SUMMARY
TISSUE
BRAIN
SINGLE CELL
TISSUE CELL
PATHOLOGY
IMMUNE
BLOOD
SUBCELL
CELL LINE
METABOLIC
|
TISSUE
PRIMARY DATA
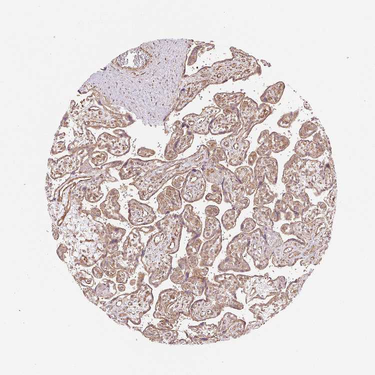
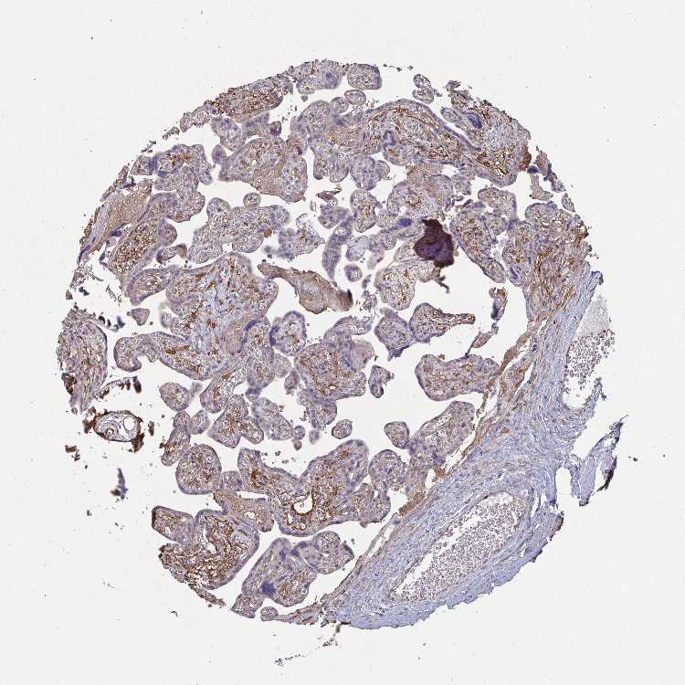
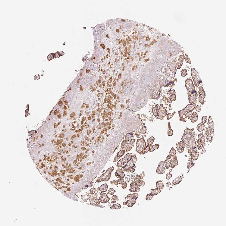
PLACENTA
ADIPOSE TISSUE
ADRENAL GLAND
AMYGDALA
APPENDIX
BASAL GANGLIA
BONE MARROW
BREAST
BRONCHUS
CEREBELLUM
CEREBRAL CORTEX
CERVIX
CHOROID PLEXUS
COLON
DUODENUM
ENDOMETRIUM
EPIDIDYMIS
ESOPHAGUS
FALLOPIAN TUBE
GALLBLADDER
HEART MUSCLE
HIPPOCAMPAL FORMATION
HYPOTHALAMUS
KIDNEY
LIVER
LUNG
LYMPH NODE
MEDULLA OBLONGATA
MIDBRAIN
NASOPHARYNX
ORAL MUCOSA
ANTIBODIES
AND VALIDATION
Dictionary
Placenta
Tissue proteome
Placenta
|
|
|||||||||||||||||||||||||||||||||||||||||||||||||||||||||||||||||||||||||||||||||||||||||||||||||||||||||||||||||||||||||||||||||
The Project
The Human Protein Atlas

MENU