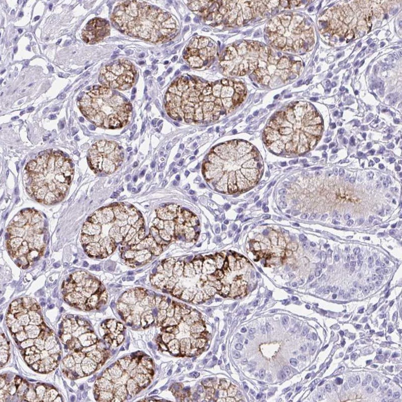
OR5F1