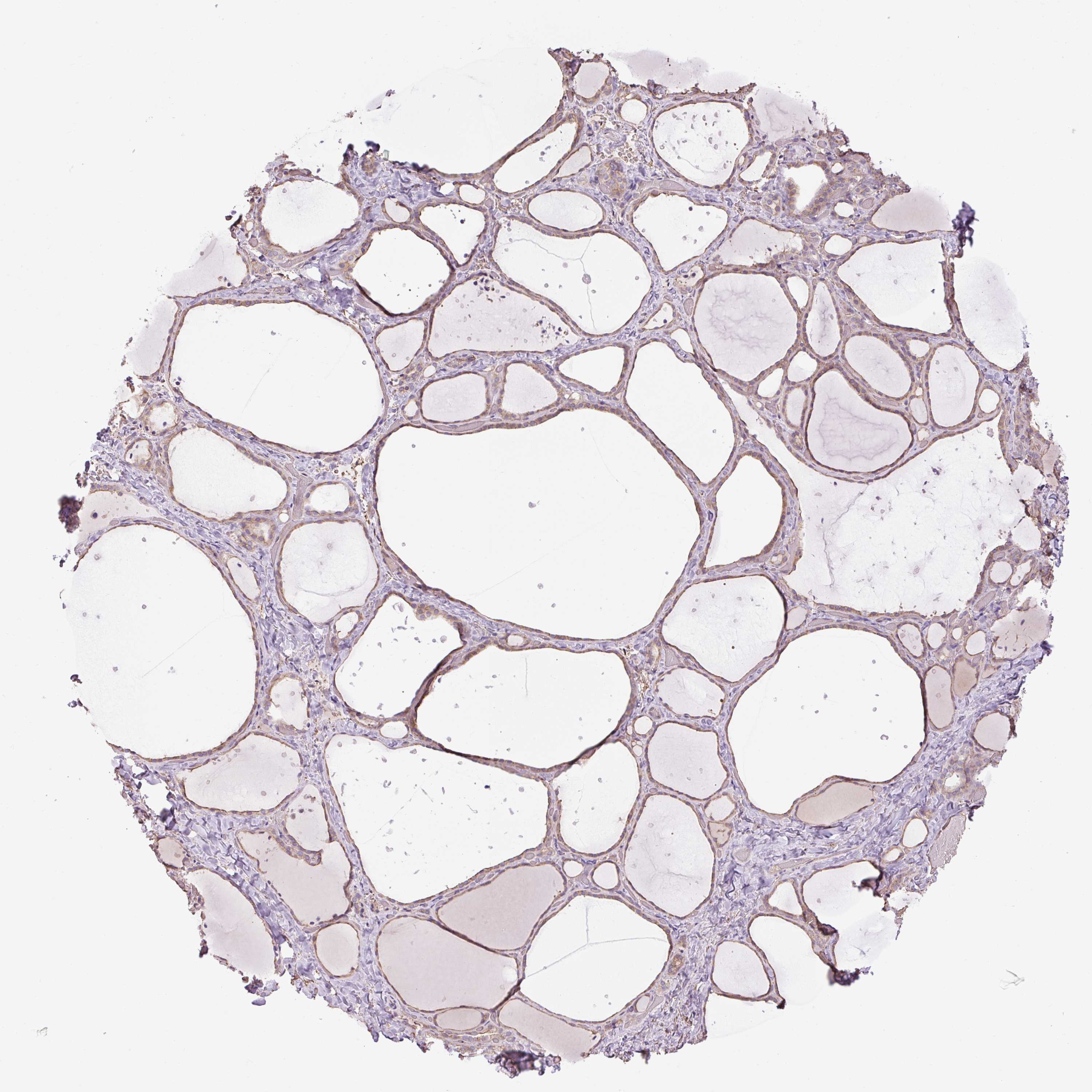
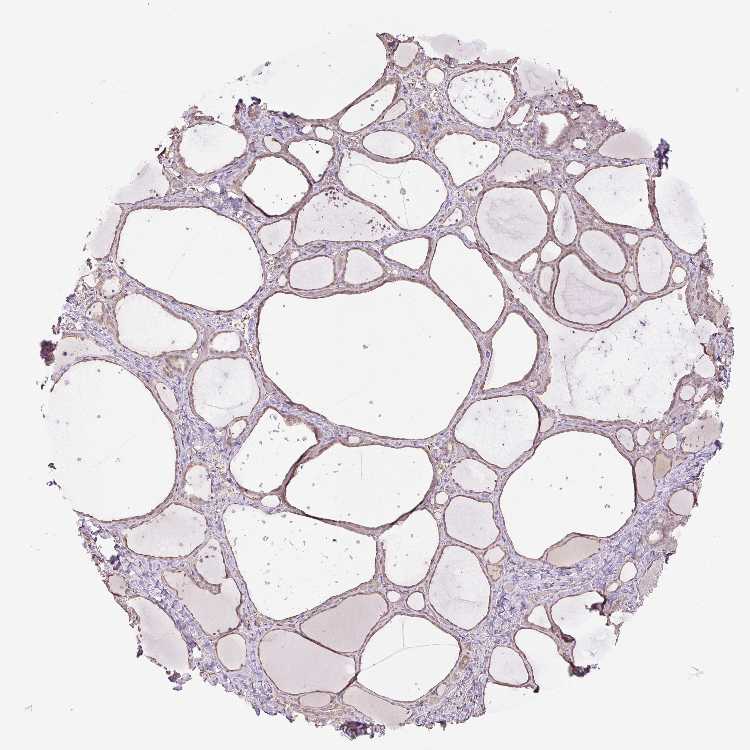
OR13D1