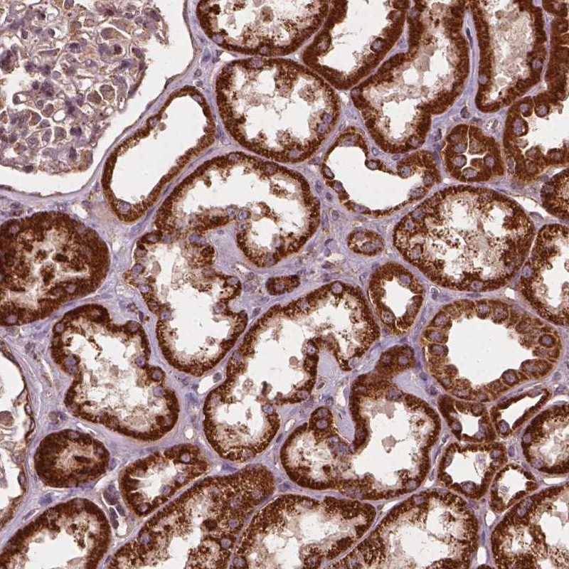
UBXN2A