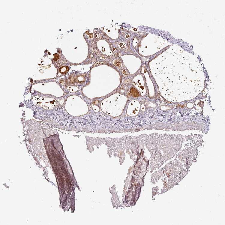
CNOT1