SUMMARY
TISSUE
BRAIN
SINGLE CELL
TISSUE CELL
PATHOLOGY
IMMUNE
BLOOD
SUBCELL
CELL LINE
METABOLIC
|
TISSUE
PRIMARY DATA
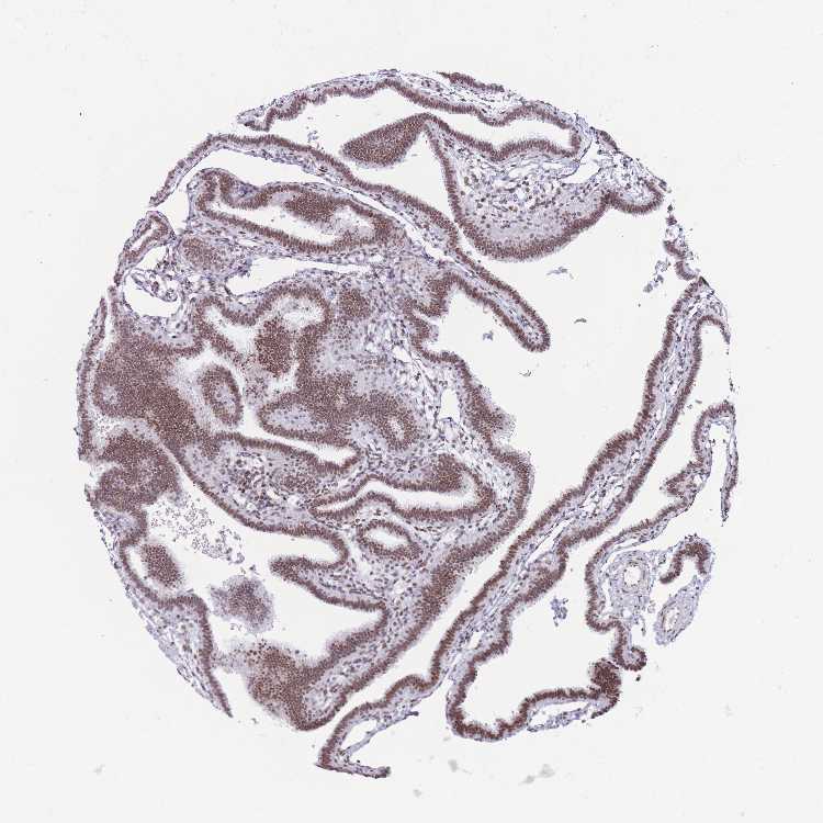
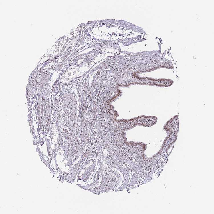
FALLOPIAN TUBE
ADIPOSE TISSUE
ADRENAL GLAND
AMYGDALA
APPENDIX
BASAL GANGLIA
BONE MARROW
BREAST
CEREBELLUM
CEREBRAL CORTEX
CERVIX
CHOROID PLEXUS
COLON
DUODENUM
ENDOMETRIUM
EPIDIDYMIS
ESOPHAGUS
FALLOPIAN TUBE
GALLBLADDER
HEART MUSCLE
HIPPOCAMPAL FORMATION
HYPOTHALAMUS
KIDNEY
LIVER
LUNG
LYMPH NODE
MEDULLA OBLONGATA
MIDBRAIN
OVARY
ANTIBODIES
AND VALIDATION
Dictionary
Fallopian tube
Tissue proteome
Fallopian tube
|
|
||||||||||||||||||||||||||||||||||||||||||||||||||||||||||||||||||||||||||||||||||||||||||||||||||||||||||||||||||||||||||
The Project
The Human Protein Atlas

MENU