ1-0011-R3a-SM-DNZYY
50-59 years, male
2.3
GTEX-1E1VI-0011-R3a-SM-9OSWH
50-59 years, male
2.3
GTEX-1HGF4-0011-R3b-SM-CL54W
60-69 years, male
2.3
GTEX-1I1GR-0011-R3a-SM-CM2T4
60-69 years, male
2.3
GTEX-1J1OQ-0011-R3b-SM-D4P2B
40-49 years, female
2.3
GTEX-13FLV-0011-R3b-SM-5LZYP
50-59 years, male
2.2
GTEX-13N1W-0011-R3a-SM-5MR5E
70-79 years, male
2.2
GTEX-13O3O-0011-R3b-SM-5KM3R
60-69 years, female
2.2
GTEX-13OVH-0011-R3a-SM-5KM49
70-79 years, male
2.2
GTEX-14LLW-0011-R3b-SM-62LFW
70-79 years, female
2.2
GTEX-17EVQ-0011-R3b-SM-7LT9B
70-79 years, male
2.2
GTEX-17F97-0011-R3b-SM-7LT9E
50-59 years, male
2.2
GTEX-17HII-0011-R3a-SM-7LT9D
50-59 years, male
2.2
GTEX-1A3MX-0011-R3b-SM-79OOW
60-69 years, male
2.2
GTEX-1B8L1-0011-R3a-SM-7EPIO
60-69 years, male
2.2
GTEX-1F6I4-0011-R3a-SM-9QEH9
60-69 years, male
2.2
GTEX-1GZ4I-0011-R3b-SM-9OSWP
50-59 years, male
2.2
GTEX-1HCU6-0011-R3a-SM-ARU75
60-69 years, female
2.2
GTEX-1MCQQ-0011-R3a-SM-EXURW
60-69 years, male
2.2
GTEX-13OW7-0011-R3a-SM-5O9DA
50-59 years, male
2.1
GTEX-13X6J-0011-R3b-SM-5P9K5
50-59 years, male
2.1
GTEX-145LU-0011-R3a-SM-5P9K2
50-59 years, male
2.1
GTEX-14PN4-0011-R3b-SM-686ZU
50-59 years, male
2.1
GTEX-P44G-0011-R3A-SM-2I3FC
30-39 years, male
2.1
GTEX-WL46-0011-R3A-SM-3TW8E
50-59 years, male
2.1
GTEX-1EMGI-0011-R3b-SM-CE6R9
60-69 years, male
2.1
GTEX-1EU9M-0011-R3a-SM-9QEHY
60-69 years, male
2.1
GTEX-1F75A-0011-R3b-SM-ARL8K
50-59 years, male
2.1
GTEX-1GMR8-0011-R3b-SM-9QEIG
50-59 years, female
2.1
GTEX-1GN73-0011-R3b-SM-9QEIL
60-69 years, male
2.1
GTEX-1H1ZS-0011-R3b-SM-CE6RS
70-79 years, male
2.1
GTEX-12WSF-0011-R3a-SM-5DUW7
70-79 years, male
2.0
GTEX-12ZZZ-0011-R3b-SM-5DUXK
60-69 years, male
2.0
GTEX-13O3Q-0011-R3a-SM-5P9H3
50-59 years, male
2.0
GTEX-13X6I-0011-R3b-SM-5P9HM
60-69 years, male
2.0
GTEX-145MG-0011-R3b-SM-5SI67
50-59 years, male
2.0
GTEX-15SHU-0011-R3a-SM-7IGPS
40-49 years, female
2.0
GTEX-QVUS-0011-R3A-SM-3GAFD
60-69 years, female
2.0
GTEX-XLM4-0011-R3B-SM-4AT6E
60-69 years, male
2.0
GTEX-11DXW-0011-R3b-SM-DNZZE
40-49 years, male
2.0
GTEX-11GSP-0011-R3a-SM-9QEGF
60-69 years, female
2.0
GTEX-1GZ2Q-0011-R3a-SM-A96RP
40-49 years, male
2.0
GTEX-1I1GS-0011-R3b-SM-CYPS7
60-69 years, male
2.0
GTEX-1JJEA-0011-R3b-SM-EXUTD
60-69 years, male
2.0
GTEX-13CIG-0011-R3b-SM-5K7XF
50-59 years, male
1.9
GTEX-13JVG-0011-R3b-SM-5LZXF
60-69 years, male
1.9
GTEX-13N2G-0011-R3b-SM-5MR5G
60-69 years, male
1.9
GTEX-ZDXO-0011-R3a-SM-4WKFS
60-69 years, male
1.9
GTEX-11WQC-0011-R3a-SM-DO11T
60-69 years, male
1.9
GTEX-13NYB-0011-R3b-SM-A9SM4
40-49 years, male
1.9
GTEX-1EX96-0011-R3b-SM-ARZMH
50-59 years, male
1.9
GTEX-1H23P-0011-R3b-SM-CL54S
60-69 years, male
1.9
GTEX-1HFI6-0011-R3b-SM-A9SKB
40-49 years, male
1.9
GTEX-1IDJH-0011-R3a-SM-CJI42
70-79 years, male
1.9
GTEX-1KD4Q-0011-R3b-SM-EXOID
40-49 years, male
1.9
GTEX-1N2EE-0011-R3b-SM-EXURY
60-69 years, male
1.9
GTEX-131YS-0011-R3b-SM-5DUXB
60-69 years, female
1.8
GTEX-14BMV-0011-R3a-SM-5ZZU7
50-59 years, male
1.8
GTEX-14PJO-0011-R3a-SM-6AJBY
60-69 years, male
1.8
GTEX-17HHY-0011-R3a-SM-7EWDK
50-59 years, male
1.8
GTEX-18A6Q-0011-R3a-SM-718A7
60-69 years, male
1.8
GTEX-WHSE-0011-R3A-SM-3P5ZM
20-29 years, male
1.8
GTEX-1J8EW-0011-R3a-SM-ARU8A
60-69 years, female
1.8
GTEX-12WSC-0011-R3a-SM-5P9F1
50-59 years, male
1.7
GTEX-13QIC-0011-R3a-SM-5P9HT
60-69 years, female
1.7
GTEX-16YQH-0011-R3a-SM-7EPGM
30-39 years, male
1.7
GTEX-1F7RK-0011-R3b-SM-9OSWJ
20-29 years, female
1.7
GTEX-1HUB1-0011-R3b-SM-CKZOX
60-69 years, male
1.7
GTEX-1B933-0011-R3b-SM-7P8PL
50-59 years, female
1.6
GTEX-1C6WA-0011-R3a-SM-9OSVP
60-69 years, male
1.6
GTEX-1CB4G-0011-R3a-SM-CE6QQ
60-69 years, male
1.6
GTEX-P44H-0011-R3A-SM-D3L8E
40-49 years, male
1.6
GTEX-11WQK-0011-R3b-SM-DO93K
50-59 years, male
1.5
GTEX-1GF9W-0011-R3b-SM-CJI2S
60-69 years, male
1.5
GTEX-1GTWX-0011-R3b-SM-CJI2Z
60-69 years, male
1.5
GTEX-X4EP-0011-R3A-SM-3P626
60-69 years, female
1.4
Show allShow less
Brain - Cortex Average nTPM: 2.4
Samples: 255
Max nTPM: 5.0
Min nTPM: 1.1
Std nTPM: 0.5
Median nTPM: 2.4
GTEX-QMR6-1426-SM-32PLA
50-59 years, male
5.0
GTEX-11O72-2926-SM-5BC4V
40-49 years, male
4.6
GTEX-13IVO-2926-SM-5L3CZ
70-79 years, male
4.3
GTEX-1F6RS-3126-SM-9MQK7
60-69 years, female
4.1
GTEX-13NYS-3126-SM-5KLYV
60-69 years, male
3.9
GTEX-1F88E-2826-SM-7RHHE
60-69 years, female
3.8
GTEX-13PL6-3126-SM-5LUAR
40-49 years, female
3.7
GTEX-QDT8-2926-SM-32PKC
30-39 years, female
3.7
GTEX-UTHO-3026-SM-3GAFB
60-69 years, male
3.7
GTEX-12WSH-3026-SM-5CVNI
50-59 years, male
3.5
GTEX-PWO3-0926-SM-2I5EY
60-69 years, female
3.5
GTEX-1HSMO-3026-SM-A9G3F
60-69 years, male
3.5
GTEX-11OF3-2926-SM-5HL78
60-69 years, male
3.4
GTEX-1F75B-3026-SM-7PBZ7
50-59 years, male
3.4
GTEX-1H2FU-3126-SM-9WYUJ
60-69 years, female
3.4
GTEX-111FC-3126-SM-5GZZ2
60-69 years, male
3.3
GTEX-OXRN-2426-SM-2I5EQ
50-59 years, male
3.3
GTEX-TSE9-3026-SM-3DB76
60-69 years, female
3.3
GTEX-1GN1V-3126-SM-7PBZG
60-69 years, male
3.3
GTEX-1IDFM-2826-SM-ACKWJ
60-69 years, male
3.2
GTEX-12ZZZ-3026-SM-5BC67
60-69 years, male
3.1
GTEX-13G51-3026-SM-5IJB8
60-69 years, male
3.1
GTEX-13NYC-2826-SM-5K7WR
60-69 years, male
3.1
GTEX-1B8SG-1726-SM-73KXK
50-59 years, male
3.1
GTEX-PVOW-2526-SM-2XCF7
40-49 years, male
3.1
GTEX-1F7RK-1826-SM-7RHI4
20-29 years, female
3.1
GTEX-1GF9V-2926-SM-7PBXO
60-69 years, male
3.1
GTEX-1GN73-3126-SM-9KNTY
60-69 years, male
3.1
GTEX-1GZ2Q-3226-SM-9WG6L
40-49 years, male
3.1
GTEX-11WQK-3026-SM-5EQL6
50-59 years, male
3.0
GTEX-1445S-3026-SM-5O9BR
60-69 years, male
3.0
GTEX-15RJE-3026-SM-7KUM1
40-49 years, male
3.0
GTEX-ZAJG-3126-SM-5HL9J
50-59 years, female
3.0
GTEX-ZAK1-3026-SM-5S2MJ
50-59 years, female
3.0
GTEX-ZF28-3026-SM-4WKHP
60-69 years, male
3.0
GTEX-1H3NZ-3026-SM-9JGHW
60-69 years, male
3.0
GTEX-1HBPH-3126-SM-9WYUV
40-49 years, female
3.0
GTEX-1NV5F-3226-SM-EXUSL
60-69 years, female
3.0
GTEX-X4XY-3026-SM-EWRM9
60-69 years, male
3.0
GTEX-1128S-2726-SM-5H12C
60-69 years, female
2.9
GTEX-13FHO-3026-SM-5J1O9
60-69 years, male
2.9
GTEX-16YQH-3026-SM-79OMM
30-39 years, male
2.9
GTEX-183WM-2826-SM-731C2
70-79 years, female
2.9
GTEX-WWYW-3126-SM-3NB39
50-59 years, female
2.9
GTEX-X4XX-3026-SM-3NMB2
60-69 years, male
2.9
GTEX-ZE9C-3026-SM-4WKHB
60-69 years, male
2.9
GTEX-1EX96-3026-SM-7RHH5
50-59 years, male
2.9
GTEX-1HB9E-2926-SM-D4P3S
50-59 years, male
2.9
GTEX-1IL2U-3026-SM-C1YSH
60-69 years, male
2.9
GTEX-13FHP-3026-SM-5IJBS
50-59 years, male
2.8
GTEX-13OW7-3026-SM-5L3GY
50-59 years, male
2.8
GTEX-144GL-3026-SM-5Q5CW
50-59 years, male
2.8
GTEX-14A5I-2926-SM-5Q5CQ
50-59 years, female
2.8
GTEX-1A8G7-3126-SM-7IGP7
60-69 years, male
2.8
GTEX-1C6VS-3026-SM-79OLA
60-69 years, male
2.8
GTEX-T2IS-3026-SM-32QPM
20-29 years, female
2.8
GTEX-11DXW-1126-SM-5H12Q
40-49 years, male
2.7
GTEX-132Q8-3026-SM-5PNVG
60-69 years, male
2.7
GTEX-13PVQ-3026-SM-5SI93
50-59 years, male
2.7
GTEX-14BIM-3026-SM-7EWCY
60-69 years, female
2.7
GTEX-14C5O-3026-SM-5YYB2
60-69 years, male
2.7
GTEX-NPJ7-2726-SM-2I3FT
60-69 years, female
2.7
GTEX-NPJ8-1526-SM-2D7VU
40-49 years, male
2.7
GTEX-WVLH-3026-SM-3MJG9
50-59 years, male
2.7
GTEX-ZZPT-3026-SM-5GZXH
50-59 years, male
2.7
GTEX-1E1VI-3026-SM-7RHHU
50-59 years, male
2.7
GTEX-1H1ZS-3026-SM-9KNUJ
70-79 years, male
2.7
GTEX-1H23P-2926-SM-9WYU8
60-69 years, male
2.7
GTEX-1HBPM-2926-SM-CL54E
60-69 years, female
2.7
GTEX-1IY9M-3026-SM-A9G37
60-69 years, male
2.7
GTEX-1LKK1-3126-SM-EWRNY
50-59 years, female
2.7
GTEX-1PWST-3126-SM-EXUSE
70-79 years, male
2.7
GTEX-11GSO-2926-SM-5HL73
60-69 years, male
2.6
GTEX-12WSA-2926-SM-5EQ4D
60-69 years, male
2.6
GTEX-1313W-3126-SM-5LZUI
50-59 years, female
2.6
GTEX-131XW-3126-SM-5LZUC
50-59 years, female
2.6
GTEX-145LS-3126-SM-5Q5BY
60-69 years, female
2.6
GTEX-147GR-3026-SM-5S2ML
60-69 years, male
2.6
GTEX-XLM4-3026-SM-4AT6L
60-69 years, male
2.6
GTEX-YFC4-3126-SM-5PNV6
40-49 years, female
2.6
GTEX-ZVT3-3026-SM-5E43N
60-69 years, female
2.6
GTEX-ZYY3-3126-SM-5SI9L
60-69 years, female
2.6
GTEX-1GMR8-3026-SM-9KNVF
50-59 years, female
2.6
GTEX-1H1DG-2926-SM-9WYU3
70-79 years, male
2.6
GTEX-1HUB1-2926-SM-ACKXA
60-69 years, male
2.6
GTEX-1KD4Q-2926-SM-D3L9N
40-49 years, male
2.6
GTEX-1LC47-2926-SM-CXZKC
60-69 years, male
2.6
GTEX-N7MT-1126-SM-CYPQY
60-69 years, female
2.6
GTEX-11DXY-3226-SM-5GIDE
60-69 years, male
2.5
GTEX-11EI6-3026-SM-5GZZO
60-69 years, male
2.5
GTEX-13FXS-3126-SM-5J2NN
50-59 years, male
2.5
GTEX-13O3O-3126-SM-5KM3H
60-69 years, female
2.5
GTEX-13OVH-3026-SM-5MR4N
70-79 years, male
2.5
GTEX-13X6J-3026-SM-5Q5CU
50-59 years, male
2.5
GTEX-145MG-3026-SM-5RQJA
50-59 years, male
2.5
GTEX-14BIL-3026-SM-7EWD4
50-59 years, male
2.5
GTEX-14DAQ-3126-SM-62LDS
60-69 years, female
2.5
GTEX-15ER7-3126-SM-7KUGH
20-29 years, female
2.5
GTEX-17EVQ-2826-SM-7IGQK
70-79 years, male
2.5
GTEX-17MF6-2926-SM-7LTAW
40-49 years, male
2.5
GTEX-P44G-2426-SM-2I5ER
30-39 years, male
2.5
GTEX-WZTO-2926-SM-3NM9I
40-49 years, male
2.5
GTEX-1GZ4I-3026-SM-9KNTX
50-59 years, male
2.5
GTEX-1J1OQ-3226-SM-A9G2Q
40-49 years, female
2.5
GTEX-11NUK-2926-SM-5A5MD
50-59 years, male
2.4
GTEX-11PRG-2926-SM-5987A
50-59 years, male
2.4
GTEX-12126-1026-SM-5P9JJ
20-29 years, male
2.4
GTEX-12WSD-3126-SM-5HL7P
60-69 years, female
2.4
GTEX-12ZZW-2926-SM-5LZUP
50-59 years, male
2.4
GTEX-131YS-3126-SM-5KLYT
60-69 years, female
2.4
GTEX-139T8-1026-SM-5J2MC
60-69 years, male
2.4
GTEX-13NYB-3026-SM-5IJD7
40-49 years, male
2.4
GTEX-13X6K-2926-SM-5Q5D5
60-69 years, female
2.4
GTEX-14ASI-3026-SM-5S2PN
60-69 years, male
2.4
GTEX-14BIN-3226-SM-62LDR
50-59 years, female
2.4
GTEX-14C39-3126-SM-5ZZW6
40-49 years, male
2.4
GTEX-14JIY-2926-SM-69LPT
60-69 years, male
2.4
GTEX-14LZ3-3026-SM-5ZZVU
60-69 years, female
2.4
GTEX-16Z82-3026-SM-79ON3
60-69 years, male
2.4
GTEX-17HHY-3026-SM-79OKP
50-59 years, male
2.4
GTEX-1A3MX-3026-SM-731BF
60-69 years, male
2.4
GTEX-RNOR-2326-SM-2TF4I
50-59 years, female
2.4
GTEX-Y8DK-0826-SM-4TT3T
60-69 years, male
2.4
GTEX-1B933-3126-SM-7P8RL
50-59 years, female
2.4
GTEX-1EN7A-3026-SM-7PBYT
40-49 years, male
2.4
GTEX-1EWIQ-3126-SM-7MXTI
70-79 years, female
2.4
GTEX-1H3O1-1726-SM-9WYSR
60-69 years, male
2.4
GTEX-1HBPI-2826-SM-ARZNO
50-59 years, male
2.4
GTEX-1HCVE-3026-SM-CL54G
50-59 years, male
2.4
GTEX-1I1HK-2826-SM-CKZPL
60-69 years, male
2.4
GTEX-1IDJH-3026-SM-CL53B
70-79 years, male
2.4
GTEX-1IKJJ-2926-SM-A9G2N
60-69 years, male
2.4
GTEX-1IKK5-2926-SM-ARU7Q
60-69 years, male
2.4
GTEX-1JMOU-2726-SM-CY8IO
60-69 years, female
2.4
GTEX-1JMPZ-2726-SM-ARZNF
30-39 years, male
2.4
GTEX-1N2DW-2826-SM-E9TK5
50-59 years, male
2.4
GTEX-1QP6S-2926-SM-DTXF8
40-49 years, male
2.4
GTEX-1R9K4-3126-SM-DTX9Y
60-69 years, male
2.4
GTEX-12ZZY-3026-SM-5GCOU
60-69 years, male
2.3
GTEX-13JVG-3126-SM-5L3FH
60-69 years, male
2.3
GTEX-13OW8-2826-SM-5L3GC
60-69 years, male
2.3
GTEX-145MH-3026-SM-5Q5DZ
50-59 years, male
2.3
GTEX-14BMV-3026-SM-5S2PQ
50-59 years, male
2.3
GTEX-1C6VQ-3026-SM-7IGPU
50-59 years, male
2.3
GTEX-1CAV2-2726-SM-7IGNN
40-49 years, female
2.3
GTEX-1CB4H-3126-SM-7IGN4
60-69 years, female
2.3
GTEX-T5JC-2426-SM-3NMDB
20-29 years, male
2.3
GTEX-ZDXO-2126-SM-4WKFI
60-69 years, male
2.3
GTEX-1GZHY-3126-SM-9QEHH
50-59 years, female
2.3
GTEX-1HR98-3026-SM-CNPPK
60-69 years, male
2.3
GTEX-1HT8W-3026-SM-CGQEO
30-39 years, male
2.3
GTEX-1I1CD-3026-SM-B2LY2
60-69 years, female
2.3
GTEX-1KWVE-2326-SM-D4P3N
30-39 years, male
2.3
GTEX-117XS-3026-SM-5N9CA
60-69 years, male
2.2
GTEX-1192X-3126-SM-5N9BY
50-59 years, male
2.2
GTEX-11GSP-3226-SM-5986O
60-69 years, female
2.2
GTEX-12ZZX-2926-SM-5GCOQ
40-49 years, female
2.2
GTEX-13OW6-3026-SM-5J2MI
50-59 years, male
2.2
GTEX-13QIC-2926-SM-5J2NF
60-69 years, female
2.2
GTEX-13VXU-2926-SM-5LU5C
50-59 years, male
2.2
GTEX-14JG1-3026-SM-5YYAA
40-49 years, male
2.2
GTEX-15G19-2926-SM-7KUFL
60-69 years, male
2.2
GTEX-15SHU-3126-SM-6M46H
40-49 years, female
2.2
GTEX-17F97-3026-SM-79OKC
50-59 years, male
2.2
GTEX-17HII-3026-SM-7EWFM
50-59 years, male
2.2
GTEX-1EKGG-2926-SM-7EPIH
60-69 years, male
2.2
GTEX-WL46-2926-SM-3LK82
50-59 years, male
2.2
GTEX-ZYFD-3026-SM-5E44C
50-59 years, male
2.2
GTEX-1F75A-3026-SM-9KNU2
50-59 years, male
2.2
GTEX-1GMRU-3026-SM-7P8TC
50-59 years, male
2.2
GTEX-1GN2E-3026-SM-9WG6I
60-69 years, male
2.2
GTEX-1HCU6-3126-SM-CL54L
60-69 years, female
2.2
GTEX-1I19N-3026-SM-CL55E
70-79 years, male
2.2
GTEX-1ICLZ-2826-SM-CL53U
60-69 years, male
2.2
GTEX-11EMC-3226-SM-5EGKW
60-69 years, female
2.1
GTEX-11ONC-2926-SM-5P9JM
60-69 years, male
2.1
GTEX-11TTK-2926-SM-5PNYP
60-69 years, female
2.1
GTEX-11ZUS-2926-SM-5FQSL
30-39 years, male
2.1
GTEX-13FLW-1426-SM-5K7YE
50-59 years, male
2.1
GTEX-16GPK-3026-SM-79ON9
60-69 years, male
2.1
GTEX-17HG3-2926-SM-79ON8
30-39 years, female
2.1
GTEX-QVUS-2826-SM-3GADB
60-69 years, female
2.1
GTEX-X585-3026-SM-46MWF
50-59 years, male
2.1
GTEX-ZE7O-3126-SM-5HL5X
50-59 years, female
2.1
GTEX-ZUA1-3026-SM-59HJC
40-49 years, male
2.1
GTEX-1RQEC-2926-SM-EVR5A
60-69 years, male
2.1
GTEX-1117F-3226-SM-5N9CT
60-69 years, female
2.0
GTEX-1399T-3026-SM-5KLZC
60-69 years, male
2.0
GTEX-13S7M-3126-SM-5RQJQ
60-69 years, female
2.0
GTEX-13SLX-3126-SM-5S2Q5
50-59 years, female
2.0
GTEX-144FL-3026-SM-5O99C
50-59 years, male
2.0
GTEX-14PJM-3126-SM-6EU2R
50-59 years, female
2.0
GTEX-16XZZ-3026-SM-79OMJ
60-69 years, male
2.0
GTEX-OHPN-2526-SM-2I5H3
60-69 years, female
2.0
GTEX-Z93S-2926-SM-57WB9
50-59 years, male
2.0
GTEX-1F48J-2826-SM-7P8R4
50-59 years, female
2.0
GTEX-1GF9W-2626-SM-7P8TA
60-69 years, male
2.0
GTEX-1HFI6-3026-SM-CNPPJ
40-49 years, male
2.0
GTEX-1HSKV-3026-SM-A96SL
60-69 years, male
2.0
GTEX-1I1GQ-3026-SM-CL55K
50-59 years, male
2.0
GTEX-1J8Q2-3026-SM-CKZN8
60-69 years, male
2.0
GTEX-1JJ6O-3126-SM-CNNP8
60-69 years, male
2.0
GTEX-1JMQL-2826-SM-ARU91
50-59 years, female
2.0
GTEX-1LG7Y-3026-SM-D5OVI
50-59 years, male
2.0
GTEX-1NV8Z-3126-SM-E76R3
60-69 years, male
2.0
GTEX-1QMI2-3126-SM-EXUT5
60-69 years, male
2.0
GTEX-12WSC-3026-SM-5GCNF
50-59 years, male
1.9
GTEX-13OVJ-2826-SM-5L3GW
50-59 years, female
1.9
GTEX-17EVP-3026-SM-7IGQL
40-49 years, male
1.9
GTEX-1A8G6-2926-SM-731CK
60-69 years, male
1.9
GTEX-1B8SF-3126-SM-73KU1
60-69 years, male
1.9
GTEX-1H3VE-2726-SM-9WPP3
40-49 years, male
1.9
GTEX-1I1GV-3126-SM-A96SF
60-69 years, male
1.9
GTEX-1N5O9-2926-SM-EXUSN
60-69 years, male
1.9
GTEX-1OJC4-2826-SM-E6CQX
50-59 years, female
1.9
GTEX-1R9PO-2926-SM-EVYBR
60-69 years, female
1.9
GTEX-RU72-3026-SM-CYPRV
50-59 years, female
1.9
GTEX-11GS4-3126-SM-5A5LH
60-69 years, male
1.8
GTEX-12WSF-3126-SM-6M478
70-79 years, male
1.8
GTEX-13JUV-2926-SM-5LZX7
40-49 years, female
1.8
GTEX-13O3Q-2926-SM-5KM45
50-59 years, male
1.8
GTEX-145MF-2726-SM-5O995
50-59 years, male
1.8
GTEX-15UF6-3026-SM-7KUKL
70-79 years, female
1.8
GTEX-18A6Q-2926-SM-718AR
60-69 years, male
1.8
GTEX-1AX9I-3026-SM-73KUH
60-69 years, male
1.8
GTEX-1E2YA-3026-SM-7IGO7
50-59 years, male
1.8
GTEX-QVJO-1426-SM-2S1QY
60-69 years, female
1.8
GTEX-T6MN-2626-SM-32PMQ
50-59 years, male
1.8
GTEX-WHSE-3026-SM-3P5ZH
20-29 years, male
1.8
GTEX-1EMGI-3026-SM-7P8P6
60-69 years, male
1.8
GTEX-1F52S-3126-SM-7PC3M
60-69 years, female
1.8
GTEX-1HGF4-3126-SM-CL54M
60-69 years, male
1.8
GTEX-1I1GR-2926-SM-CNNQG
60-69 years, male
1.8
GTEX-1JJEA-2826-SM-ARU8R
60-69 years, male
1.8
GTEX-1PPGY-3126-SM-EXUSR
60-69 years, male
1.8
GTEX-11NV4-2126-SM-5N9DS
60-69 years, male
1.7
GTEX-18465-3026-SM-7LG6Y
50-59 years, male
1.7
GTEX-YJ89-3026-SM-5IFJI
60-69 years, male
1.7
GTEX-1C6WA-3026-SM-7P8RQ
60-69 years, male
1.7
GTEX-1F6I4-3126-SM-7P8SD
60-69 years, male
1.7
GTEX-1M4P7-2726-SM-E9TJQ
60-69 years, male
1.7
GTEX-11OC5-0726-SM-5P9JK
60-69 years, male
1.6
GTEX-15EO6-3026-SM-7KUMA
50-59 years, male
1.6
GTEX-1IOXB-3126-SM-CKZO1
50-59 years, male
1.6
GTEX-1JMLX-2926-SM-CL54C
50-59 years, male
1.6
GTEX-1O9I2-3026-SM-E76PX
50-59 years, male
1.6
GTEX-17JCI-3126-SM-7LTA2
60-69 years, female
1.5
GTEX-1B8L1-3026-SM-7EPHK
60-69 years, male
1.5
GTEX-Q2AG-2926-SM-2HMJ3
40-49 years, female
1.5
GTEX-Y111-2726-SM-4TT3N
50-59 years, male
1.5
GTEX-1JJE9-2926-SM-CY8HV
70-79 years, male
1.5
GTEX-15DCD-2926-SM-7KULT
70-79 years, female
1.4
GTEX-1PIIG-2726-SM-E76PQ
30-39 years, male
1.4
GTEX-1JMQK-3026-SM-ARL95
60-69 years, male
1.2
GTEX-1C64N-3026-SM-7MGVU
50-59 years, male
1.1
Show allShow less
Brain - Frontal Cortex (BA9) Average nTPM: 2.7
Samples: 209
Max nTPM: 6.3
Min nTPM: 1.3
Std nTPM: 0.6
Median nTPM: 2.6
GTEX-QDT8-0011-R10A-SM-32PKG
30-39 years, female
6.3
GTEX-13IVO-0011-R10a-SM-5LZY3
70-79 years, male
5.2
GTEX-15DDE-0011-R10a-SM-7KUKW
50-59 years, female
4.7
GTEX-XMD1-0011-R10A-SM-4AT4A
60-69 years, male
4.4
GTEX-OXRN-0011-R10A-SM-2I5GC
50-59 years, male
4.2
GTEX-X4XX-0011-R10B-SM-46MWO
60-69 years, male
4.2
GTEX-12126-0011-R10b-SM-5BC6T
20-29 years, male
4.0
GTEX-QVJO-0011-R10A-SM-2S1QJ
60-69 years, female
3.9
GTEX-WWYW-0011-R10A-SM-3NB35
50-59 years, female
3.9
GTEX-1B996-0011-R10b-SM-CJI3T
60-69 years, male
3.9
GTEX-12WSH-0011-R10a-SM-5LZUS
50-59 years, male
3.7
GTEX-15G19-0011-R10b-SM-7KUG4
60-69 years, male
3.7
GTEX-WVLH-0011-R10A-SM-3MJFM
50-59 years, male
3.7
GTEX-1HSMO-0011-R10a-SM-CL54Y
60-69 years, male
3.7
GTEX-13FHO-0011-R10b-SM-5J2MM
60-69 years, male
3.6
GTEX-NL3H-0011-R10A-SM-2I3E9
60-69 years, male
3.6
GTEX-NPJ7-0011-R10A-SM-2I3E5
60-69 years, female
3.6
GTEX-OXRO-0011-R10A-SM-2I5EH
60-69 years, female
3.6
GTEX-QMR6-0011-R10A-SM-32PKO
50-59 years, male
3.6
GTEX-1CB4J-0011-R10a-SM-9WG63
60-69 years, male
3.6
GTEX-132Q8-0011-R10b-SM-5DUWZ
60-69 years, male
3.5
GTEX-13X6I-0011-R10a-SM-5PNWI
60-69 years, male
3.5
GTEX-145LS-0011-R10a-SM-5PNUQ
60-69 years, female
3.5
GTEX-OHPN-0011-R10A-SM-33HBU
60-69 years, female
3.5
GTEX-ZF28-0011-R10a-SM-4WWEH
60-69 years, male
3.5
GTEX-139TS-0011-R10a-SM-5K7TU
60-69 years, male
3.4
GTEX-1LC47-0011-R10b-SM-EYYWE
60-69 years, male
3.4
GTEX-13NZA-0011-R10b-SM-5KM54
60-69 years, male
3.3
GTEX-P44G-0011-R10A-SM-2I3FF
30-39 years, male
3.3
GTEX-ZVT3-0011-R10b-SM-57WB6
60-69 years, female
3.3
GTEX-15UF6-0011-R10b-SM-9OSVF
70-79 years, female
3.3
GTEX-13FTZ-0011-R10b-SM-5KLZS
60-69 years, male
3.2
GTEX-14BIN-0011-R10a-SM-5S2UA
50-59 years, female
3.2
GTEX-X4EP-0011-R10B-SM-4QASJ
60-69 years, female
3.2
GTEX-ZE7O-0011-R10a-SM-57WAZ
50-59 years, female
3.2
GTEX-ZVZQ-0011-R10b-SM-51MRT
60-69 years, female
3.2
GTEX-11WQK-0011-R10a-SM-5BC6R
50-59 years, male
3.1
GTEX-13CZV-0011-R10b-SM-5LZYD
60-69 years, male
3.1
GTEX-13S7M-0011-R10b-SM-5PNZB
60-69 years, female
3.1
GTEX-14PQA-0011-R10a-SM-6AJAA
50-59 years, female
3.1
GTEX-15DCD-0011-R10b-SM-6LPII
70-79 years, female
3.1
GTEX-17HG3-0011-R10b-SM-7LT97
30-39 years, female
3.1
GTEX-QVUS-0011-R10A-SM-3GIK3
60-69 years, female
3.1
GTEX-YFC4-0011-R10a-SM-4SOK5
40-49 years, female
3.1
GTEX-ZV68-0011-R10a-SM-51MT7
50-59 years, female
3.1
GTEX-131YS-0011-R10b-SM-5EQ5N
60-69 years, female
3.0
GTEX-13FLW-0011-R10b-SM-5LZZF
50-59 years, male
3.0
GTEX-13NYS-0011-R10a-SM-5MR4S
60-69 years, male
3.0
GTEX-13SLW-0011-R10a-SM-5S2UI
70-79 years, male
3.0
GTEX-145LU-0011-R10a-SM-5PNWJ
50-59 years, male
3.0
GTEX-14JIY-0011-R10a-SM-6AJAO
60-69 years, male
3.0
GTEX-16NPV-0011-R10a-SM-79OKA
50-59 years, female
3.0
GTEX-1E1VI-0011-R10b-SM-ARU8F
50-59 years, male
3.0
GTEX-1GF9W-0011-R10a-SM-9OSXH
60-69 years, male
3.0
GTEX-14BIL-0011-R10a-SM-5SI75
50-59 years, male
2.9
GTEX-X585-0011-R10A-SM-46MUY
50-59 years, male
2.9
GTEX-YJ89-0011-R10a-SM-4SOK9
60-69 years, male
2.9
GTEX-ZDXO-0011-R10a-SM-4WWD8
60-69 years, male
2.9
GTEX-1H23P-0011-R10a-SM-A96RS
60-69 years, male
2.9
GTEX-1HR9M-0011-R10a-SM-CM2SU
60-69 years, male
2.9
GTEX-1ICLZ-0011-R10a-SM-A9SM2
60-69 years, male
2.9
GTEX-11H98-0011-R10b-SM-5NQ98
50-59 years, male
2.8
GTEX-11WQC-0011-R10a-SM-57WCT
60-69 years, male
2.8
GTEX-12WSE-0011-R10b-SM-5P9JV
20-29 years, male
2.8
GTEX-13FLV-0011-R10b-SM-5LZZ2
50-59 years, male
2.8
GTEX-13QIC-0011-R10a-SM-5O9C7
60-69 years, female
2.8
GTEX-147F4-0011-R10b-SM-5S2WC
50-59 years, male
2.8
GTEX-14E6D-0011-R10a-SM-5YY9C
50-59 years, male
2.8
GTEX-14LZ3-0011-R10b-SM-6AJA9
60-69 years, female
2.8
GTEX-14PJO-0011-R10a-SM-686ZS
60-69 years, male
2.8
GTEX-15CHQ-0011-R10b-SM-6AJBV
60-69 years, male
2.8
GTEX-18A6Q-0011-R10b-SM-72D7A
60-69 years, male
2.8
GTEX-NPJ8-0011-R10A-SM-2YUMO
40-49 years, male
2.8
GTEX-WL46-0011-R10A-SM-3MJFQ
50-59 years, male
2.8
GTEX-ZAB4-0011-R10a-SM-4SOKH
40-49 years, male
2.8
GTEX-11PRG-0011-R10b-SM-DO93G
50-59 years, male
2.8
GTEX-1H1ZS-0011-R10b-SM-A9SK9
70-79 years, male
2.8
GTEX-11GSP-0011-R10a-SM-5NQ7J
60-69 years, female
2.7
GTEX-12WSM-0011-R10a-SM-5DUWV
60-69 years, male
2.7
GTEX-13X6K-0011-R10a-SM-5P9JR
60-69 years, female
2.7
GTEX-145MG-0011-R10a-SM-5PNWG
50-59 years, male
2.7
GTEX-14ASI-0011-R10b-SM-5S2VZ
60-69 years, male
2.7
GTEX-14C5O-0011-R10a-SM-6872F
60-69 years, male
2.7
GTEX-14E7W-0011-R10a-SM-5YYAX
70-79 years, male
2.7
GTEX-17JCI-0011-R10b-SM-718A2
60-69 years, female
2.7
GTEX-Q2AG-0011-R10A-SM-2HMLA
40-49 years, female
2.7
GTEX-X4XY-0011-R10B-SM-46MWS
60-69 years, male
2.7
GTEX-XLM4-0011-R10A-SM-4AT5P
60-69 years, male
2.7
GTEX-11ZTS-0011-R10a-SM-DO93S
60-69 years, female
2.7
GTEX-1F6IF-0011-R10a-SM-9QEIN
60-69 years, male
2.7
GTEX-1GN73-0011-R10b-SM-CKZNR
60-69 years, male
2.7
GTEX-1GZ4I-0011-R10a-SM-9OSX3
50-59 years, male
2.7
GTEX-12ZZW-0011-R10b-SM-5HL9X
50-59 years, male
2.6
GTEX-12ZZZ-0011-R10a-SM-5P9HC
60-69 years, male
2.6
GTEX-13G51-0011-R10b-SM-5LZYF
60-69 years, male
2.6
GTEX-13JUV-0011-R10b-SM-5LZXR
40-49 years, female
2.6
GTEX-13JVG-0011-R10b-SM-5KM2P
60-69 years, male
2.6
GTEX-145MH-0011-R10b-SM-5PNUK
50-59 years, male
2.6
GTEX-14753-0011-R10b-SM-5S2WE
60-69 years, male
2.6
GTEX-1477Z-0011-R10b-SM-5S2RF
60-69 years, male
2.6
GTEX-14PJM-0011-R10a-SM-686ZP
50-59 years, female
2.6
GTEX-17HII-0011-R10a-SM-79OMY
50-59 years, male
2.6
GTEX-18464-0011-R10a-SM-72D6X
50-59 years, male
2.6
GTEX-P44H-0011-R10A-SM-2XCEK
40-49 years, male
2.6
GTEX-T6MN-0011-R10A-SM-32QP7
50-59 years, male
2.6
GTEX-ZUA1-0011-R10a-SM-51MT6
40-49 years, male
2.6
GTEX-1H1CY-0011-R10a-SM-CE6SD
60-69 years, female
2.6
GTEX-1HBPM-0011-R10a-SM-CJI3Q
60-69 years, female
2.6
GTEX-12WSA-0011-R10b-SM-5P9ET
60-69 years, male
2.5
GTEX-12WSF-0011-R10a-SM-5LZVH
70-79 years, male
2.5
GTEX-131XH-0011-R10a-SM-5EGLJ
50-59 years, male
2.5
GTEX-13N1W-0011-R10b-SM-5MR4H
70-79 years, male
2.5
GTEX-13O3Q-0011-R10b-SM-5KM39
50-59 years, male
2.5
GTEX-13QJC-0011-R10a-SM-5SI63
60-69 years, female
2.5
GTEX-13X6J-0011-R10b-SM-5PNWA
50-59 years, male
2.5
GTEX-1445S-0011-R10a-SM-5PNWB
60-69 years, male
2.5
GTEX-147GR-0011-R10b-SM-5S2UM
60-69 years, male
2.5
GTEX-16XZZ-0011-R10b-SM-7LT91
60-69 years, male
2.5
GTEX-17F97-0011-R10b-SM-793BB
50-59 years, male
2.5
GTEX-T5JC-0011-R10A-SM-32PM2
20-29 years, male
2.5
GTEX-TSE9-0011-R10A-SM-3DB7O
60-69 years, female
2.5
GTEX-X261-0011-R10B-SM-4E3JT
50-59 years, male
2.5
GTEX-11EI6-0011-R10a-SM-DO93R
60-69 years, male
2.5
GTEX-1B8L1-0011-R10b-SM-7P8Q4
60-69 years, male
2.5
GTEX-1BAJH-0011-R10a-SM-7MXT9
70-79 years, male
2.5
GTEX-1CB4G-0011-R10a-SM-9QEHS
60-69 years, male
2.5
GTEX-1CB4H-0011-R10b-SM-9QEH3
60-69 years, female
2.5
GTEX-1EMGI-0011-R10a-SM-9OSWY
60-69 years, male
2.5
GTEX-1F6I4-0011-R10b-SM-9OSWT
60-69 years, male
2.5
GTEX-1H3VE-0011-R10b-SM-A9SKC
40-49 years, male
2.5
GTEX-1I1HK-0011-R10b-SM-CJI3M
60-69 years, male
2.5
GTEX-12WSC-0011-R10a-SM-5GU57
50-59 years, male
2.4
GTEX-12ZZX-0011-R10b-SM-5DUWK
40-49 years, female
2.4
GTEX-12ZZY-0011-R10b-SM-5HL7W
60-69 years, male
2.4
GTEX-1313W-0011-R10b-SM-5DUXA
50-59 years, female
2.4
GTEX-13N2G-0011-R10a-SM-5MR34
60-69 years, male
2.4
GTEX-13OW8-0011-R10a-SM-5L3H6
60-69 years, male
2.4
GTEX-16YQH-0011-R10b-SM-7LT8U
30-39 years, male
2.4
GTEX-17EVP-0011-R10a-SM-7IGLP
40-49 years, male
2.4
GTEX-WZTO-0011-R10B-SM-4E3KB
40-49 years, male
2.4
GTEX-Y8DK-0011-R10A-SM-4SOK1
60-69 years, male
2.4
GTEX-ZXG5-0011-R10a-SM-57WDD
60-69 years, male
2.4
GTEX-11DXY-0011-R10b-SM-DO12C
60-69 years, male
2.4
GTEX-11DZ1-0011-R10b-SM-DO943
50-59 years, male
2.4
GTEX-11TTK-0011-R10b-SM-DO925
60-69 years, female
2.4
GTEX-1HGF4-0011-R10b-SM-CE6S5
60-69 years, male
2.4
GTEX-1IL2V-0011-R10a-SM-CL55A
70-79 years, male
2.4
GTEX-1IOXB-0011-R10a-SM-D3L8I
50-59 years, male
2.4
GTEX-13OVJ-0011-R10b-SM-5L3HT
50-59 years, female
2.3
GTEX-13OVL-0011-R10a-SM-5L3GS
50-59 years, male
2.3
GTEX-145MI-0011-R10a-SM-5PNZD
60-69 years, female
2.3
GTEX-UTHO-0011-R10A-SM-3GIJQ
60-69 years, male
2.3
GTEX-Z93S-0011-R10a-SM-4RGNM
50-59 years, male
2.3
GTEX-1B933-0011-R10b-SM-9OSVN
50-59 years, female
2.3
GTEX-1C6VR-0011-R10b-SM-7P8QA
60-69 years, male
2.3
GTEX-1HCVE-0011-R10a-SM-ARZLT
50-59 years, male
2.3
GTEX-1J1OQ-0011-R10a-SM-A9G1Y
40-49 years, female
2.3
GTEX-PVOW-0011-R10A-SM-EXOHB
40-49 years, male
2.3
GTEX-WHSE-0011-R10A-SM-EYYVG
20-29 years, male
2.3
GTEX-131XW-0011-R10a-SM-5DUVA
50-59 years, female
2.2
GTEX-13OW7-0011-R10a-SM-5L3H3
50-59 years, male
2.2
GTEX-16Z82-0011-R10a-SM-79OJX
60-69 years, male
2.2
GTEX-1192X-0011-R10a-SM-DO941
50-59 years, male
2.2
GTEX-1A8G6-0011-R10b-SM-7P8PB
60-69 years, male
2.2
GTEX-1F48J-0011-R10a-SM-9QEIB
50-59 years, female
2.2
GTEX-1F75W-0011-R10b-SM-ARU7Z
60-69 years, male
2.2
GTEX-1GZ2Q-0011-R10b-SM-CE6RN
40-49 years, male
2.2
GTEX-1H3O1-0011-R10a-SM-CJI3O
60-69 years, male
2.2
GTEX-13O3O-0011-R10a-SM-5LUA9
60-69 years, female
2.1
GTEX-13OW6-0011-R10a-SM-5L3HE
50-59 years, male
2.1
GTEX-13RTJ-0011-R10b-SM-5O9CW
60-69 years, male
2.1
GTEX-11EMC-0011-R10a-SM-DNZZJ
60-69 years, female
2.1
GTEX-1A3MX-0011-R10b-SM-7P8PG
60-69 years, male
2.1
GTEX-1F7RK-0011-R10b-SM-ARU7Y
20-29 years, female
2.1
GTEX-1GN2E-0011-R10a-SM-CE6RI
60-69 years, male
2.1
GTEX-1IDJH-0011-R10a-SM-ARZLK
70-79 years, male
2.1
GTEX-N7MS-0011-R10A-SM-2HMJK
60-69 years, male
2.0
GTEX-N7MT-0011-R10A-SM-2I3E1
60-69 years, female
2.0
GTEX-S7SE-0011-R10A-SM-2XCDF
50-59 years, male
2.0
GTEX-1B8SF-0011-R10b-SM-7P8SW
60-69 years, male
2.0
GTEX-1C6VQ-0011-R10b-SM-7P8Q1
50-59 years, male
2.0
GTEX-1GN1V-0011-R10a-SM-CKZNU
60-69 years, male
2.0
GTEX-1HFI6-0011-R10b-SM-ARZLO
40-49 years, male
2.0
GTEX-1HSKV-0011-R10b-SM-CMKH6
60-69 years, male
2.0
GTEX-1J8Q2-0011-R10b-SM-D4P2C
60-69 years, male
2.0
GTEX-13FXS-0011-R10a-SM-5J2MA
50-59 years, male
1.9
GTEX-13SLX-0011-R10a-SM-5P9HV
50-59 years, female
1.9
GTEX-11TUW-0011-R10a-SM-DO924
60-69 years, male
1.9
GTEX-1EH9U-0011-R10a-SM-CJI2A
60-69 years, male
1.9
GTEX-1H1DG-0011-R10b-SM-CE6S7
70-79 years, male
1.9
GTEX-1HBPH-0011-R10a-SM-CE6SI
40-49 years, female
1.9
GTEX-1HBPI-0011-R10a-SM-A96RZ
50-59 years, male
1.9
GTEX-1I1GV-0011-R10a-SM-CE6S6
60-69 years, male
1.9
GTEX-NL4W-0011-R10A-SM-2I3DY
50-59 years, male
1.8
GTEX-11DYG-0011-R10b-SM-DNZZO
60-69 years, male
1.8
GTEX-1GTWX-0011-R10b-SM-CJI2X
60-69 years, male
1.8
GTEX-1H4P4-0011-R10b-SM-CE6SG
50-59 years, male
1.8
GTEX-1HCU6-0011-R10a-SM-CKZP8
60-69 years, female
1.8
GTEX-14PN4-0011-R10b-SM-69LP2
50-59 years, male
1.7
GTEX-1GMR8-0011-R10a-SM-CJI21
50-59 years, female
1.7
GTEX-1GMRU-0011-R10b-SM-CJI2L
50-59 years, male
1.7
GTEX-1GN1U-0011-R10b-SM-CKZNH
50-59 years, female
1.7
GTEX-1IKK5-0011-R10b-SM-CE6SP
60-69 years, male
1.7
GTEX-1HB9E-0011-R10a-SM-CJI3H
50-59 years, male
1.6
GTEX-13NYB-0011-R10a-SM-5KM43
40-49 years, male
1.5
GTEX-16GPK-0011-R10b-SM-7MKFG
60-69 years, male
1.5
GTEX-1I1CD-0011-R10b-SM-CJI3W
60-69 years, female
1.5
GTEX-1EX96-0011-R10b-SM-CE6QR
50-59 years, male
1.4
GTEX-1GF9V-0011-R10b-SM-CKZNP
60-69 years, male
1.3
Show allShow less
CEREBRAL CORTEX - FANTOM5 CAGEi
RNA expression in human tissues obtained through Cap Analysis of Gene Expression (CAGE) generated by the FANTOM5 project are reported as Scaled Tags Per Million.
Normal distribution across the dataset is visualized with box plots, shown as median and 25th and 75th percentiles. Points are displayed as outliers if they are above or below 1.5 times the interquartile range. nTPM values of the individual samples are presented next to the box plot.
Normal distribution across the dataset is visualized with box plots, shown as median and 25th and 75th percentiles. Points are displayed as outliers if they are above or below 1.5 times the interquartile range. nTPM values of the individual samples are presented next to the box plot.
In situ hybridization (ISH) data generated by the Allen brain atlas from mouse brain is reported as expression energy. For more details about a particular experiment, click on the corresponding Allen experiment ID.