|
TISSUE
PRIMARY DATA
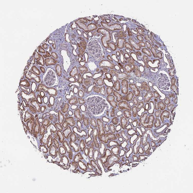
KIDNEY
ADIPOSE TISSUE
ADRENAL GLAND
AMYGDALA
APPENDIX
BASAL GANGLIA
BONE MARROW
BREAST
CEREBELLUM
CEREBRAL CORTEX
CERVIX
CHOROID PLEXUS
COLON
DUODENUM
ENDOMETRIUM
EPIDIDYMIS
ESOPHAGUS
FALLOPIAN TUBE
GALLBLADDER
HEART MUSCLE
HIPPOCAMPAL FORMATION
HYPOTHALAMUS
KIDNEY
LIVER
LUNG
LYMPH NODE
MEDULLA OBLONGATA
MIDBRAIN
OVARY
ANTIBODIES
AND VALIDATION
Dictionary
Kidney
Tissue proteome
Kidney
|
|
|||||||||||||||||||||||||||||||||||||||||||||||||||||||||||||||||||||||||||||||||||||||||||||||||||||||||||||||||||||||||||||||||||||||||||||||||||||||||||||||||||||||||||||||||||||||||||||||||||||||||||||||||||||||||||||||||||||||||||||||||||||||||||||||||||||||||||||||||||||||||||||||||||||||||||||||||||||||||||||||||||||||||||||||||||||||||||||||||||||||||||||||||||||||||||||||||||||||||||||||||||||||||
The Project
The Human Protein Atlas

MENU